Skip to main content

Aiolos/IKZF3 Antibody (4U7F9)

Novus Biologicals, part of Bio-Techne | Catalog # NBP3-16668

Recombinant Monoclonal Antibody
Novus Biologicals, part of Bio-Techne
Catalog #
Availability
Size / Price
Qty
Loading...
NBP3-16668-100ul
NBP3-16668-20ul

Key Product Details

Species Reactivity

Human, Mouse, Rat

Applications

Immunohistochemistry, Immunohistochemistry-Paraffin, Western Blot, ELISA, Immunoprecipitation

Label

Unconjugated

Antibody Source

Recombinant Monoclonal Rabbit IgG Clone # 4U7F9 expressed in HEK293

Concentration

Please see the vial label for concentration. If unlisted please contact technical services.

Product Specifications

Immunogen

Recombinant fusion protein containing a sequence corresponding to amino acids 400-509 of human Aiolos/IKZF3 (Q9UKT9). IYQQNHMVLSRARNGMPLLKEVPRSYELLKPPPICPRDSVKVINKEGEVMDVYRCDHCRVLFLDYVMFTIHMGCHGFRDPFECNMCGYRSHDRYEFSSHIARGEHRALLK

Clonality

Monoclonal

Host

Rabbit

Isotype

IgG

Theoretical MW

58 kDa.
Disclaimer note: The observed molecular weight of the protein may vary from the listed predicted molecular weight due to post translational modifications, post translation cleavages, relative charges, and other experimental factors.

Description

Novus Biologicals Rabbit Aiolos/IKZF3 Antibody (4U7F9) (NBP3-16668) is a recombinant monoclonal antibody validated for use in IHC, WB, ICC/IF and IP. All Novus Biologicals antibodies are covered by our 100% guarantee.

Scientific Data Images for Aiolos/IKZF3 Antibody (4U7F9)

Western Blot: Aiolos/IKZF3 Antibody (4U7F9) [NBP3-16668]

Western Blot: Aiolos/IKZF3 Antibody (4U7F9) [NBP3-16668]

Western Blot: Aiolos/IKZF3 Antibody (4V2Z2) [NBP3-16668] - Western blot analysis of extracts of various cell lines, using Aiolos/IKZF3 antibody (NBP3-16668) at 1:500 dilution. Secondary antibody: HRP Goat Anti-Rabbit IgG (H+L) at 1:10000 dilution. Lysates/proteins: 25ug per lane. Blocking buffer: 3% nonfat dry milk in TBST. Detection: ECL Basic Kit. Exposure time: 60s.
Western Blot: Aiolos/IKZF3 Antibody (4U7F9) [NBP3-16668]

Western Blot: Aiolos/IKZF3 Antibody (4U7F9) [NBP3-16668]

Western Blot: Aiolos/IKZF3 Antibody (4V2Z2) [NBP3-16668] - Western blot analysis of extracts of Raji cells, using Aiolos/IKZF3 antibody (NBP3-16668) at 1:500 dilution. Secondary antibody: HRP Goat Anti-Rabbit IgG (H+L) at 1:10000 dilution. Lysates/proteins: 25ug per lane. Blocking buffer: 3% nonfat dry milk in TBST. Detection: ECL Basic Kit. Exposure time: 3s.
Western Blot: Aiolos/IKZF3 Antibody (4U7F9) [NBP3-16668]

Western Blot: Aiolos/IKZF3 Antibody (4U7F9) [NBP3-16668]

Western Blot: Aiolos/IKZF3 Antibody (4V2Z2) [NBP3-16668] - Western blot analysis of extracts of Rat lung, using Aiolos/IKZF3 antibody (NBP3-16668) at 1:500 dilution. Secondary antibody: HRP Goat Anti-Rabbit IgG (H+L) at 1:10000 dilution. Lysates/proteins: 25ug per lane. Blocking buffer: 3% nonfat dry milk in TBST. Detection: ECL Enhanced Kit. Exposure time: 90s.

Applications for Aiolos/IKZF3 Antibody (4U7F9)

Application
Recommended Usage

ELISA

Recommended starting concentration is 1 μg/mL.

