Skip to main content

ABCD1 Antibody (OTI2C12)

Novus Biologicals, part of Bio-Techne | Catalog # NBP2-46476

Novus Biologicals, part of Bio-Techne
Catalog #
Availability
Size / Price
Qty
Loading...
NBP2-46476

Key Product Details

Validated by

Knockout/Knockdown

Species Reactivity

Human, Mouse, Rat

Applications

Knockout Validated, Immunohistochemistry, Immunohistochemistry-Paraffin, Western Blot, Knockdown Validated

Label

Unconjugated

Antibody Source

Monoclonal Mouse IgG2A Clone # OTI2C12

Concentration

1 mg/ml

Product Specifications

Immunogen

Human recombinant protein fragment corresponding to amino acids 508-745 of human ABCD1 (NP_000024) produced in E.coli.

Reactivity Notes

Please note that this antibody is reactive to Mouse and derived from the same host, Mouse. Mouse-On-Mouse blocking reagent may be needed for IHC and ICC experiments to reduce high background signal. You can find these reagents under catalog numbers PK-2200-NB and MP-2400-NB. Please contact Technical Support if you have any questions.

Clonality

Monoclonal

Host

Mouse

Isotype

IgG2A

Theoretical MW

82.8 kDa.
Disclaimer note: The observed molecular weight of the protein may vary from the listed predicted molecular weight due to post translational modifications, post translation cleavages, relative charges, and other experimental factors.

Description

Novus Biologicals Knockout (KO) Validated Mouse ABCD1 Antibody (OTI2C12) (NBP2-46476) is a monoclonal antibody validated for use in IHC and WB. All Novus Biologicals antibodies are covered by our 100% guarantee.

Scientific Data Images for ABCD1 Antibody (OTI2C12)

Knockdown Validated: ABCD1 Antibody (OTI2C12) [NBP2-46476]

Western Blot: ABCD1 Antibody (OTI2C12) [NBP2-46476]

Western Blot: ABCD1 Antibody (OTI2C12) [NBP2-46476] - Western blot shows lysates of TIME human endothelial parental cell line and ABCD1 knockout (KO) TIME cell line. PVDF membrane was probed with 1:2000 of Mouse Anti-Human ABCD1 Monoclonal Antibody (Catalog # NBP2-46476) followed by HRP-conjugated Anti-Mouse IgG Secondary Antibody (Catalog #HAF018). Specific band was detected for ABCD1 at approximately 75 kDa (as indicated) in the parental TIME cell line, but is not detectable in the knockout TIME cell line. This experiment was conducted under reducing conditions.
Western Blot: ABCD1 Antibody (OTI2C12) [NBP2-46476]

Western Blot: ABCD1 Antibody (OTI2C12) [NBP2-46476]

Western Blot: ABCD1 Antibody (OTI2C12) [NBP2-46476] - Analysis of HEK293T cells were transfected with the pCMV6-ENTRY control (Left lane) or pCMV6-ENTRY ABCD1.
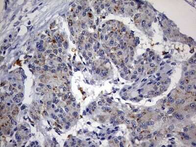
Immunohistochemistry: ABCD1 Antibody (OTI2C12) [NBP2-46476]

Immunohistochemistry: ABCD1 Antibody (OTI2C12) [NBP2-46476]

Immunohistochemistry: ABCD1 Antibody (OTI2C12) [NBP2-46476] - Analysis of Adenocarcinoma of Human ovary tissue. (Heat-induced epitope retrieval by 10mM citric buffer, pH6.0, 120C for 3min)

Applications for ABCD1 Antibody (OTI2C12)

Application
Recommended Usage

Immunohistochemistry

1:150

Immunohistochemistry-Paraffin

1:150

Western Blot

1:2000

Formulation, Preparation, and Storage

Purification

Immunogen affinity purified

Formulation

PBS (pH 7.3), 1.0% BSA and 50% Glycerol

Preservative

0.02% Sodium Azide

Concentration

1 mg/ml

Shipping

The product is shipped with polar packs. Upon receipt, store it immediately at the temperature recommended below.

Stability & Storage

Store at -20C. Avoid freeze-thaw cycles.

Background: ABCD1

ABCD1 is a member of the superfamily of ATP-binding cassette (ABC) transporters. ABC proteins transport various molecules across extra- and intra-cellular membranes. ABC genes are divided into seven distinct subfamilies (ABC1, MDR/TAP, MRP, ALD, OABP, GCN20, White). ABCD1 is a member of the ALD subfamily, which is involved in peroxisomal import of fatty acids and/or fatty acyl-CoAs in the organelle. All known peroxisomal ABC transporters are half transporters which require a partner half transporter molecule to form a functional homodimeric or heterodimeric transporter. ABCD1 peroxisomal membrane protein is likely involved in the peroxisomal transport or catabolism of very long chain fatty acids. Defects in ABCD1 have been identified as the underlying cause of adrenoleukodystrophy, an X-chromosome recessively inherited demyelinating disorder of the nervous system.

Alternate Names

Adrenoleukodystrophy protein, ALDATP-binding cassette sub-family D member 1, ALDPadrenoleukodystrophy, AMNABC42, ATP-binding cassette, sub-family D (ALD), member 1

Gene Symbol

ABCD1

Additional ABCD1 Products

Product Documents for ABCD1 Antibody (OTI2C12)

Certificate of Analysis

To download a Certificate of Analysis, please enter a lot number in the search box below.

Product Specific Notices for ABCD1 Antibody (OTI2C12)

This product is for research use only and is not approved for use in humans or in clinical diagnosis. Primary Antibodies are guaranteed for 1 year from date of receipt.

Loading...
Loading...
Loading...
Loading...