Skip to main content

Androgen R/NR3C4 Antibody (AR441 + DHTR/882)

Novus Biologicals, part of Bio-Techne | Catalog # NBP2-44789

Novus Biologicals, part of Bio-Techne
Catalog #
Availability
Size / Price
Qty
Loading...
NBP2-44789-0.1mg
NBP2-44789-0.02mg
Conjugate
Catalog #

Key Product Details

Species Reactivity

Validated:

Human, Mouse (Negative)

Cited:

Human

Applications

Validated:

Immunohistochemistry, Immunohistochemistry-Paraffin

Cited:

Immunohistochemistry-Paraffin

Label

Unconjugated

Antibody Source

Monoclonal Mouse IgG1 Kappa/IgG1 Kappa Clone # AR441 + DHTR/882

Concentration

0.2 mg/ml

Product Specifications

Immunogen

A synthetic peptide, aa 302-318 of human Androgen R/NR3C4 (Androgen R/NR3C4441); Recombinant human DHTR protein (DHTR/882) (Uniprot: P10275)

Reactivity Notes

Does not react with Mouse.

Localization

Nuclear

Specificity

Recognizes a protein of 110kDa, which is identified as androgen receptor (AR). It reacts with full length, and the newly described A form of the receptor. It does not cross react with estrogen, progesterone, or glucocorticoid receptors. The expression of AR is reportedly inversely correlated with histologic grade i.e. well differentiated prostate tumors show higher expression than the poorly differentiated tumors. In prostate cancer, AR has been proposed, as a marker of hormone-responsiveness and thus it may be useful in identifying patients likely to benefit from anti-androgen therapy. Anti-androgen receptor has been useful clinically in differentiating morpheaform basal cell carcinoma (mBCC) from desmoplastic trichoepithelioma (DTE) in the skin. This monoclonal antibody is superb for staining of formalin/paraffin tissues.

Marker

Marker of Androgen Dependence

Clonality

Monoclonal

Host

Mouse

Isotype

IgG1 Kappa/IgG1 Kappa

Theoretical MW

110 kDa.
Disclaimer note: The observed molecular weight of the protein may vary from the listed predicted molecular weight due to post translational modifications, post translation cleavages, relative charges, and other experimental factors.

Description

200ug/ml of antibody purified from Bioreactor Concentrate by Protein A or G. Prepared in 10 mM PBS with 0.05% BSA & 0.05% azide. Also available WITHOUT BSA & azide at 1.0 mg/ml. (NBP2-47857)

Antibody with azide - store at 2 to 8C. Antibody without azide - store at -20 to -80C.

Scientific Data Images for Androgen R/NR3C4 Antibody (AR441 + DHTR/882)

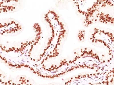
Immunohistochemistry-Paraffin: Androgen R/NR3C4 Antibody (AR441 + DHTR/882) [NBP2-44789]

Immunohistochemistry-Paraffin: Androgen R/NR3C4 Antibody (AR441 + DHTR/882) [NBP2-44789]

Immunohistochemistry-Paraffin: Androgen R/NR3C4 Antibody (AR441 + DHTR/882) [NBP2-44789] - Human Prostate Carcinoma stained with Androgen Receptor Monoclonal Antibody (AR441 + DHTR/882).

Applications for Androgen R/NR3C4 Antibody (AR441 + DHTR/882)

Application
Recommended Usage

Immunohistochemistry-Paraffin

1-2 ug/ml
Application Notes
Immunohistochemistry (Formalin-fixed): 1-2ug/ml for 30 minutes at RT. Staining of formalin-fixed tissues requires heating tissue sections in 1mM EDTA buffer, pH 7.5-8.5, for 45 min at 95C followed by cooling at RT for 20 minutes.
Optimal dilution for a specific application should be determined.

Formulation, Preparation, and Storage

Purification

Protein A or G purified

Formulation

10 mM PBS with 0.05% BSA

Preservative

0.05% Sodium Azide

Concentration

0.2 mg/ml

Shipping

The product is shipped with polar packs. Upon receipt, store it immediately at the temperature recommended below.

Stability & Storage

Store at 4C.

Background: Androgen R/NR3C4

Androgens have a broad range of effects on the appearance and maintenance of male secondary sexual characteristics. Like other members of the steroid superfamily, the androgen receptor (AR) consists of an amino terminal modulating domain, a central DNA binding domain, a hinge region and a carboxy terminal ligand binding domain. The androgen receptor (AR) is a 110 kDa androgen-dependent transcription factor that is a member of the steroid/nuclear receptor gene superfamily. The AR signaling pathway plays a key role in development and function of male reproductive organs, including the prostate and epididymis. AR also plays a role in nonreproductive organs, such as muscle, hair follicles, and brain. Abnormalities in the AR signaling pathway have been linked to a number of diseases, including prostate cancer, Kennedy's disease and male infertility. The PI3K/Akt signaling pathway plays an important role in regulating AR activity through phosphorylation of AR at Ser213/210 and Ser791/790. Growth factors or cytokines may induce phosphorylation of AR through the PI3K/Akt pathway. Activation of the PI3K/AKt pathway is thought to have a survival role in prostate cancer by protecting cells from apoptosis.

Long Name

Androgen Receptor

Alternate Names

AIS, AndrogenR, AR, DHTR, NR3C4, SBMA, SMAX1

Gene Symbol

AR

UniProt

Additional Androgen R/NR3C4 Products

Product Documents for Androgen R/NR3C4 Antibody (AR441 + DHTR/882)

Certificate of Analysis

To download a Certificate of Analysis, please enter a lot number in the search box below.

Product Specific Notices for Androgen R/NR3C4 Antibody (AR441 + DHTR/882)

This product is for research use only and is not approved for use in humans or in clinical diagnosis. Primary Antibodies are guaranteed for 1 year from date of receipt.

Loading...
Loading...
Loading...
Loading...