ADRM1 Antibody - BSA Free
Novus Biologicals, part of Bio-Techne | Catalog # NBP3-38097
Key Product Details
Species Reactivity
Human, Mouse, Rat
Applications
ELISA, Immunocytochemistry/ Immunofluorescence, Immunohistochemistry, Immunohistochemistry-Paraffin, Western Blot
Label
Unconjugated
Antibody Source
Polyclonal Rabbit IgG
Format
BSA Free
Concentration
Please see the vial label for concentration. If unlisted please contact technical services.
Product Specifications
Immunogen
Recombinant fusion protein containing a sequence corresponding to amino acids 108-407 of human ADRM1 (NP_008933.2).
Sequence:
WMQEPKTDQDEEHCRKVNEYLNNPPMPGALGASGSSGHELSALGGEGGLQSLLGNMSHSQLMQLIGPAGLGGLGGLGALTGPGLASLLGSSGPPGSSSSSSSRSQSAAVTPSSTTSSTRATPAPSAPAAASATSPSPAPSSGNGASTAASPTQPIQLSDLQSILATMNVPAGPAGGQQVDLASVLTPEIMAPILANADVQERLLPYLPSGESLPQTADEIQNTLTSPQFQQALGMFSAALASGQLGPLMCQFGLPAEAVEAANKGDVEAFAKAMQNNAKPEQKEGDTKDKKDEEEDMSLD
Sequence:
WMQEPKTDQDEEHCRKVNEYLNNPPMPGALGASGSSGHELSALGGEGGLQSLLGNMSHSQLMQLIGPAGLGGLGGLGALTGPGLASLLGSSGPPGSSSSSSSRSQSAAVTPSSTTSSTRATPAPSAPAAASATSPSPAPSSGNGASTAASPTQPIQLSDLQSILATMNVPAGPAGGQQVDLASVLTPEIMAPILANADVQERLLPYLPSGESLPQTADEIQNTLTSPQFQQALGMFSAALASGQLGPLMCQFGLPAEAVEAANKGDVEAFAKAMQNNAKPEQKEGDTKDKKDEEEDMSLD
Clonality
Polyclonal
Host
Rabbit
Isotype
IgG
Theoretical MW
42 kDa.
Disclaimer note: The observed molecular weight of the protein may vary from the listed predicted molecular weight due to post translational modifications, post translation cleavages, relative charges, and other experimental factors.
Disclaimer note: The observed molecular weight of the protein may vary from the listed predicted molecular weight due to post translational modifications, post translation cleavages, relative charges, and other experimental factors.
Description
Novus Biologicals Rabbit ADRM1 Antibody - BSA Free (NBP3-38097) is a polyclonal antibody validated for use in IHC, WB, ELISA and ICC/IF. All Novus Biologicals antibodies are covered by our 100% guarantee.
Scientific Data Images for ADRM1 Antibody - BSA Free
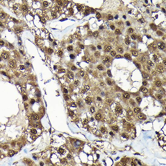
Immunohistochemistry: ADRM1 Antibody [NBP3-38097] -
Immunohistochemistry: ADRM1 Antibody [NBP3-38097] - Immunohistochemistry analysis of paraffin-embedded Rat stomach using ADRM1 Rabbit pAb at dilution of 1:100 (40x lens). High pressure antigen retrieval performed with 0.01M Citrate Bufferr (pH 6.0) prior to IHC staining.Western Blot: ADRM1 Antibody [NBP3-38097] -
Western Blot: ADRM1 Antibody [NBP3-38097] - Western blot analysis of various lysates using ADRM1 Rabbit pAb at 1:1000 dilution.Secondary antibody: HRP-conjugated Goat anti-Rabbit IgG (H+L) at 1:10000 dilution.
Lysates/proteins: 25ug per lane.
Blocking buffer: 3% nonfat dry milk in TBST.
Detection: ECL Basic Kit.
Exposure time: 10s.
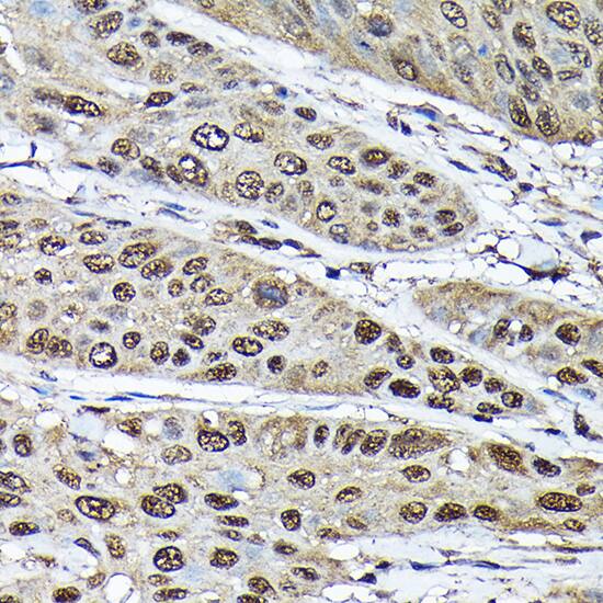
Immunohistochemistry: ADRM1 Antibody [NBP3-38097] -
Immunohistochemistry: ADRM1 Antibody [NBP3-38097] - Immunohistochemistry analysis of paraffin-embedded Human esophageal cancer using ADRM1 Rabbit pAb at dilution of 1:100 (40x lens). High pressure antigen retrieval performed with 0.01M Citrate Bufferr (pH 6.0) prior to IHC staining.Applications for ADRM1 Antibody - BSA Free
Application
Recommended Usage
Immunocytochemistry/ Immunofluorescence
1:50 - 1:200
Immunohistochemistry-Paraffin
1:50 - 1:200
Western Blot
1:1000 - 1:4000
Formulation, Preparation, and Storage
Purification
Affinity purified
Formulation
PBS (pH 7.3), 50% glycerol
Format
BSA Free
Preservative
0.02% Sodium Azide
Concentration
Please see the vial label for concentration. If unlisted please contact technical services.
Shipping
The product is shipped with polar packs. Upon receipt, store it immediately at the temperature recommended below.
Stability & Storage
Store at -20C. Avoid freeze-thaw cycles.
Background: ADRM1
Long Name
ADRM1 26S Proteasome Ubiquitin Receptor
Alternate Names
PSMD16, Rpn13
Gene Symbol
ADRM1
Additional ADRM1 Products
Product Documents for ADRM1 Antibody - BSA Free
Product Specific Notices for ADRM1 Antibody - BSA Free
This product is for research use only and is not approved for use in humans or in clinical diagnosis. Primary Antibodies are guaranteed for 1 year from date of receipt.
Loading...
Loading...
Loading...
Loading...