Skip to main content

Androgen R/NR3C4 Antibody (CL9255) - Azide and BSA Free

Novus Biologicals, part of Bio-Techne | Catalog # NBP3-44204

Novus Biologicals, part of Bio-Techne

Key Product Details

Validated by

Orthogonal Validation

Species Reactivity

Human

Applications

Immunohistochemistry-Paraffin, Western Blot

Label

Unconjugated

Antibody Source

Monoclonal Mouse IgG1 Clone # CL9255

Format

Azide and BSA Free

Concentration

LYOPH mg/ml

Product Specifications

Immunogen

This antibody was generated using a synthetic peptide of P10275, with the exact immunogen sequence remaining proprietary.

Clonality

Monoclonal

Host

Mouse

Isotype

IgG1

Description

Novus Biologicals Mouse Androgen R/NR3C4 Antibody (CL9255) - Azide and BSA Free (NBP2-88922) is a monoclonal antibody validated for use in IHC and WB. All Novus Biologicals antibodies are covered by our 100% guarantee.

Scientific Data Images for Androgen R/NR3C4 Antibody (CL9255) - Azide and BSA Free

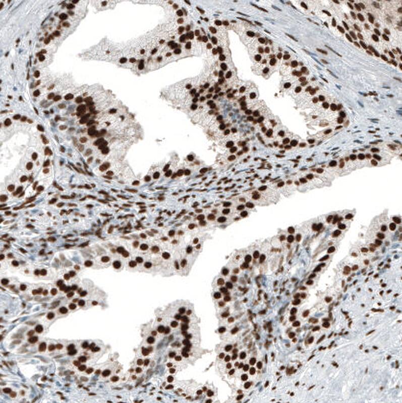
Androgen R/NR3C4 Antibody (CL9255) - Azide and BSA Free Immunohistochemistry-Paraffin: Androgen R/NR3C4 Antibody [NBP3-44204]

Immunohistochemistry-Paraffin: Androgen R/NR3C4 Antibody [NBP3-44204]

Staining of human breast cancer shows strong nuclear positivity in tumor cells.
Androgen R/NR3C4 Antibody (CL9255) - Azide and BSA Free Immunohistochemistry-Paraffin: Androgen R/NR3C4 Antibody [NBP3-44204]

Immunohistochemistry-Paraffin: Androgen R/NR3C4 Antibody [NBP3-44204]

Analysis in human fallopian tube and cerebral cortex tissues using NBP3-44204 antibody. Corresponding Androgen R/NR3C4 RNA-seq data are presented for the same tissues.
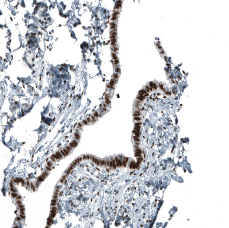
Androgen R/NR3C4 Antibody (CL9255) - Azide and BSA Free Immunohistochemistry-Paraffin: Androgen R/NR3C4 Antibody [NBP3-44204]

Immunohistochemistry-Paraffin: Androgen R/NR3C4 Antibody [NBP3-44204]

Staining of human Fallopian tube shows strong nuclear positivity in glandular cells.

Applications for Androgen R/NR3C4 Antibody (CL9255) - Azide and BSA Free

Application
Recommended Usage

Immunohistochemistry-Paraffin

1:1000 - 1:2500

Western Blot

1 ug/ml
Application Notes
For IHC-Paraffin, HIER pH 6 retrieval is recommended.

Formulation, Preparation, and Storage

Purification

Protein A purified

Reconstitution

Centrifuge the vial of lyophilized antibody at 12,000 x g for 20 seconds. Reconstitute by adding sterile, distilled water to achieve a final antibody concentration of 1mg/ml.

Formulation

Lyophilized from a 0.2 um filtered solution in PBS with Trehalose

Format

Azide and BSA Free

Preservative

No Preservative

Concentration

LYOPH mg/ml

Shipping

The product is shipped at ambient temperature. Upon receipt, store it immediately at the temperature recommended below.

Stability & Storage

Store at 4C short term. Aliquot and store at -20C long term. Avoid freeze-thaw cycles.

Background: Androgen R/NR3C4

Androgens have a broad range of effects on the appearance and maintenance of male secondary sexual characteristics. Like other members of the steroid superfamily, the androgen receptor (AR) consists of an amino terminal modulating domain, a central DNA binding domain, a hinge region and a carboxy terminal ligand binding domain. The androgen receptor (AR) is a 110 kDa androgen-dependent transcription factor that is a member of the steroid/nuclear receptor gene superfamily. The AR signaling pathway plays a key role in development and function of male reproductive organs, including the prostate and epididymis. AR also plays a role in nonreproductive organs, such as muscle, hair follicles, and brain. Abnormalities in the AR signaling pathway have been linked to a number of diseases, including prostate cancer, Kennedy's disease and male infertility. The PI3K/Akt signaling pathway plays an important role in regulating AR activity through phosphorylation of AR at Ser213/210 and Ser791/790. Growth factors or cytokines may induce phosphorylation of AR through the PI3K/Akt pathway. Activation of the PI3K/AKt pathway is thought to have a survival role in prostate cancer by protecting cells from apoptosis.

Long Name

Androgen Receptor

Alternate Names

AIS, AndrogenR, AR, DHTR, NR3C4, SBMA, SMAX1

Gene Symbol

AR

Additional Androgen R/NR3C4 Products

Product Documents for Androgen R/NR3C4 Antibody (CL9255) - Azide and BSA Free

Certificate of Analysis

To download a Certificate of Analysis, please enter a lot number in the search box below.

Product Specific Notices for Androgen R/NR3C4 Antibody (CL9255) - Azide and BSA Free

This product is for research use only and is not approved for use in humans or in clinical diagnosis. Primary Antibodies are guaranteed for 1 year from date of receipt.

Loading...
Loading...
Loading...
Loading...
Loading...