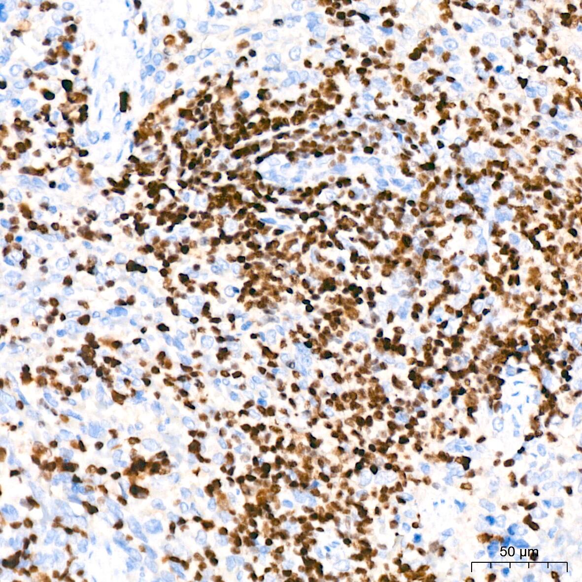
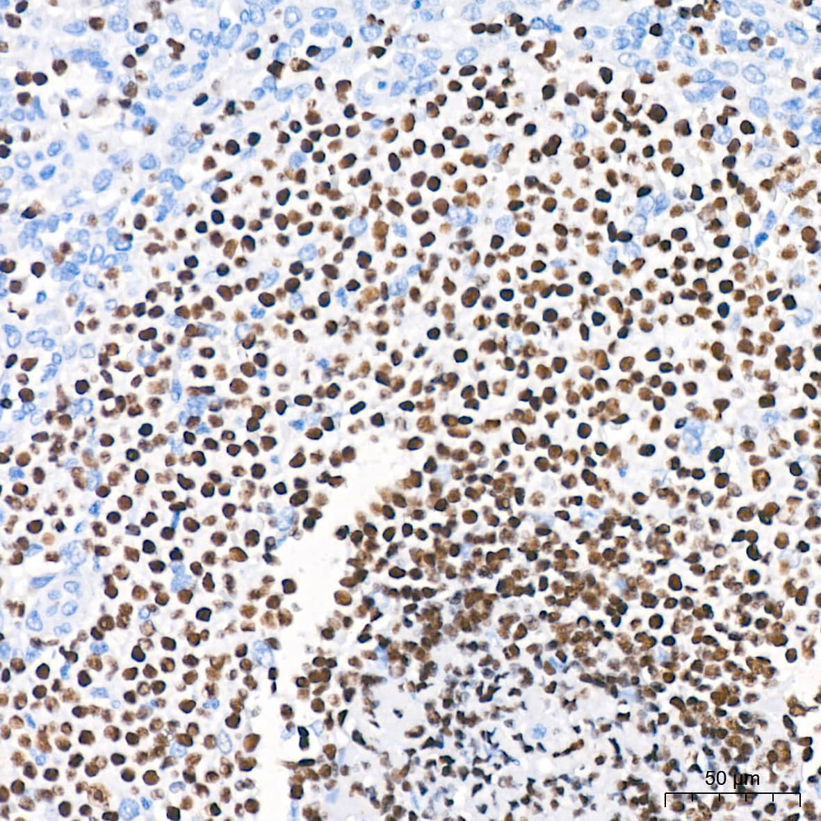
Immunohistochemistry

1:200 - 1:800

Immunohistochemistry-Paraffin

1:200 - 1:800

Immunoprecipitation

0.5μg-4μg antibody for 200μg-400μg extracts of whole cells

Western Blot

1:500 - 1:1000

Formulation, Preparation, and Storage

Purification

Affinity purified

Formulation

PBS (pH 7.3), 50% glycerol, 0.05% BSA

Preservative

0.02% Sodium Azide

Concentration

Please see the vial label for concentration. If unlisted please contact technical services.

Shipping

The product is shipped with polar packs. Upon receipt, store it immediately at the temperature recommended below.

Stability & Storage

Store at -20C. Avoid freeze-thaw cycles.

Background: Aiolos/IKZF3

IKZF3 encodes a member of the Ikaros family of zinc-finger proteins. Three members of this protein family (Ikaros, Aiolos and Helios) are hematopoietic-specific transcription factors involved in the regulation of lymphocyte development. This gene product is a transcription factor that is important in the regulation of B lymphocyte proliferation and differentiation. Both Ikaros and Aiolos can participate in chromatin remodeling. Regulation of gene expression in B lymphocytes by Aiolos is complex as it appears to require the sequential formation of Ikaros homodimers, Ikaros/Aiolos heterodimers, and Aiolos homodimers. At least six alternative transcripts encoding different isoforms have been described. [provided by RefSeq]

Long Name

DNA-binding Protein Aiolos

Alternate Names

AIO, IKZF3, ZNFN1A3

Gene Symbol

IKZF3

Additional Aiolos/IKZF3 Products

Product Documents for Aiolos/IKZF3 Antibody (4U7F9)

Certificate of Analysis

To download a Certificate of Analysis, please enter a lot number in the search box below.

Product Specific Notices for Aiolos/IKZF3 Antibody (4U7F9)

This product is for research use only and is not approved for use in humans or in clinical diagnosis. Primary Antibodies are guaranteed for 1 year from date of receipt.

Loading...
Loading...
Loading...
Loading...