Skip to main content

Androgen R/NR3C4 Antibody (PO00-29)

Novus Biologicals, part of Bio-Techne | Catalog # NBP3-32035

Recombinant Monoclonal Antibody
Novus Biologicals, part of Bio-Techne
Catalog #
Availability
Size / Price
Qty
Loading...
NBP3-32035

Key Product Details

Species Reactivity

Human, Rat

Applications

Immunohistochemistry, Immunohistochemistry-Paraffin, Western Blot, Immunocytochemistry/ Immunofluorescence

Label

Unconjugated

Antibody Source

Recombinant Monoclonal Rabbit IgG Clone # PO00-29 expressed in HEK293

Concentration

1 mg/ml

Product Specifications

Immunogen

Synthetic peptide within Human Androgen R/NR3C4 aa 300-400 (N terminal). (Uniprot: P10275)

Localization

Cytoplasm, Nucleus.

Clonality

Monoclonal

Host

Rabbit

Isotype

IgG

Theoretical MW

99 kDa.
Disclaimer note: The observed molecular weight of the protein may vary from the listed predicted molecular weight due to post translational modifications, post translation cleavages, relative charges, and other experimental factors.

Description

Novus Biologicals Rabbit Androgen R/NR3C4 Antibody (PO00-29) (NBP3-32035) is a recombinant monoclonal antibody validated for use in IHC, WB and ICC/IF. All Novus Biologicals antibodies are covered by our 100% guarantee.

Scientific Data Images for Androgen R/NR3C4 Antibody (PO00-29)

Androgen R/NR3C4 Antibody (PO00-29)

Western Blot: Androgen R/NR3C4 Antibody (PO00-29) [NBP3-32035]

Western Blot: Androgen R/NR3C4 Antibody (PO00-29) [NBP3-32035] - Western blot analysis of Androgen R/NR3C4 on different lysates with Rabbit anti-Androgen R/NR3C4 antibody (NBP3-32035) at 1/1,000 dilution.

Lane 1: A549 cell lysate
Lane 2: K-562 cell lysate
Lane 3: 22RV1 cell lysate

Lysates/proteins at 10 ug/Lane.

Predicted band size: 99 kDa
Observed band size: 99/75 kDa

Exposure time: 10 seconds; ECL;

4-20% SDS-PAGE gel.

Proteins were transferred to a PVDF membrane and blocked with 5% NFDM/TBST for 1 hour at room temperature. The primary antibody (NBP3-32035) at 1/1,000 dilution was used in 5% NFDM/TBST at 4C overnight. Goat Anti-Rabbit IgG - HRP Secondary Antibody at 1/50,000 dilution was used for 1 hour at room temperature.
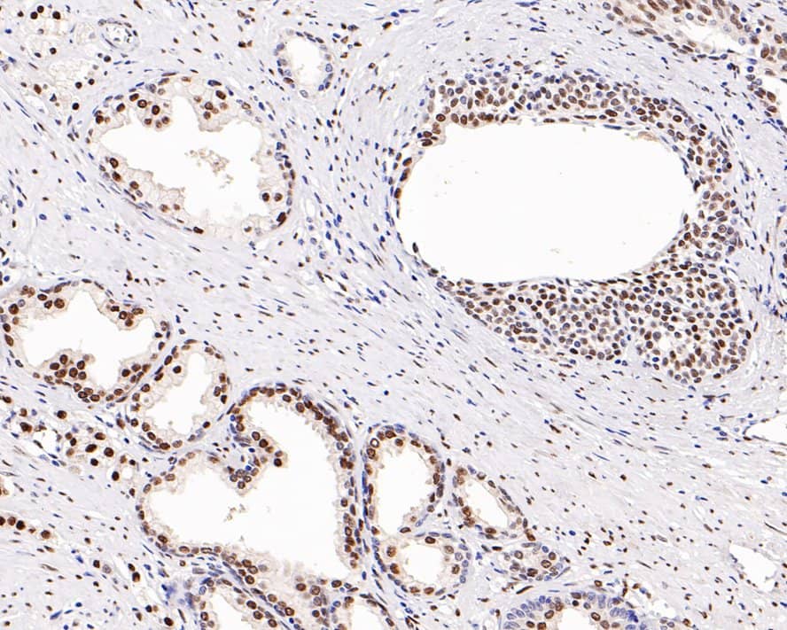
Androgen R/NR3C4 Antibody (PO00-29)

Immunohistochemistry: Androgen R/NR3C4 Antibody (PO00-29) [NBP3-32035]

Immunohistochemistry: Androgen R/NR3C4 Antibody (PO00-29) [NBP3-32035] - Immunohistochemical analysis of paraffin-embedded human prostate carcinoma tissue with Rabbit anti-Androgen R/NR3C4 antibody (NBP3-32035) at 1/1,000 dilution.

