Skip to main content

Human TMEM119 Antibody

R&D Systems, part of Bio-Techne | Catalog # MAB10313

R&D Systems, part of Bio-Techne
Catalog #
Availability
Size / Price
Qty
Loading...
MAB10313-100
MAB10313-SP

Key Product Details

Species Reactivity

Validated:

Human

Cited:

Human

Applications

Validated:

Immunohistochemistry, Flow Cytometry, CyTOF-ready

Cited:

Immunohistochemistry

Label

Unconjugated

Antibody Source

Monoclonal Mouse IgG1 Clone # 1023426

Product Specifications

Immunogen

Chinese Hamster Ovary cell line, CHO derived human TREM119
Arg26-Met96
Accession # Q4V9L6.1

Specificity

Detects human TREM119 in direct ELISAs.

Clonality

Monoclonal

Host

Mouse

Isotype

IgG1

Scientific Data Images for Human TMEM119 Antibody

Detection of TMEM119 antibody in HEK293 Human Cell Line transfected with Human TMEM119 and eGFP antibody by Flow Cytometry

Detection of TMEM119 in HEK293 Human Cell Line transfected with Human TMEM119 and eGFP by Flow Cytometry

HEK293 human embryonic kidney cell line transfected with either (A) human TMEM119 or (B) irrelevant protein, and eGFP, was stained with Mouse anti-human TMEM119 monoclonal antibody (Catalog # MAB10313) followed by Allophycocyanin-conjugated anti-Mouse IgG Secondary Antibody (F0101B). Quadrant markers were set based on control antibody staining (MAB002, data not shown). Staining was performed using our Staining Membrane-Associated Proteins protocol.
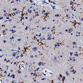
TMEM119 antibody in Human Brain Cortex Tissue by Immunohistochemistry (IHC-P).

TMEM119 in Human Brain Cortex Tissue.

TMEM119 was detected in immersion fixed paraffin-embedded sections of human brain cortex tissue using Mouse Anti-Human TMEM119 Monoclonal Antibody (Catalog # MAB10313) at 5 µg/mL for 1 hour at room temperature followed by incubation with the Anti-Mouse IgG VisUCyte™ HRP Polymer Antibody (VC001). Before incubation with the primary antibody, tissue was subjected to heat-induced epitope retrieval using Antigen Retrieval Reagent-Basic (CTS013). Tissue was stained using DAB (brown) and counterstained with hematoxylin (blue). Specific staining was localized to gilal cells. Staining was performed using our IHC Staining with VisUCyte HRP Polymer Detection Reagents protocol.

Applications for Human TMEM119 Antibody

Application
Recommended Usage

CyTOF-ready

Ready to be labeled using established conjugation methods. No BSA or other carrier proteins that could interfere with conjugation.

Flow Cytometry

0.25 µg/106 cells
Sample: HEK293 Human Cell Line transfected with Human TMEM119 and eGFP

Immunohistochemistry

5-25 µg/mL
Sample: Immersion fixed paraffin-embedded sections of human brain cortex tissue

Reviewed Applications

Read 1 review rated 5 using MAB10313 in the following applications:

Formulation, Preparation, and Storage

Purification

Protein A or G purified from cell culture supernatant

Reconstitution

Reconstitute at 0.5 mg/mL in sterile PBS. For liquid material, refer to CoA for concentration.

Reconstitution Buffer Available:
Size / Price
Qty
Loading...

Formulation

Lyophilized from a 0.2 μm filtered solution in PBS with Trehalose. See Certificate of Analysis for details.
*Small pack size (-SP) is supplied either lyophilized or as a 0.2 µm filtered solution in PBS.

Shipping

Lyophilized product is shipped at ambient temperature. Liquid small pack size (-SP) is shipped with polar packs. Upon receipt, store immediately at the temperature recommended below.

Stability & Storage

Use a manual defrost freezer and avoid repeated freeze-thaw cycles.
  • 12 months from date of receipt, -20 to -70 °C as supplied.
  • 1 month, 2 to 8 °C under sterile conditions after reconstitution.
  • 6 months, -20 to -70 °C under sterile conditions after reconstitution.

Background: TMEM119

TMEM119 (Transmembrane Protein 119, also known as Osteoblast Induction Factor or OBIF), is an approximately 38-kDa type 1 transmembrane protein that is predominantly expressed in osteoblasts and is upregulated during osteoblastic differentiation (1, 2). TMEM119 is also expressed in a cell line of microglia, and TMEM119 immunoreactivity is observed in a specific subset of microglia in brains of neurodegenerative diseases, such as Alzheimers disease (3). Mature human TMEM119 consists of a 71 amino acid (aa) extracellular domain (ECD), a 21 aa transmembrane segment, and a 166 aa cytoplasmic domain. Within the ECD, human TMEM119 shares 78% and 75% aa sequence identity with mouse and rat TMEM119, respectively. TMEM-119 is involved in the osteoblast differentiation and bone development by acting as a ligand and has been reported to contribute to the proliferation, migration, and invasion of osteosarcoma cells, as well as functioning as an oncogene in osteosarcoma (3, 4).

References

  1. Jiang, Z,H. et al. (2017) Expt & Mol Med. 49:e329.
  2. Mizuhashi, K. et al. (2012) Dev. Growth Differ. 54:474.
  3. Satoh, J. et al. (2016) Neuropathol. 36:39.
  4. Kanamoto, T. et al. (2009) BMC Develop. Biol. 9:70.

Long Name

Transmembrane Protein 119

Alternate Names

OBIF

Entrez Gene IDs

338773 (Human); 231633 (Mouse)

Gene Symbol

TMEM119

UniProt

Additional TMEM119 Products

Product Documents for Human TMEM119 Antibody

Certificate of Analysis

To download a Certificate of Analysis, please enter a lot number in the search box below.

Note: Certificate of Analysis not available for kit components.

Product Specific Notices for Human TMEM119 Antibody

For research use only

Loading...
Loading...
Loading...
Loading...
Loading...