Skip to main content

Key Product Details

Species Reactivity

Validated:

Human

Cited:

Human, Mouse, Rat

Applications

Validated:

Immunohistochemistry, Flow Cytometry, CyTOF-ready

Cited:

Immunohistochemistry, Immunohistochemistry-Paraffin, Flow Cytometry, Immunocytochemistry, Functional Assay

Label

Unconjugated

Antibody Source

Monoclonal Mouse IgG1 Clone # 69036

Product Specifications

Immunogen

S. frugiperda insect ovarian cell line Sf 21-derived recombinant human TRAIL R1/TNFRSF10A
Ala24-Asn239
Accession # AAC51226

Specificity

Detects recombinant human TRAIL R1/TNFRSF10A in direct ELISAs. In direct ELISAs, no cross-reactivity with recombinant human (rh) TRAIL R2, rhTRAIL R3, rhTRAIL R4, or rhDcR3 is observed.

Clonality

Monoclonal

Host

Mouse

Isotype

IgG1

Scientific Data Images for Human TRAILR1/TNFRSF10A Antibody

Detection of Human TRAILR1/TNFRSF10A by Flow Cytometry

Detection of Human TRAILR1/TNFRSF10A by Flow Cytometry

Flow cytometry studies of scFv-Fc-scTRAIL molecules and Fc-scTRAIL on Colo205 and HCT116 cells(A) Expression levels of EGFR, HER2, HER3, EpCAM, and TRAIL-receptors were investigated after treatment of the cells with medium or 250 ng/ml BZB for 16 h. (B) Serial dilutions of the molecules were analyzed. (C) 20 nM scTRAIL units were analyzed after preincubation of the cells with PBA or a 200-fold molar excess of the respective blocking antibody. Binding of Fc-scTRAIL was measured in the presence of all blocking antibodies separately and is here represented as the mean of blocking with all different antibodies. Bound molecules were detected via anti-FLAG-PE. relative MFI, relative median fluorescence intensity. Pairwise comparisons were performed by unpaired t test (two-tailed; *P < 0.05; **P < 0.01; ***P < 0.001; ns, P > 0.05). Image collected and cropped by CiteAb from the following publication (https://www.oncotarget.com/lookup/doi/10.18632/oncotarget.24379), licensed under a CC-BY license. Not internally tested by R&D Systems.

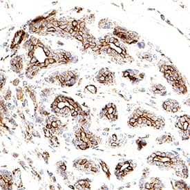
Detection of TRAILR1/TNFRSF10A in Human Breast.

TRAILR1/TNFRSF10A was detected in immersion fixed paraffin-embedded sections of human breast using Mouse Anti-Human TRAILR1/TNFRSF10A Monoclonal Antibody (Catalog # MAB347) at 15 µg/ml for 1 hour at room temperature followed by incubation with the Anti-Mouse IgG VisUCyte™ HRP Polymer Antibody (Catalog # VC001) or the HRP-conjugated Anti-Mouse IgG Secondary Antibody (Catalog # HAF007). Before incubation with the primary antibody, tissue was subjected to heat-induced epitope retrieval using VisUCyte Antigen Retrieval Reagent-Basic (Catalog # VCTS021). Tissue was stained using DAB (brown) and counterstained with hematoxylin (blue). Specific staining was localized to the membrane. View our protocol for Chromogenic IHC Staining of Paraffin-embedded Tissue Sections.

Applications for Human TRAILR1/TNFRSF10A Antibody

Application
Recommended Usage

CyTOF-ready

Ready to be labeled using established conjugation methods. No BSA or other carrier proteins that could interfere with conjugation.

Flow Cytometry

2.5 µg/106 cells
Sample: HeLa human cell line

Immunohistochemistry

1-25 µg/mL
Sample: Immersion fixed paraffin-embedded sections of human breast tissue

Reviewed Applications

Read 1 review rated 4 using MAB347 in the following applications:

Formulation, Preparation, and Storage

Purification

Protein A or G purified from hybridoma culture supernatant

Reconstitution

Reconstitute at 0.5 mg/mL in sterile PBS. For liquid material, refer to CoA for concentration.

Reconstitution Buffer Available:
Size / Price
Qty
Loading...

Formulation

Lyophilized from a 0.2 μm filtered solution in PBS with Trehalose. See Certificate of Analysis for details.
*Small pack size (-SP) is supplied either lyophilized or as a 0.2 µm filtered solution in PBS.

Shipping

Lyophilized product is shipped at ambient temperature. Liquid small pack size (-SP) is shipped with polar packs. Upon receipt, store immediately at the temperature recommended below.

Stability & Storage

Use a manual defrost freezer and avoid repeated freeze-thaw cycles.
  • 12 months from date of receipt, -20 to -70 °C as supplied.
  • 1 month, 2 to 8 °C under sterile conditions after reconstitution.
  • 6 months, -20 to -70 °C under sterile conditions after reconstitution.

Background: TRAILR1/TNFRSF10A

Human TRAIL R1, also called DR4, is a type 1, TNF R family, membrane protein which is a receptor for TRAIL (APO2 ligand). In the TNF superfamily nomenclature, TRAIL RI is referred to as TNFRSF10A. TRAIL R1 cDNA encodes a 468 amino acid precursor protein containing extracellular cysteine-rich domains, a transmembrane domain and a cytoplasmic death domain. Among the TNF receptor family proteins, TRAIL R1 is most closely related to TRAIL R2/DR5, sharing 55% amino acid sequence identity. Binding of trimeric TRAIL to TRAIL R1 induces apoptosis. The induction of apoptosis likely requires oligomerization of the receptor. The human TRAIL R1/Fc chimera neutralizes the ability of TRAIL to induce apoptosis. Besides TRAIL R1, an additional TRAIL R2/DR5, which tranduces apoptosis signal, and two TRAIL decoy receptors, which antagonize TRAIL-induced apoptosis, have been reported.

References

  1. Pan, G. et al. (1997) Science 276:111.
  2. Golstein, P. (1997) Curr. Biol. 7:R750.

Long Name

TRAIL Receptor 1

Alternate Names

CD261, DR4, TNFRSF10A, TRAIL R1

Entrez Gene IDs

8797 (Human)

Gene Symbol

TNFRSF10A

UniProt

Additional TRAILR1/TNFRSF10A Products

Product Documents for Human TRAILR1/TNFRSF10A Antibody

Certificate of Analysis

To download a Certificate of Analysis, please enter a lot number in the search box below.

Note: Certificate of Analysis not available for kit components.

Product Specific Notices for Human TRAILR1/TNFRSF10A Antibody

For research use only

Loading...
Loading...
Loading...
Loading...
Loading...