The section was pre-treated using heat mediated antigen retrieval with sodium citrate buffer (pH 6.0) for 2 minutes. The tissues were blocked in 1% BSA for 20 minutes at room temperature, washed with ddH2O and PBS, and then probed with the primary antibody (NBP3-32035) at 1/1,000 dilution for 1 hour at room temperature. The detection was performed using an HRP conjugated compact polymer system. DAB was used as the chromogen. Tissues were counterstained with hematoxylin and mounted with DPX.
Androgen R/NR3C4 Antibody (PO00-29)

Immunohistochemistry: Androgen R/NR3C4 Antibody (PO00-29) [NBP3-32035]

Immunohistochemistry: Androgen R/NR3C4 Antibody (PO00-29) [NBP3-32035] - Immunofluorescence analysis of paraffin-embedded rat epididymis tissue labeling Androgen R/NR3C4 with Rabbit anti-Androgen R/NR3C4 antibody (NBP3-32035) at 1/50 dilution.

The section was pre-treated using heat mediated antigen retrieval with sodium citrate buffer (pH 6.0) for 2 minutes. The tissues were blocked in 10% negative goat serum for 1 hour at room temperature, washed with PBS, and then probed with the primary antibody (NBP3-32035, green) at 1/50 dilution overnight at 4 ℃, washed with PBS. Goat Anti-Rabbit IgG H&L (iFluor™ 488) was used as the secondary antibody at 1/1,000 dilution. Nuclei were counterstained with DAPI (blue).

Applications for Androgen R/NR3C4 Antibody (PO00-29)

Application
Recommended Usage

Immunocytochemistry/ Immunofluorescence

1:100

Immunohistochemistry-Paraffin

1:200-1:1000-1:200

Western Blot

1:1000

Formulation, Preparation, and Storage

Purification

Protein A purified

Formulation

PBS (pH7.4), 0.1% BSA and 40% Glycerol

Preservative

0.05% Sodium Azide

Concentration

1 mg/ml

Shipping

The product is shipped with polar packs. Upon receipt, store it immediately at the temperature recommended below.

Stability & Storage

Store at 4C short term. Aliquot and store at -20C long term. Avoid freeze-thaw cycles.

Background: Androgen R/NR3C4

Androgens have a broad range of effects on the appearance and maintenance of male secondary sexual characteristics. Like other members of the steroid superfamily, the androgen receptor (AR) consists of an amino terminal modulating domain, a central DNA binding domain, a hinge region and a carboxy terminal ligand binding domain. The androgen receptor (AR) is a 110 kDa androgen-dependent transcription factor that is a member of the steroid/nuclear receptor gene superfamily. The AR signaling pathway plays a key role in development and function of male reproductive organs, including the prostate and epididymis. AR also plays a role in nonreproductive organs, such as muscle, hair follicles, and brain. Abnormalities in the AR signaling pathway have been linked to a number of diseases, including prostate cancer, Kennedy's disease and male infertility. The PI3K/Akt signaling pathway plays an important role in regulating AR activity through phosphorylation of AR at Ser213/210 and Ser791/790. Growth factors or cytokines may induce phosphorylation of AR through the PI3K/Akt pathway. Activation of the PI3K/AKt pathway is thought to have a survival role in prostate cancer by protecting cells from apoptosis.

Long Name

Androgen Receptor

Alternate Names

AIS, AndrogenR, AR, DHTR, NR3C4, SBMA, SMAX1

Gene Symbol

AR

Additional Androgen R/NR3C4 Products

Product Documents for Androgen R/NR3C4 Antibody (PO00-29)

Certificate of Analysis

To download a Certificate of Analysis, please enter a lot number in the search box below.

Product Specific Notices for Androgen R/NR3C4 Antibody (PO00-29)

This product is for research use only and is not approved for use in humans or in clinical diagnosis. Primary Antibodies are guaranteed for 1 year from date of receipt.

Loading...
Loading...
Loading...
Loading...