Skip to main content

ANKLE2 Antibody - Azide and BSA Free

Novus Biologicals, part of Bio-Techne | Catalog # NBP2-92367

Novus Biologicals, part of Bio-Techne
Catalog #
Availability
Size / Price
Qty
Loading...
NBP2-92367-0.1ml
NBP2-92367-0.02ml

Key Product Details

Species Reactivity

Human, Mouse, Rat

Applications

Immunohistochemistry, Immunohistochemistry-Paraffin, Western Blot, ELISA

Label

Unconjugated

Antibody Source

Polyclonal Rabbit IgG

Format

Azide and BSA Free

Concentration

Please see the vial label for concentration. If unlisted please contact technical services.

Product Specifications

Immunogen

Recombinant fusion protein containing a sequence corresponding to amino acids 350-450 of human ANKLE2 (NP_055929.1). CRYNVMHVAAKENQASICQLTLDVLENPDFMRLMYPDDDEAMLQKRIRYVVDLYLNTPDKMGYDTPLHFACKFGNADVVNVLSSHHLIVKNSRNKYDKTPE

Clonality

Polyclonal

Host

Rabbit

Isotype

IgG

Theoretical MW

104 kDa.
Disclaimer note: The observed molecular weight of the protein may vary from the listed predicted molecular weight due to post translational modifications, post translation cleavages, relative charges, and other experimental factors.

Description

Novus Biologicals Rabbit ANKLE2 Antibody - Azide and BSA Free (NBP2-92367) is a polyclonal antibody validated for use in IHC and WB. All Novus Biologicals antibodies are covered by our 100% guarantee.

Scientific Data Images for ANKLE2 Antibody - Azide and BSA Free

Western Blot: ANKLE2 AntibodyAzide and BSA Free [NBP2-92367]

Western Blot: ANKLE2 AntibodyAzide and BSA Free [NBP2-92367]

Western Blot: ANKLE2 Antibody [NBP2-92367] - Analysis of extracts of various cell lines, using ANKLE2 at 1:1000 dilution.Secondary antibody: HRP Goat Anti-Rabbit IgG (H+L) at 1:10000 dilution.Lysates/proteins: 25ug per lane.Blocking buffer: 3% nonfat dry milk in TBST.Detection: ECL Basic Kit .Exposure time: 10s.
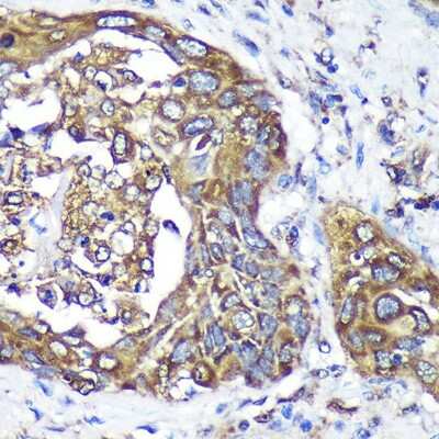
Immunohistochemistry-Paraffin: ANKLE2 Antibody - Azide and BSA Free [NBP2-92367]

Immunohistochemistry-Paraffin: ANKLE2 Antibody - Azide and BSA Free [NBP2-92367]

Immunohistochemistry-Paraffin: ANKLE2 Antibody [NBP2-92367] - Immunohistochemistry of paraffin-embedded Human lung cancer using ANKLE2 Rabbit pAb (NBP2-92367) at dilution of 1:100 (40x lens). Perform microwave antigen retrieval with 10 mM PBS buffer pH 7.2 before commencing with IHC staining protocol.
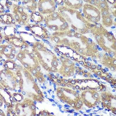
Immunohistochemistry-Paraffin: ANKLE2 Antibody - Azide and BSA Free [NBP2-92367]

Immunohistochemistry-Paraffin: ANKLE2 Antibody - Azide and BSA Free [NBP2-92367]

Immunohistochemistry-Paraffin: ANKLE2 Antibody [NBP2-92367] - Immunohistochemistry of paraffin-embedded Mouse kidney using ANKLE2 Rabbit pAb (NBP2-92367) at dilution of 1:100 (40x lens). Perform microwave antigen retrieval with 10 mM PBS buffer pH 7.2 before commencing with IHC staining protocol.

Applications for ANKLE2 Antibody - Azide and BSA Free

Application
Recommended Usage

ELISA

Recommended starting concentration is 1 μg/mL.

Immunohistochemistry

1:50-1:200

Western Blot

1:500-1:2000

Formulation, Preparation, and Storage

Purification

Affinity purified

Formulation

PBS (pH 7.3), 50% glycerol

Format

Azide and BSA Free

Preservative

0.01% Thimerosal

Concentration

Please see the vial label for concentration. If unlisted please contact technical services.

Shipping

The product is shipped with polar packs. Upon receipt, store it immediately at the temperature recommended below.

Stability & Storage

Store at -20C. Avoid freeze-thaw cycles.

Background: ANKLE2

Alternate Names

ankyrin repeat and LEM domain containing 2, ankyrin repeat and LEM domain-containing protein 2, FLJ22280, FLJ36132, KIAA0692, LEM domain containing 7, LEMD7

Gene Symbol

ANKLE2

Additional ANKLE2 Products

Product Documents for ANKLE2 Antibody - Azide and BSA Free

Certificate of Analysis

To download a Certificate of Analysis, please enter a lot number in the search box below.

Product Specific Notices for ANKLE2 Antibody - Azide and BSA Free

This product is for research use only and is not approved for use in humans or in clinical diagnosis. Primary Antibodies are guaranteed for 1 year from date of receipt.

Loading...
Loading...
Loading...
Loading...

⚠ WARNING: This product can expose you to chemicals including Methotrexate, which is known to the State of California to cause reproductive toxicity with developmental effects. For more information, go to www.P65Warnings.ca.gov