Skip to main content

Apc10 Antibody - BSA Free

Novus Biologicals, part of Bio-Techne | Catalog # NB600-887

Novus Biologicals, part of Bio-Techne
Catalog #
Availability
Size / Price
Qty
Loading...
NB600-887

Key Product Details

Species Reactivity

Validated:

Human, Mouse

Cited:

Mouse

Applications

Validated:

Immunohistochemistry, Immunohistochemistry-Paraffin, Western Blot, ELISA, Immunoprecipitation

Cited:

Western Blot

Label

Unconjugated

Antibody Source

Polyclonal Rabbit IgG

Format

BSA Free

Concentration

Please see the vial label for concentration. If unlisted please contact technical services.

Product Specifications

Immunogen

This affinity purified Apc10 Antibody was prepared from whole rabbit serum produced by repeated immunizations with a synthetic peptide corresponding to amino acids near the amino terminus of human Apc10. (Uniprot: Q9UM13)

Localization

Centrosomes, mitotic spindles throughout mitosis, kinetochores from prophase to anaphase, midbody in telophase, cytokinesis

Clonality

Polyclonal

Host

Rabbit

Isotype

IgG

Description

This is an affinity purified antibody produced by immunoaffinity chromatography using the immunizing peptide after immobilization to a solid phase.

Store vial at -20C prior to opening. Aliquot contents and freeze at -20C or below for extended storage. Avoid cycles of freezing and thawing. Centrifuge product if not completely clear after standing at room temperature. This product is stable for several weeks at 4C as an undiluted liquid. Dilute only prior to immediate use.

Scientific Data Images for Apc10 Antibody - BSA Free

Western Blot: Apc10 Antibody [NB600-887]

Western Blot: Apc10 Antibody [NB600-887]

Western Blot: Apc10 Antibody [NB600-887] - Used at a 1:500 dilution to detect human APC10 in various cell extracts. This antibody clearly detects a 26 kDa band corresponding to human APC10 (predicted molecular weight is 21 kDa). All lanes contain 20 ug of lysate or extract as follows: lane 1, HeLa nuclear extract; lane 2, HeLa whole cell lysate; lane 3, A431 whole cell lysate; lane 4, Jurkat whole cell lysate; lane 5, 293 whole cell lysate. Primary antibody was reacted with the membrane at room temperature for 1 h. After subsequent washing, a 1:5,000 dilution of HRP conjugated Gt-a-Rabbit IgG was used for visualization. Exposure time was 4 min.
Western Blot: Apc10 Antibody [NB600-887]

Western Blot: Apc10 Antibody [NB600-887]

Western Blot: Apc10 Antibody [NB600-887] - Antibody was used at a 1:500 dilution to detect human APC10 by western blot. Both HeLa whole cell lysate (lane 1) and nuclear lysate (lane 2) were probed using this antibody. Approximately 20 ug of each lysate was loaded onto a 10% SDS-PAGE gel. Primary antibody was reacted with the membrane at room temperature for 1 h. After subsequent washing, a 1:2,000 dilution of HRP conjugated Gt-a- Rabbit IgG was used for visualization. Exposure time was 5 min. The expected molecular weight of human APC10 is 21 kDa.
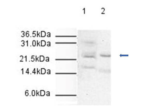
Apc10 Antibody

Apc10 Antibody

Western Blot of Affinity Purified Rabbit Anti-APC10. Lane 1: HeLa whole cell lysate

Applications for Apc10 Antibody - BSA Free

Application
Recommended Usage

ELISA

1:15000-1:80000

Immunohistochemistry

1:250-1:1000

Immunohistochemistry-Paraffin

1:10-1:500

Immunoprecipitation

1:100

Western Blot

1:500-1:1500
Application Notes
This affinity purified antibody has been tested for use in ELISA against the immunizing peptide and by western blotting against various cell lysates. Reactivity in other immunoassays is unknown.

Formulation, Preparation, and Storage

Purification

Immunogen affinity purified

Formulation

0.02 M Potassium Phosphate, 0.15 M Sodium Chloride, pH 7.2

Format

BSA Free

Preservative

0.01% Sodium Azide

Concentration

Please see the vial label for concentration. If unlisted please contact technical services.

Shipping

The product is shipped with polar packs. Upon receipt, store it immediately at the temperature recommended below.

Stability & Storage

Store at -20C short term. Aliquot and store at -80C long term. Avoid freeze-thaw cycles.

Background: Apc10

APC is a ubiquitin ligase which specifically targets mitotic regulatory factors such as Pds 1/Cut 2 and cyclin B. It was found that APC 10/Doc 1 is localized in centrosomes and mitotic spindles throughout mitosis, while it is also localized in kinetochores from prophase to anaphase and in mid body in telophase and cytokinesis. These results strongly support the notion that human APC 10/Doc 1 may be one of the APC core subunits rather than the transiently associated regulatory factor.

Alternate Names

anaphase promoting complex subunit 10, anaphase-promoting complex subunit 10, APC10DOC1, Cyclosome subunit 10, DKFZP564L0562

Entrez Gene IDs

10393 (Human); 68999 (Mouse)

Gene Symbol

ANAPC10

UniProt

Additional Apc10 Products

Product Documents for Apc10 Antibody - BSA Free

Certificate of Analysis

To download a Certificate of Analysis, please enter a lot number in the search box below.

Product Specific Notices for Apc10 Antibody - BSA Free

This product is for research use only and is not approved for use in humans or in clinical diagnosis. Primary Antibodies are guaranteed for 1 year from date of receipt.

Loading...
Loading...
Loading...
Loading...