Skip to main content

ACOT12 Antibody (OTI1A11)

Novus Biologicals, part of Bio-Techne | Catalog # NBP2-03605

Novus Biologicals, part of Bio-Techne

Key Product Details

Species Reactivity

Human

Applications

Immunohistochemistry, Immunohistochemistry-Paraffin, Western Blot, Flow Cytometry

Label

Unconjugated

Antibody Source

Monoclonal Mouse IgG2A Clone # OTI1A11

Concentration

1 mg/ml

Product Specifications

Immunogen

Full length human recombinant protein of human ACOT12 (NP_570123) produced in HEK293T cell.

Clonality

Monoclonal

Host

Mouse

Isotype

IgG2A

Theoretical MW

61.9 kDa.
Disclaimer note: The observed molecular weight of the protein may vary from the listed predicted molecular weight due to post translational modifications, post translation cleavages, relative charges, and other experimental factors.

Description

Novus Biologicals Mouse ACOT12 Antibody (OTI1A11) (NBP2-03605) is a monoclonal antibody validated for use in IHC, WB and Flow. All Novus Biologicals antibodies are covered by our 100% guarantee.

Scientific Data Images for ACOT12 Antibody (OTI1A11)

Western Blot: ACOT12 Antibody (OTI1A11) [NBP2-03605]

Western Blot: ACOT12 Antibody (OTI1A11) [NBP2-03605]

Western Blot: ACOT12 Antibody (1A11) [NBP2-03605] - HEK293T cells were transfected with the pCMV6-ENTRY control (Left lane) or pCMV6-ENTRY ACOT12 (Right lane) cDNA for 48 hrs and lysed. Equivalent amounts of cell lysates (5 ug per lane) were separated by SDS-PAGE and immunoblotted with anti-ACOT12.
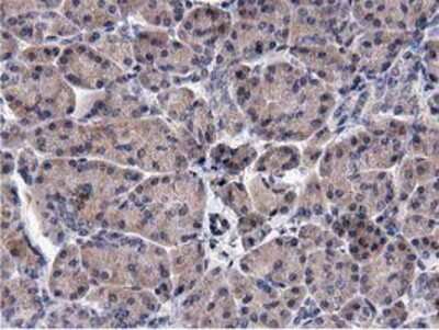
Immunohistochemistry-Paraffin: ACOT12 Antibody (1A11) [NBP2-03605] Staining of paraffin-embedded Human pancreas tissue using anti-ACOT12 mouse monoclonal antibody.
Flow Cytometry: ACOT12 Antibody (OTI1A11) [NBP2-03605]

Flow Cytometry: ACOT12 Antibody (OTI1A11) [NBP2-03605]

Flow Cytometry: ACOT12 Antibody (1A11) [NBP2-03605] - HEK293T cells transfected with either overexpression plasmid (Red) or empty vector control plasmid (Blue) were immunostained by anti-ACOT12 antibody, and then analyzed by flow cytometry.

Applications for ACOT12 Antibody (OTI1A11)

Application
Recommended Usage

Flow Cytometry

1:100

Immunohistochemistry

1:150

Immunohistochemistry-Paraffin

1:150

Western Blot

1:2000

Formulation, Preparation, and Storage

Purification

Immunogen affinity purified

Formulation

PBS (pH 7.3), 1.0% BSA and 50% Glycerol

Preservative

0.02% Sodium Azide

Concentration

1 mg/ml

Shipping

The product is shipped with polar packs. Upon receipt, store it immediately at the temperature recommended below.

Stability & Storage

Store at -20C. Avoid freeze-thaw cycles.

Background: ACOT12

Hydrolyzes acetyl-CoA to acetate and CoA

Alternate Names

Acyl-CoA thioester hydrolase 12, acyl-CoA thioesterase 12EC 3.1.2.1, acyl-coenzyme A thioesterase 12, Cach, CACH1, CACH-1, Cytoplasmic acetyl-CoA hydrolase 1, cytosolic acetyl-CoA hydrolase, hCACH-1, StARD15, STARD15MGC105114, StAR-related lipid transfer (START) domain containing 15, START domain-containing protein 15, THEAL

Entrez Gene IDs

134526 (Human)

Gene Symbol

ACOT12

Additional ACOT12 Products

Product Documents for ACOT12 Antibody (OTI1A11)

Certificate of Analysis

To download a Certificate of Analysis, please enter a lot number in the search box below.

Product Specific Notices for ACOT12 Antibody (OTI1A11)

This product is for research use only and is not approved for use in humans or in clinical diagnosis. Primary Antibodies are guaranteed for 1 year from date of receipt.

Loading...
Loading...
Loading...
Loading...
Loading...