Skip to main content

Human PD-1 Antibody

R&D Systems, part of Bio-Techne | Catalog # MAB10864

R&D Systems, part of Bio-Techne

Key Product Details

Species Reactivity

Human

Applications

Immunohistochemistry, Western Blot, ELISA, Blockade of Receptor-ligand Interaction

Label

Unconjugated

Antibody Source

Monoclonal Mouse IgG1 Clone # 1015846

Product Specifications

Immunogen

Human embryonic kidney cell HEK293-derived human PD-1
Leu25-Thr168
Accession # Q15116

Specificity

Detects human PD-1 in direct ELISAs.

Clonality

Monoclonal

Host

Mouse

Isotype

IgG1

Scientific Data Images for Human PD-1 Antibody

Detection of Human PD-1 antibody by Western Blot.

Detection of Human PD‑1 by Western Blot.

Western blot shows lysates of human tonsil tissue. PVDF membrane was probed with 2 µg/mL of Mouse Anti-Human PD-1 Monoclonal Antibody (Catalog # MAB10864) followed by HRP-conjugated Anti-Mouse IgG Secondary Antibody (Catalog # HAF018). A specific band was detected for PD-1 at approximately 45 kDa (as indicated). This experiment was conducted under reducing conditions and using Immunoblot Buffer Group 1.
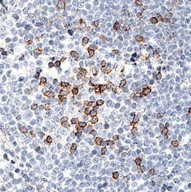
PD-1 antibody in Human Tonsil by Immunohistochemistry (IHC-P).

PD‑1 in Human Tonsil.

PD-1 was detected in immersion fixed paraffin-embedded sections of human tonsil using Mouse Anti-Human PD-1 Monoclonal Antibody (Catalog # MAB10864) at 5 µg/mL for 1 hour at room temperature followed by incubation with the Anti-Mouse IgG VisUCyte™ HRP Polymer Antibody (Catalog # VC001). Before incubation with the primary antibody, tissue was subjected to heat-induced epitope retrieval using Antigen Retrieval Reagent-Basic (Catalog # CTS013). Tissue was stained using DAB (brown) and counterstained with hematoxylin (blue). Specific staining was localized to lymphocytes. View our protocol for IHC Staining with VisUCyte HRP Polymer Detection Reagents.
PD-L1/B7-H1 Binding to PD-1 Blocked by Human PD-1 Antibody.

PD-L1/B7-H1 Binding to PD-1 Blocked by Human PD-1 Antibody.

In a functional ELISA, 0.09-0.72 µg/mL of this antibody (green line) will block 50% of the binding of 5 µg/mL of Recombinant Human PD-L1/B7-H1 Fc Chimera (orange line, Catalog # 156-B7) to immobilized Recombinant Human PD-1 His-tagged Protein (Catalog # 8986-PD) coated at 1 µg/mL (100 µL/well). At 5 µg/mL, this antibody will block >90% of the binding.

Applications for Human PD-1 Antibody

Application
Recommended Usage

Blockade of Receptor-ligand Interaction

In a functional ELISA, 0.09-0.72 µg/mL of this antibody will block 50% of the binding of 5 µg/mL of Recombinant Human PD-L1/B7-H1 Fc Chimera (Catalog # 156-B7) to immobilized Recombinant Human PD‑1 His-tagged Protein (Catalog # 8986-PD) coated at 1 µg/mL (100 µL/well). At 5 µg/mL, this antibody will block >90% of the binding.

ELISA

This antibody functions as an ELISA detection antibody when paired with Rabbit Anti-Human PD‑1 Monoclonal Antibody (Catalog # MAB10863).

This product is intended for assay development on various assay platforms requiring antibody pairs. We recommend the Human PD-1 DuoSet ELISA Kit (Catalog # DY1086) for convenient development of a sandwich ELISA.

Immunohistochemistry

5-25 µg/mL
Sample: Immersion fixed paraffin-embedded sections of human tonsil

Western Blot

2 µg/mL
Sample: Human Tonsil Tissue

Formulation, Preparation, and Storage

Purification

Protein A or G purified from cell culture supernatant

Reconstitution

Reconstitute at 0.5 mg/mL in sterile PBS. For liquid material, refer to CoA for concentration.

Reconstitution Buffer Available:
Size / Price
Qty
Loading...

