Skip to main content

Human CD30 Ligand/TNFSF8 Antibody

R&D Systems, part of Bio-Techne | Catalog # MAB10281

R&D Systems, part of Bio-Techne
Catalog #
Availability
Size / Price
Qty
Loading...
MAB10281-100
MAB10281-SP

Key Product Details

Validated by

Biological Validation

Species Reactivity

Human

Applications

Immunohistochemistry, Flow Cytometry, CyTOF-ready

Label

Unconjugated

Antibody Source

Monoclonal Mouse IgG2A Clone # 116621

Product Specifications

Immunogen

Mouse myeloma cell line NS0-derived human CD30 Ligand/TNFSF8.
Gln63-Asp234
Accession # P32971

Specificity

Detects human CD30 ligand/TNFSF8 in direct ELISAs.

Clonality

Monoclonal

Host

Mouse

Isotype

IgG2A

Scientific Data Images for Human CD30 Ligand/TNFSF8 Antibody

Detection of CD30 Ligand/TNFSF8 antibody in Human PBMCs antibody by Flow Cytometry.

Detection of CD30 Ligand/TNFSF8 in Human PBMCs by Flow Cytometry.

Human peripheral blood mononuclear cells (PBMCs) treated with Cell Activation Cocktail 500x (Catalog # 5476) overnight were stained with (A) Mouse Anti-Human CD30 Ligand/TNFRSF8 Monoclonal Antibody (Catalog # MAB10281) or (B) Mouse IgG2a isotype control antibody (Catalog # MAB003) followed by Anti-Mouse IgG PE-conjugated Secondary Antibody (Catalog # F0102B) and Mouse anti-Human CD3 APC-conjugated Monoclonal Antibody (Catalog # FAB100A). View our protocol for Staining Membrane-associated Proteins.
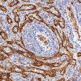
CD30 Ligand/TNFSF8 antibody in Human Spleen by Immunohistochemistry (IHC-P).

CD30 Ligand/TNFSF8 in Human Spleen.

CD30 Ligand/TNFSF8 was detected in immersion fixed paraffin-embedded sections of human spleen using Mouse Anti-Human CD30 Ligand/TNFSF8 Monoclonal Antibody (Catalog # MAB10281) at 5 µg/mL for 1 hour at room temperature followed by incubation with the Anti-Mouse IgG VisUCyte™ HRP Polymer Antibody (Catalog # VC001). Before incubation with the primary antibody, tissue was subjected to heat-induced epitope retrieval using Antigen Retrieval Reagent-Basic (Catalog # CTS013). Tissue was stained using DAB (brown) and counterstained with hematoxylin (blue). Specific staining was localized to cell surface. View our protocol for IHC Staining with VisUCyte HRP Polymer Detection Reagents.

Applications for Human CD30 Ligand/TNFSF8 Antibody

Application
Recommended Usage

CyTOF-ready

Ready to be labeled using established conjugation methods. No BSA or other carrier proteins that could interfere with conjugation.

Flow Cytometry

0.25 µg/106 cells
Sample: Human peripheral blood mononuclear cells (PBMCs) treated with Cell Activation Cocktail 500x (Catalog # 5476)

Immunohistochemistry

5-25 µg/mL
Sample: Immersion fixed paraffin-embedded sections of human spleen

Formulation, Preparation, and Storage

Purification

Protein A or G purified from hybridoma culture supernatant

Reconstitution

Reconstitute at 0.5 mg/mL in sterile PBS. For liquid material, refer to CoA for concentration.

Reconstitution Buffer Available:
Size / Price
Qty
Loading...

Formulation

Lyophilized from a 0.2 μm filtered solution in PBS with Trehalose. *Small pack size (SP) is supplied either lyophilized or as a 0.2 µm filtered solution in PBS.

Shipping

Lyophilized product is shipped at ambient temperature. Liquid small pack size (-SP) is shipped with polar packs. Upon receipt, store immediately at the temperature recommended below.

Stability & Storage

Use a manual defrost freezer and avoid repeated freeze-thaw cycles.
  • 12 months from date of receipt, -20 to -70 °C as supplied.
  • 1 month, 2 to 8 °C under sterile conditions after reconstitution.
  • 6 months, -20 to -70 °C under sterile conditions after reconstitution.

Background: CD30 Ligand/TNFSF8

CD30 ligand (CD30L)/TNFSF8 is a type II membrane protein belonging to the TNF superfamily. CD30L is expressed on the cell surface of activated T cells, B cells, and monocytes. The protein is also constitutively expressed on granulocytes and medullary thymic epithelial cells. The specific receptor for CD30L is CD30/TNFRSF8, a type I transmembrane glycoprotein belonging to the TNF receptor superfamily. CD30 was originally identified as a cell surface antigen of Hodgkin's and Reed-Sternberg cells using the monoclonal antibody Ki-1. CD30 is also expressed on different non-Hodgkin's lymphomas, virus-infected T and B cells, and on normal T and B cells after activation. Among T cells, CD30 is preferentially expressed on a subset of T cells producing Th2-type cytokines and on CD4+/CD8+ thymocytes that co-express CD45RO and IL-4 receptor. CD30 ligation by CD30L mediates pleiotropic effects including cell proliferation, activation, differentiation and cell death by apoptosis. CD30 can act as a co-stimulatory molecule in thymic negative selection and may also play a critical role in the pathophysiology of Hodgkin's disease and other CD30+ lymphomas. Human and mouse CD30 ligand cDNAs share 70% sequence homology.

References

  1. Brunangelo, F. et al. (1995) Blood 85:1.
  2. Duckett, C.S. et al. (1997) Mol. Cell. Biol. 17:1535.
  3. Chiarle, R. et al. (1999) J. Immunol. 163:194.

Alternate Names

CD153, CD30L, TNFSF8

Entrez Gene IDs

944 (Human); 21949 (Mouse)

Gene Symbol

TNFSF8

UniProt

Additional CD30 Ligand/TNFSF8 Products

Product Documents for Human CD30 Ligand/TNFSF8 Antibody

Certificate of Analysis

To download a Certificate of Analysis, please enter a lot number in the search box below.

Note: Certificate of Analysis not available for kit components.

Product Specific Notices for Human CD30 Ligand/TNFSF8 Antibody

For research use only

Loading...
Loading...
Loading...
Loading...
Loading...