Skip to main content

Key Product Details

Validated by

Knockout/Knockdown, Biological Validation

Species Reactivity

Validated:

Human

Cited:

Human, Mouse, Hamster, Transgenic Mouse

Applications

Validated:

Immunohistochemistry, Western Blot, Immunocytochemistry, Simple Western

Cited:

Immunohistochemistry, Immunohistochemistry-Paraffin, Immunohistochemistry-Frozen, Western Blot, Flow Cytometry, Immunocytochemistry

Label

Unconjugated

Antibody Source

Polyclonal Goat IgG

Product Specifications

Immunogen

Mouse myeloma cell line NS0-derived recombinant human ST6 Gal Sialyltransferase 1/ST6GAL1
Lys27-Cys406
Accession # P15907

Specificity

Detects human ST6 Gal Sialyltransferase 1/ST6GAL1 in direct ELISAs and Western blots.

Clonality

Polyclonal

Host

Goat

Isotype

IgG

Scientific Data Images for Human ST6 Gal Sialyltransferase 1/ST6GAL1 Antibody

Detection of Human ST6GAL1 antibody by Western Blot.

Detection of Human ST6 Gal Sialyltransferase 1/ST6GAL1 by Western Blot.

Western blot shows lysates of Daudi human Burkitt's lymphoma cell line. PVDF Membrane was probed with 1 µg/mL of Goat Anti-Human ST6 Gal Sialyltransferase 1/ST6GAL1 Antigen Affinity-purified Polyclonal Antibody (Catalog # AF5924) followed by HRP-conjugated Anti-Goat IgG Secondary Antibody (HAF019). A specific band was detected for ST6GAL1 at approximately 56 kDa (as indicated). This experiment was conducted under reducing conditions and using Immunoblot Buffer Group 8.

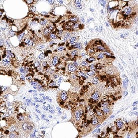
ST6 Gal Sialyltransferase 1/ST6GAL1 in Human Liver.

ST6 Gal Sialyltransferase 1/ST6GAL1 was detected in immersion fixed paraffin-embedded sections of human liver using Goat Anti-Human ST6 Gal Sialyltransferase 1/ST6GAL1 Antigen Affinity-purified Polyclonal Antibody (Catalog # AF5924) at 0.3 µg/mL for 1 hour at room temperature followed by incubation with the Anti-Goat IgG VisUCyte™ HRP Polymer Antibody (VC004). Before incubation with the primary antibody, tissue was subjected to heat-induced epitope retrieval using Antigen Retrieval Reagent-Basic (CTS013). Tissue was stained using DAB (brown) and counterstained with hematoxylin (blue). Specific staining was localized to cytoplasm in hepatocytes. Staining was performed using our protocol for IHC Staining with VisUCyte HRP Polymer Detection Reagents.

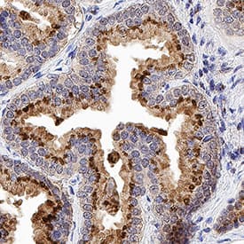
ST6 Gal Sialyltransferase 1/ST6GAL1 in Human Prostate.

ST6 Gal Sialyltransferase 1/ST6GAL1 was detected in immersion fixed paraffin-embedded sections of human prostate using Goat Anti-Human ST6 Gal Sialyltransferase 1/ST6GAL1 Antigen Affinity-purified Polyclonal Antibody (Catalog # AF5924) at 1 µg/mL for 1 hour at room temperature followed by incubation with the Anti-Goat IgG VisUCyte™ HRP Polymer Antibody (VC004). Before incubation with the primary antibody, tissue was subjected to heat-induced epitope retrieval using Antigen Retrieval Reagent-Basic (CTS013). Tissue was stained using DAB (brown) and counterstained with hematoxylin (blue). Specific staining was localized to cytoplasm in glandular epithelial cells. Staining was performed using our protocol for IHC Staining with VisUCyte HRP Polymer Detection Reagents.

