Skip to main content

Key Product Details

Validated by

Biological Validation

Species Reactivity

Validated:

Human

Cited:

Human, Mouse

Applications

Validated:

Immunohistochemistry, Western Blot, Intracellular Staining by Flow Cytometry, Immunoprecipitation, CyTOF-ready

Cited:

Immunohistochemistry, Immunohistochemistry-Paraffin, Western Blot, Immunocytochemistry, Confocal Imaging, ELISA Capture

Label

Unconjugated

Antibody Source

Monoclonal Mouse IgG1 Clone # 41802

Product Specifications

Immunogen

E. coli-derived recombinant human IL-17
Ile20-Ala155
Accession # Q16552

Specificity

Detects human IL-17 in direct ELISAs. In direct ELISAs, 100% cross-reactivity with recombinant human (rh) IL-17A/IL-17F heterodimer is observed. No cross-reactivity with recombinant mouse IL-17, recombinant canine Il-17, rhIL-17B, rhIL-17C, rhIL-17D, rhIL-17E, or rhIL-17F is observed.

Clonality

Monoclonal

Host

Mouse

Isotype

IgG1

Scientific Data Images for Human IL-17/IL-17A Antibody

Detection of IL-17/IL-17A Mouse antibody by Western Blot.

Detection of IL-17/IL-17A Mouse by Western Blot.

Western blot shows lysates of purified naïve human CD4+T cells orin vitrodifferentiated human Th17 CD4+ T cells. PVDF membrane was probed with 2 µg/mL of Mouse Anti-Human IL-17 Monoclonal Antibody (Catalog # MAB3171) followed by HRP-conjugated Anti-Mouse IgG Secondary Antibody (Catalog # HAF007). A specific band was detected for IL-17 at approximately 17 kDa (as indicated). This experiment was conducted under reducing conditions and using Immunoblot Buffer Group 1.
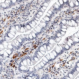
IL-17/IL-17A antibody in Human Crohn's Disease Intestine by Immunohistochemistry (IHC-P).

IL‑17/IL‑17A in Human Crohn's Disease Intestine.

IL-17/IL-17A was detected in immersion fixed paraffin-embedded sections of human Crohn's disease intestine using Mouse Anti-Human IL-17/IL-17A Monoclonal Antibody (Catalog # MAB3171) at 0.5 µg/mL for 1 hour at room temperature followed by incubation with the Anti-Mouse IgG VisUCyte™ HRP Polymer Antibody (Catalog # VC001). Before incubation with the primary antibody, tissue was subjected to heat-induced epitope retrieval using Antigen Retrieval Reagent-Basic (Catalog # CTS013). Tissue was stained using DAB (brown) and counterstained with hematoxylin (blue). Specific staining was localized to lymphocytes. View our protocol for IHC Staining with VisUCyte HRP Polymer Detection Reagents.
Immunoprecipitation of Human IL-17.

Immunoprecipitation of Human IL-17.

Human IL-17 was immunoprecipitated from 100 µg of humanin vitrodifferentiated Th17 cell lysate following incubation with 3 µg Mouse Anti-Human IL-17 Monoclonal Antibody (Catalog # MAB3171) or isotype control antibody (Catalog # MAB002) overnight at 4 °C. IL-17-antibody complexes were absorbed using anti-mouse agarose beads. Immunoprecipitated IL-17 was detected by Western blot using 1 µg/mL Goat Anti-Human IL-17 Antigen Affinity-purified Polyclonal Antibody (Catalog # AF-317-NA). View our recommended buffer recipes for immunoprecipitation.

Applications for Human IL-17/IL-17A Antibody

Application
Recommended Usage

CyTOF-ready

Ready to be labeled using established conjugation methods. No BSA or other carrier proteins that could interfere with conjugation.

Immunohistochemistry

0.5-25 µg/mL
Sample: Immersion fixed paraffin-embedded sections of human Crohn's disease intestine

Immunoprecipitation

3 µg/100 µg cell lysate
Sample: Human in vitro differentiated Th17 cells

Intracellular Staining by Flow Cytometry

2.5 µg/106 cells
Sample: Human peripheral blood mononuclear cells treated with PMA and Ca2+ ionomycin, fixed with paraformaldehyde, and permeabilized with saponin

Western Blot

2 µg/mL
Sample: Purified naïve human CD4+ T cells or in vitro differentiated human Th17 CD4+ T cells

Reviewed Applications

Read 3 reviews rated 4.3 using MAB3171 in the following applications:

Formulation, Preparation, and Storage

Purification

Protein A or G purified from hybridoma culture supernatant

Reconstitution

Reconstitute at 0.5 mg/mL in sterile PBS. For liquid material, refer to CoA for concentration.

Reconstitution Buffer Available:
Size / Price
Qty
Loading...

Formulation

Lyophilized from a 0.2 μm filtered solution in PBS with Trehalose. *Small pack size (SP) is supplied either lyophilized or as a 0.2 µm filtered solution in PBS.

Shipping

Lyophilized product is shipped at ambient temperature. Liquid small pack size (-SP) is shipped with polar packs. Upon receipt, store immediately at the temperature recommended below.

Stability & Storage

Use a manual defrost freezer and avoid repeated freeze-thaw cycles.
  • 12 months from date of receipt, -20 to -70 °C as supplied.
  • 1 month, 2 to 8 °C under sterile conditions after reconstitution.
  • 6 months, -20 to -70 °C under sterile conditions after reconstitution.

Background: IL-17/IL-17A

Interleukin-17 (IL-17) is a pro-inflammatory cytokine secreted by activated T cells. It is the prototype member of the IL-17 family that also includes IL-17B, C, D, E, and F.

Long Name

Interleukin 17

Alternate Names

CTLA-8, CTLA8, IL-17A, IL17, IL17A

Entrez Gene IDs

3605 (Human); 16171 (Mouse); 301289 (Rat); 449530 (Porcine); 481837 (Canine); 102119976 (Cynomolgus Monkey)

Gene Symbol

IL17A

UniProt

Additional IL-17/IL-17A Products

Product Documents for Human IL-17/IL-17A Antibody

Certificate of Analysis

To download a Certificate of Analysis, please enter a lot number in the search box below.

Note: Certificate of Analysis not available for kit components.

Product Specific Notices for Human IL-17/IL-17A Antibody

For research use only

Loading...
Loading...
Loading...
Loading...
Loading...
Loading...