Skip to main content

Key Product Details

Validated by

Biological Validation

Species Reactivity

Validated:

Human, Rat

Cited:

Human, Rat

Applications

Validated:

Immunohistochemistry, Western Blot, ELISA Capture (Matched Antibody Pair), Neutralization, Immunocytochemistry

Cited:

Immunohistochemistry, Immunohistochemistry-Paraffin, Neutralization, Immunocytochemistry, ELISA Development

Label

Unconjugated

Antibody Source

Polyclonal Goat IgG

Product Specifications

Immunogen

E. coli-derived recombinant rat IL-2
Ala21-Gln155
Accession # P17108

Specificity

Detects rat IL-2 in ELISAs. Detects human and rat IL-2 in Western blots. In sandwich immunoassays, less than 0.2% cross-reactivity with recombinant mouse IL‑2 is observed.

Clonality

Polyclonal

Host

Goat

Isotype

IgG

Endotoxin Level

<0.10 EU per 1 μg of the antibody by the LAL method.

Scientific Data Images for Human/Rat IL-2 Antibody

Detection of Human IL-2 antibody by Western Blot.

Detection of Human IL‑2 by Western Blot.

Western blot shows lysates of monensin treated human peripheral blood mononuclear cells (PBMCs) with no additional treatment (-) or additionally treated (+) with 0.5 μg/mL calcium ionomycin (Iono) and 50 ng/mL PMA overnight. PVDF membrane was probed with 2 µg/mL of Goat Anti-Human/Rat IL-2 Antigen Affinity-purified Polyclonal Antibody (Catalog # AF-502-NA) followed by HRP-conjugated Anti-Goat IgG Secondary Antibody (HAF017). A specific band was detected for IL-2 at approximately 14 kDa (as indicated). This experiment was conducted under reducing conditions and using Immunoblot Buffer Group 1.
IL-2 antibody in Rat Splenocytes by Immunocytochemistry (ICC).

IL‑2 in Rat Splenocytes.

IL-2 was detected in immersion fixed rat splenocytes stimulated with calcium ionomycin and PMA using Goat Anti-Human/Rat IL-2 Antigen Affinity-purified Polyclonal Antibody (Catalog # AF-502-NA) at 5 µg/mL for 3 hours at room temperature. Cells were stained using the NorthernLights™ 557-conjugated Anti-Goat IgG Secondary Antibody (red; NL001) and counterstained with DAPI (blue). Specific staining was localized to cytoplasm. View our protocol for Fluorescent ICC Staining of Non-adherent Cells.
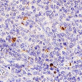
IL-2 antibody in Rat Spleen by Immunohistochemistry (IHC-Fr).

IL‑2 in Rat Spleen.

IL-2 was detected in immersion fixed frozen sections of rat spleen using Goat Anti-Human/Rat IL-2 Antigen Affinity-purified Polyclonal Antibody (Catalog # AF-502-NA) at 5 µg/mL overnight at 4 °C. Tissue was stained using the Anti-Goat HRP-DAB Cell & Tissue Staining Kit (brown; CTS008) and counterstained with hematoxylin (blue). Specific staining was localized to cytoplasm in lymphocytes. View our protocol for Chromogenic IHC Staining of Frozen Tissue Sections.

Applications for Human/Rat IL-2 Antibody

Application
Recommended Usage

Immunocytochemistry

5-15 µg/mL
Sample: Immersion fixed rat splenocytes stimulated with calcium ionomycin and PMA

Immunohistochemistry

3-15 µg/mL
Sample: Immersion fixed frozen sections of Rat Spleen and Human Tonsil

Western Blot

2 µg/mL
Sample: Human peripheral blood mononuclear cells (PBMCs) treated with monensin, 0.5ug/mL calcium ionomycin and 50ng/mL PMA overnight

Neutralization

Measured by its ability to neutralize IL‑2-induced proliferation in the CTLL‑2 mouse cytotoxic T cell line. Gearing, A.J.H. and C.B. Bird (1987) in Lymphokines and Interferons, A Practical Approach. Clemens, M.J. et al. (eds): IRL Press. 276. The Neutralization Dose (ND50) is typically 0.15-0.75 µg/mL in the presence of 2 ng/mL Recombinant Rat IL‑2.

Rat IL-2 Sandwich Immunoassay

ELISA Capture (Matched Antibody Pair)
Recommended Concentration: 0.2-0.8 µg/mL
Use in combination with these reagents:
  • Detection Reagent: Rat IL-2 Biotinylated Antibody (Catalog # BAF502)
  • Standard: Recombinant Rat IL-2 Protein (Catalog # 502-RL)
Please Note: Optimal dilutions of this antibody should be experimentally determined.