Formulation

Lyophilized from a 0.2 μm filtered solution in PBS with Trehalose. *Small pack size (SP) is supplied either lyophilized or as a 0.2 µm filtered solution in PBS.

Shipping

Lyophilized product is shipped at ambient temperature. Liquid small pack size (-SP) is shipped with polar packs. Upon receipt, store immediately at the temperature recommended below.

Stability & Storage

Use a manual defrost freezer and avoid repeated freeze-thaw cycles.
  • 12 months from date of receipt, -20 to -70 °C as supplied.
  • 1 month, 2 to 8 °C under sterile conditions after reconstitution.
  • 6 months, -20 to -70 °C under sterile conditions after reconstitution.

Background: PD-1

Programmed Death-1 receptor (PD-1), also known as CD279, is type I transmembrane protein belonging to the CD28 family of immune regulatory receptors (1). Other members of this family include CD28, CTLA-4, ICOS, and BTLA (2-5). Mature human PD-1 consists of a 148 amino acid (aa) extracellular region (ECD) with one immunoglobulin-like V-type domain, a 24 aa transmembrane domain, and a 95 aa cytoplasmic region. The human PD-1 ECD shares 65% aa sequence identity with the mouse PD-1 ECD. The cytoplasmic tail contains two tyrosine residues that form the immunoreceptor tyrosine-based inhibitory motif (ITIM) and immunoreceptor tyrosine-based switch motif (ITSM) that are important for mediating PD-1 signaling. PD-1 acts as a monomeric receptor and interacts in a 1:1 stoichiometric ratio with its ligands PD-L1 (B7-H1) and PD-L2 (B7-DC) (6, 7). PD‑1 is expressed on activated T cells, B cells, monocytes, and dendritic cells while PD-L1 expression is constitutive on the same cells and also on nonhematopoietic cells such as lung endothelial cells and hepatocytes (8, 9). Ligation of PD-L1 with PD-1 induces co-inhibitory signals on T cells promoting their apoptosis, anergy, and functional exhaustion (10). Thus, the PD-1: PD-L1 interaction is a key regulator of the threshold of immune response and peripheral immune tolerance (11). Finally, blockade of the PD-1: PD-L1 interaction by either antibodies or genetic manipulation accelerates tumor eradication and shows potential for improving cancer immunotherapy (12, 13, 14).

References

  1. Ishida, Y. et al. (1992) EMBO J. 11:3887.
  2. Sharpe, A.H. and G. J. Freeman (2002) Nat. Rev. Immunol. 2:116.
  3. Coyle, A. and J. Gutierrez-Ramos (2001) Nat. Immunol. 2:203.
  4. Nishimura, H. and T. Honjo (2001) Trends Immunol. 22:265.
  5. Watanabe, N et al. (2003) Nat. Immunol. 4:670.
  6. Zhang, X. et al. (2004) Immunity 20:337.
  7. Lázár-Molnár, E. et al. (2008) Proc. Natl. Acad. Sci. USA 105:10483.
  8. Nishimura, H et al. (1996) Int. Immunol. 8:773.
  9. Keir, M.E. et al. (2008) Annu. Rev. Immunol. 26:677.
  10. Butte, M.J. et al. (2007) Immunity 27:111.
  11. Okazaki, T. et al. (2013) Nat. Immunol. 14:1212.
  12. Iwai, Y. et al. (2002) Proc. Natl. Acad. Sci. USA 99: 12293.
  13. Nogrady, B. (2014) Nature 513:S10.
  14. Swaika, A. et al. (2015) Mol. Immunol. 67: 4

Long Name

Programmed Death-1

Alternate Names

CD279, PD1, PDCD1, SLEB2

Entrez Gene IDs

5133 (Human); 18566 (Mouse); 301626 (Rat); 100533201 (Porcine); 486213 (Canine); 102123659 (Cynomolgus Monkey)

Gene Symbol

PDCD1

UniProt

Additional PD-1 Products

Product Documents for Human PD-1 Antibody

Certificate of Analysis

To download a Certificate of Analysis, please enter a lot number in the search box below.

Note: Certificate of Analysis not available for kit components.

Product Specific Notices for Human PD-1 Antibody

For research use only

Loading...
Loading...
Loading...
Loading...