Skip to main content

Key Product Details

Species Reactivity

Validated:

Human

Cited:

Human, Mouse, Virus

Applications

Validated:

Immunohistochemistry, Western Blot, Flow Cytometry, Immunocytochemistry, CyTOF-ready

Cited:

Immunohistochemistry, Immunohistochemistry-Paraffin, Immunohistochemistry-Frozen, Flow Cytometry, Immunocytochemistry, Immunoprecipitation, Cell Selection, ELISA Capture

Label

Unconjugated

Antibody Source

Monoclonal Mouse IgG2A Clone # 222328

Product Specifications

Immunogen

Mouse myeloma cell line NS0-derived recombinant human Podocalyxin
Ser23-Arg427
Accession # AAB61574

Specificity

Detects human Podocalyxin in direct ELISAs and Western blots. In Western blots, no cross-reactivity with recombinant mouse Podocalyxin or recombinant human Endoglycan is observed.

Clonality

Monoclonal

Host

Mouse

Isotype

IgG2A

Scientific Data Images for Human Podocalyxin Antibody

Detection of Podocalyxin antibody in MDA-MB-231 Human Cell Line by Flow Cytometry.

Detection of Podocalyxin in MDA-MB-231 Human Cell Line by Flow Cytometry.

MDA-MB-231 (orange) or MG-63 (blue) human cell lines were stained with Mouse Anti-Human Podocalyxin Monoclonal Antibody (Catalog # MAB1658, filled histograms) or isotype control antibody (MAB003, open histograms), followed by Allophycocyanin-conjugated Anti-Mouse IgG Secondary Antibody (F0101B). View our protocol for Staining Membrane-associated Proteins.
Podocalyxin antibody in BG01V Human Stem Cells by Immunocytochemistry (ICC).

Podocalyxin in BG01V Human Stem Cells.

Podocalyxin was detected in immersion fixed BG01V human embryonic stem cells using 10 µg/mL Mouse Anti-Human Podocalyxin Monoclonal Antibody (Catalog # MAB1658) for 3 hours at room temperature. Cells were stained with the NorthernLights™ 557-conjugated Anti-Mouse IgG Secondary Antibody (red; NL007) and counterstained with DAPI (blue). View our protocol for Fluorescent ICC Staining of Cells on Coverslips.

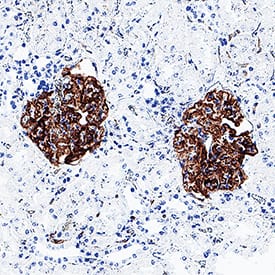
Detection of Podocalyxin in Human Kidney.

Podocalyxin was detected in immersion fixed paraffin-embedded sections of human kidney using Mouse Anti-Human Podocalyxin Monoclonal Antibody (Catalog # MAB1658) at 0.05 µg/ml for 1 hour at room temperature followed by incubation with the Anti-Mouse IgG VisUCyte™ HRP Polymer Antibody (Catalog # VC001) or the HRP-conjugated Anti-Mouse IgG Secondary Antibody (Catalog # HAF007). Before incubation with the primary antibody, tissue was subjected to heat-induced epitope retrieval using VisUCyte Antigen Retrieval Reagent-Basic (Catalog # VCTS021). Tissue was stained using DAB (brown) and counterstained with hematoxylin (blue). Specific staining was localized to glomerular epithelial cells. View our protocol for IHC Staining with VisUCyte HRP Polymer Detection Reagents.

Applications for Human Podocalyxin Antibody

Application
Recommended Usage

CyTOF-ready

Ready to be labeled using established conjugation methods. No BSA or other carrier proteins that could interfere with conjugation.

Flow Cytometry

2.5 µg/mL
Sample: MDA-MB-231 Human Cell Line

Immunocytochemistry

8-25 µg/mL
Sample: Immersion fixed BG01V human embryonic stem cells

Immunohistochemistry

0.05-10 µg/mL
Sample: Immersion fixed paraffin-embedded sections of human kidney

Western Blot

1 µg/mL
Sample: Recombinant Human Podocalyxin

Reviewed Applications

Read 7 reviews rated 4.4 using MAB1658 in the following applications:

Formulation, Preparation, and Storage

Purification

Protein A or G purified from hybridoma culture supernatant

Reconstitution

Reconstitute at 0.5 mg/mL in sterile PBS. For liquid material, refer to CoA for concentration.

Reconstitution Buffer Available:
Size / Price
Qty
Loading...

Formulation

Lyophilized from a 0.2 μm filtered solution in PBS with Trehalose. See Certificate of Analysis for details.
*Small pack size (-SP) is supplied either lyophilized or as a 0.2 µm filtered solution in PBS.

Shipping

Lyophilized product is shipped at ambient temperature. Liquid small pack size (-SP) is shipped with polar packs. Upon receipt, store immediately at the temperature recommended below.

Stability & Storage

Use a manual defrost freezer and avoid repeated freeze-thaw cycles.
  • 12 months from date of receipt, -20 to -70 °C as supplied.
  • 1 month, 2 to 8 °C under sterile conditions after reconstitution.
  • 6 months, -20 to -70 °C under sterile conditions after reconstitution.

Background: Podocalyxin

Podocalyxin, also known as Podocalyxin-like protein-1 (PCLP1 or PODXL), is a type I transmembrane glycoprotein. It belongs to the CD34/Podocalyxin family of sialomucins that share structural similarity and sequence homology (1). Podocalyxin is a major sialoprotein in the podocytes of the kidney glomerulus and is also expressed by both endothelium and multipotent hematopoietic progenitors (2). It has been identified as a novel cell surface marker for hemangioblasts, the common precursors of hematopoietic and endothelial cells.

References

  1. Li, J. et al. (2001) DNA Seq. 12:407.
  2. Hara, T. et al. (1999) Immunity 11:567.

Alternate Names

GCTM, PCLP, POD XL, PODXL

Entrez Gene IDs

5420 (Human); 27205 (Mouse)

Gene Symbol

PODXL

UniProt

Additional Podocalyxin Products

Product Documents for Human Podocalyxin Antibody

Certificate of Analysis

To download a Certificate of Analysis, please enter a lot number in the search box below.

Note: Certificate of Analysis not available for kit components.

Product Specific Notices for Human Podocalyxin Antibody

For research use only

Loading...
Loading...
Loading...
Loading...
Loading...