Reviewed Applications

Read 2 reviews rated 4.5 using AF-502-NA in the following applications:

Formulation, Preparation, and Storage

Purification

Antigen Affinity-purified

Reconstitution

Reconstitute at 0.2 mg/mL in sterile PBS. For liquid material, refer to CoA for concentration.

Reconstitution Buffer Available:
Size / Price
Qty
Loading...

Formulation

Lyophilized from a 0.2 μm filtered solution in PBS with Trehalose. *Small pack size (SP) is supplied either lyophilized or as a 0.2 µm filtered solution in PBS.

Shipping

Lyophilized product is shipped at ambient temperature. Liquid small pack size (-SP) is shipped with polar packs. Upon receipt, store immediately at the temperature recommended below.

Stability & Storage

Use a manual defrost freezer and avoid repeated freeze-thaw cycles.
  • 12 months from date of receipt, -20 to -70 °C as supplied.
  • 1 month, 2 to 8 °C under sterile conditions after reconstitution.
  • 6 months, -20 to -70 °C under sterile conditions after reconstitution.

Background: IL-2

Interleukin-2 (IL-2) is a O-glycosylated four alpha-helix bundle cytokine that has potent stimulatory activity for antigen-activated T cells. It is expressed by CD4+ and CD8+ T cells, gamma delta T cells, B cells, dendritic cells, and eosinophils (1-3). Mature rat IL-2 shares 66% and 73% amino acid sequence identity with human and mouse IL-2, respectively. The receptor for IL-2 consists of three subunits that are present on the cell surface in varying preformed complexes (4-6). The 55 kDa IL-2 R alpha is specific for IL-2 and binds with low affinity. The 75 kDa IL-2 R beta, which is also a component of the IL-15 receptor, binds IL-2 with intermediate affinity. The 64 kDa common gamma chain  gammac/IL-2 R gamma, which is shared with the receptors for IL-4, -7, -9, -15, and -21, does not independently interact with IL-2. Upon ligand binding, signal transduction is performed by both IL-2 R beta and gammac. IL-2 is best known for its autocrine and paracrine activity on T cells. It drives resting T cells to proliferate and induces IL-2 and IL-2 R alpha synthesis (1, 2). It contributes to T cell homeostasis by promoting the Fas-induced death of naïve CD4+ T cells but not activated CD4+ memory lymphocytes (7). IL-2 plays a central role in the expansion and maintenance of regulatory T cells, although it inhibits the development of Th17 polarized cells (8-10). Thus, IL-2 may be a key cytokine in the natural suppression of autoimmunity (11, 12).

References

  1. Ma, A. et al. (2006) Annu. Rev. Immunol. 24:657.
  2. Gaffen, S.L. and K.D. Liu (2004) Cytokine 28:109.
  3. McKnight, A. et al. (1989) Immunogenetics 30:145.
  4. Liparoto, S.F. et al. (2002) Biochemistry 41:2543.
  5. Wang, X. et al. (2005) Science 310:1159.
  6. Bodnar, A. et al. (2008) Immunol. Lett. 116:117.
  7. Jaleco, S. et al. (2003) J. Immunol. 171:61.
  8. Malek, T.R. (2003) J. Leukoc. Biol. 74:961.
  9. Laurence, A. et al. (2007) Immunity 26:371.
  10. Kryczek, I. et al. (2007) J. Immunol. 178:6730.
  11. Afzali, B. et al. (2007) Clin. Exp. Immunol. 148:32.
  12. Fehervari, Z. et al. (2006) Trends Immunol. 27:109.

Long Name

Interleukin 2

Alternate Names

Aldesleukin, IL2, Proleukin, TCGF

Entrez Gene IDs

3558 (Human); 16183 (Mouse); 116562 (Rat); 396868 (Porcine); 280822 (Bovine); 403989 (Canine); 100034204 (Equine); 751114 (Feline); 100302458 (Rabbit)

Gene Symbol

IL2

UniProt

Additional IL-2 Products

Product Documents for Human/Rat IL-2 Antibody

Certificate of Analysis

To download a Certificate of Analysis, please enter a lot number in the search box below.

Note: Certificate of Analysis not available for kit components.

Product Specific Notices for Human/Rat IL-2 Antibody

For research use only

Loading...
Loading...
Loading...
Loading...