Skip to main content

Aminomethyltransferase Antibody - BSA Free

Novus Biologicals, part of Bio-Techne | Catalog # NBP3-38628

Novus Biologicals, part of Bio-Techne
Catalog #
Availability
Size / Price
Qty
Loading...
NBP3-38628-100ul
NBP3-38628-20ul

Key Product Details

Species Reactivity

Human, Mouse, Rat

Applications

Western Blot, ELISA, Immunocytochemistry/ Immunofluorescence

Label

Unconjugated

Antibody Source

Polyclonal Rabbit IgG

Format

BSA Free

Concentration

Please see the vial label for concentration. If unlisted please contact technical services.

Product Specifications

Immunogen

Recombinant fusion protein containing a sequence corresponding to amino acids 107-386 of human Aminomethyltransferase (NP_001158184.1).

Sequence:
AELRPNQGTLSLFTNEAGGILDDLIVTNTSEGHLYVVSNAGCWEKDLALMQDKVRELQNQGRDVGLEVLDNALLALQGPTAAQVLQAGVADDLRKLPFMTSAVMEVFGVSGCRVTRCGYTGEDGVEISVPVAGAVHLATAILKNPEVKLAGLAARDSLRLEAGLCLYGNDIDEHTTPVEGSLSWTLGKRRRAAMDFPGAKVIVPQLKGRVQRRRVGLMCEGAPMRAHSPILNMEGTKIGTVTSGCPSPSLKKNVAMGYVPCEYSRPGTMLLVELPSGPCF

Clonality

Polyclonal

Host

Rabbit

Isotype

IgG

Theoretical MW

44 kDa.
Disclaimer note: The observed molecular weight of the protein may vary from the listed predicted molecular weight due to post translational modifications, post translation cleavages, relative charges, and other experimental factors.

Scientific Data Images for Aminomethyltransferase Antibody - BSA Free

Aminomethyltransferase Antibody

Immunocytochemistry/ Immunofluorescence: Aminomethyltransferase Antibody [NBP3-38628] -

Immunocytochemistry/ Immunofluorescence: Aminomethyltransferase Antibody [NBP3-38628] - Immunofluorescence analysis of HeLa cells using Aminomethyltransferase Rabbit pAb at dilution of 1:100. Secondary antibody: Cy3-conjugated Goat anti-Rabbit IgG (H+L) at 1:500 dilution. Blue: DAPI for nuclear staining.
Aminomethyltransferase Antibody

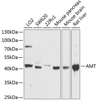
Western Blot: Aminomethyltransferase Antibody [NBP3-38628] -

Western Blot: Aminomethyltransferase Antibody [NBP3-38628] - Western blot analysis of various lysates using Aminomethyltransferase Rabbit pAb at 1:1000 dilution.
Secondary antibody: HRP-conjugated Goat anti-Rabbit IgG (H+L) at 1:10000 dilution.
Lysates/proteins: 25ug per lane.
Blocking buffer: 3% nonfat dry milk in TBST.
Detection: ECL Basic Kit.
Exposure time: 90s.
Aminomethyltransferase Antibody

Immunocytochemistry/ Immunofluorescence: Aminomethyltransferase Antibody [NBP3-38628] -

Immunocytochemistry/ Immunofluorescence: Aminomethyltransferase Antibody [NBP3-38628] - Immunofluorescence analysis of NIH/3T3 cells using Aminomethyltransferase Rabbit pAb at dilution of 1:100. Secondary antibody: Cy3-conjugated Goat anti-Rabbit IgG (H+L) at 1:500 dilution. Blue: DAPI for nuclear staining.

Applications for Aminomethyltransferase Antibody - BSA Free

Application
Recommended Usage

Immunocytochemistry/ Immunofluorescence

1:50 - 1:200

Western Blot

1:500 - 1:2000

Formulation, Preparation, and Storage

Purification

Affinity purified

Formulation

PBS (pH 7.3), 50% glycerol

Format

BSA Free

Preservative

0.02% Sodium Azide

Concentration

Please see the vial label for concentration. If unlisted please contact technical services.

Shipping

The product is shipped with polar packs. Upon receipt, store it immediately at the temperature recommended below.

Stability & Storage

Store at -20C. Avoid freeze-thaw cycles.

Background: Aminomethyltransferase

The enzyme system for cleavage of glycine (glycine cleavage system; EC 2.1.2.10), which is confined to the mitochondria, is composed of 4 protein components: P protein (a pyridoxal phosphate-dependent glycine decarboxylase; MIM 238300), H protein (a lipoic acid-containing protein; MIM 238330), T protein (a tetrahydrofolate-requiring enzyme), and L protein (a lipoamide dehydrogenase; MIM 238331). Glycine encephalopathy (GCE; MIM 605899) may be due to a defect in any one of these enzymes.[supplied by OMIM]

Alternate Names

aminomethyltransferase, EC 2.1.2.10, GCE, GCSTaminomethyltransferase (glycine cleavage system protein T), glycine cleavage system protein T, NKHmitochondrial

Gene Symbol

AMT

Additional Aminomethyltransferase Products

Product Documents for Aminomethyltransferase Antibody - BSA Free

Certificate of Analysis

To download a Certificate of Analysis, please enter a lot number in the search box below.

Product Specific Notices for Aminomethyltransferase Antibody - BSA Free

This product is for research use only and is not approved for use in humans or in clinical diagnosis. Primary Antibodies are guaranteed for 1 year from date of receipt.

Loading...
Loading...
Loading...
Loading...