Applications for Human ST6 Gal Sialyltransferase 1/ST6GAL1 Antibody

Application
Recommended Usage

Immunocytochemistry

5-15 µg/mL
Sample: Immersion fixed U266 human myeloma cell line (Positive) & RT-4 human urinary bladder transitional cell papilloma cell line (Negative)

Immunohistochemistry

0.3-15 µg/mL
Sample: Immersion fixed paraffin-embedded sections of human liver and immersion fixed paraffin-embedded sections of human prostate

Simple Western

10 µg/mL
Sample: Daudi human Burkitt's lymphoma cell line

Western Blot

1 µg/mL
Sample: Daudi human Burkitt's lymphoma cell line

Reviewed Applications

Read 1 review rated 5 using AF5924 in the following applications:

Formulation, Preparation, and Storage

Purification

Antigen Affinity-purified

Reconstitution

Reconstitute at 0.2 mg/mL in sterile PBS. For liquid material, refer to CoA for concentration.

Reconstitution Buffer Available:
Size / Price
Qty
Loading...

Formulation

Lyophilized from a 0.2 μm filtered solution in PBS with Trehalose. *Small pack size (SP) is supplied either lyophilized or as a 0.2 µm filtered solution in PBS.

Shipping

Lyophilized product is shipped at ambient temperature. Liquid small pack size (-SP) is shipped with polar packs. Upon receipt, store immediately at the temperature recommended below.

Stability & Storage

Use a manual defrost freezer and avoid repeated freeze-thaw cycles.
  • 12 months from date of receipt, -20 to -70 °C as supplied.
  • 1 month, 2 to 8 °C under sterile conditions after reconstitution.
  • 6 months, -20 to -70 °C under sterile conditions after reconstitution.

Background: ST6 Gal Sialyltransferase 1/ST6GAL1

Sialic acid molecules attached to glycoproteins or glycosphingolipids play important roles in various biological processes such as immune recognition, pathogen infection, and cell adhesion (1). Sialyltransferases are key enzymes that regulate the cellular levels of sialic acid-containing molecules. Beta-galactosamide alpha‑2,6‑sialyltransferase 1 encoded by the ST6GAL1 gene is a type-II membrane protein localized in the trans-Golgi network and catalyzes 2,6-sialylation of Gal beta1,4‑GlcNAc structures on N-glycans (2). The enzyme is involved in the generation of the cell-surface carbohydrate determinants and differentiation antigens HB‑6, CD75, and CD76 (3). ST6GAL1 is highly expressed in the liver and also expressed in most other tissues to some extent (4). ST6GAL1 deficiency causes abnormalities in B-cell immunoreactivity (5). The expression and activity of ST6GAL1 are associated with tumor metastasis in breast (6) and colon (7) cancers. The majority of ST6GAL1 in the liver is cleaved and secreted into the serum (8) and may be used as a biomarker for hepatitis diseases (9).

References

  1. Varki, A. et al. (1999) Essentials of Glycobiology, Cold Spring Harbor Laboratory Press, pp195.

  2. Weinstein, J. et al. (1987) J. Biol. Chem. 262:17735.

  3. Bast, B.J. et al. (1992) J. Cell Biol. 116:423.

  4. Kitagawa, H. and J.C. Paulson (1994) J. Biol. Chem. 269:17872.

  5. Hennet, T. et al. (1998) Proc. Natl. Acad. Sci. USA 95:4504.

  6. Recchi, M.A. et al. (1998) Cancer Res. 58:4066.

  7. Dall’Olio, F. et al. (2001) Eur. J. Biochem. 268:5876.

  8. Weinstein, J. et al. (1987) J. Biol. Chem. 262:17735.

  9. Kitazume, S. et al. (2009) Glycobiology 19:479.

Long Name

ST6 beta-Galactoside alpha-2,6-Sialyltransferase 1

Alternate Names

Alpha 2,6-ST, B-cell antigen CD75, CD75, SIAT1, ST6N

Entrez Gene IDs

6480 (Human); 20440 (Mouse); 25197 (Rat)

Gene Symbol

ST6GAL1

UniProt

Additional ST6 Gal Sialyltransferase 1/ST6GAL1 Products

Product Documents for Human ST6 Gal Sialyltransferase 1/ST6GAL1 Antibody

Certificate of Analysis

To download a Certificate of Analysis, please enter a lot number in the search box below.

Note: Certificate of Analysis not available for kit components.

Product Specific Notices for Human ST6 Gal Sialyltransferase 1/ST6GAL1 Antibody

For research use only

Loading...
Loading...
Loading...
Loading...