Skip to main content

Human/Mouse/Rat Calreticulin Antibody

R&D Systems, part of Bio-Techne | Catalog # MAB38981

R&D Systems, part of Bio-Techne

Key Product Details

Validated by

Knockout/Knockdown

Species Reactivity

Validated:

Human, Mouse, Rat

Cited:

Human, Mouse, Transgenic Mouse

Applications

Validated:

Knockout Validated, Immunohistochemistry, Western Blot, Intracellular Staining by Flow Cytometry

Cited:

Immunohistochemistry, Flow Cytometry, Immunocytochemistry

Label

Unconjugated

Antibody Source

Monoclonal Mouse IgG2B Clone # 681233

Product Specifications

Immunogen

E. coli-derived recombinant human Calreticulin
Glu18-Leu417
Accession # P27797

Specificity

Detects human Calreticulin in ELISA. Detects human, mouse and rat Calreticulin in Western blots.

Clonality

Monoclonal

Host

Mouse

Isotype

IgG2B

Scientific Data Images for Human/Mouse/Rat Calreticulin Antibody

Detection of Human, Mouse, and Rat Calreticulin antibody by Western Blot.

Detection of Human, Mouse, and Rat Calreticulin by Western Blot.

Western blot shows lysates of HeLa human cervical epithelial carcinoma cell line, K562 human chronic myelogenous leukemia cell line, C2C12 mouse myoblast cell line, and NRK rat normal kidney cell line. PVDF membrane was probed with 0.5 µg/mL of Mouse Anti-Human Calreticulin Monoclonal Antibody (Catalog # MAB38981) followed by HRP-conjugated Anti-Mouse IgG Secondary Antibody (Catalog # HAF018). A specific band was detected for Calreticulin at approximately 55 kDa (as indicated). This experiment was conducted under reducing conditions and using Immunoblot Buffer Group 1.
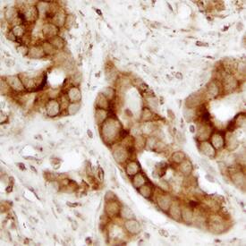
Calreticulin antibody in Human Prostate by Immunohistochemistry (IHC-P).

Calreticulin in Human Prostate.

Calreticulin was detected in formalin fixed paraffin-embedded sections of human prostate using Mouse Anti-Human Calreticulin Monoclonal Antibody (Catalog # MAB38981) at 15 µg/mL overnight at 4 °C. Before incubation with the primary antibody, tissue was subjected to heat-induced epitope retrieval using Antigen Retrieval Reagent-Basic (Catalog # CTS013). Tissue was stained using the Anti-Mouse HRP-DAB Cell & Tissue Staining Kit (brown; Catalog # CTS002) and counterstained with hematoxylin (blue). Specific staining was localized to plasma membrane and cytoplasm. View our protocol for Chromogenic IHC Staining of Paraffin-embedded Tissue Sections.
Detection of Calreticulin antibody in HeLa Human Cell Line antibody by Flow Cytometry.

Detection of Calreticulin in HeLa Human Cell Line by Flow Cytometry.

HeLa human cervical epithelial carcinoma cell line was stained with Mouse Anti-Human Calreticulin Monoclonal Antibody (Catalog # MAB38981, filled histogram) or isotype control antibody (Catalog # MAB0041, open histogram), followed by Allophycocyanin-conjugated Anti-Mouse IgG Secondary Antibody (Catalog # F0101B). To facilitate intracellular staining, cells were fixed with Flow Cytometry Fixation Buffer (Catalog # FC004) and permeabilized with Flow Cytometry Permeabilization/Wash Buffer I (Catalog # FC005). View our protocol for Staining Intracellular Molecules.

Applications for Human/Mouse/Rat Calreticulin Antibody

Application
Recommended Usage

Immunohistochemistry

8-25 µg/mL
Sample: Formalin fixed paraffin-embedded sections of human prostate subjected to heat-induced epitope retrieval using Antigen Retrieval Reagent-Basic (Catalog # CTS013)

Intracellular Staining by Flow Cytometry

0.25 µg/106 cells
Sample: HeLa human cervical epithelial carcinoma cell line fixed with Flow Cytometry Fixation Buffer (Catalog # FC004) and permeabilized with Flow Cytometry Permeabilization/Wash Buffer I (Catalog # FC005)

Knockout Validated

Calreticulin is specifically detected in HeLa human cervical epithelial carcinoma parental cell line but is not detectable in Calreticulin knockout HeLa cell line.

Western Blot

0.5 µg/mL
Sample: HeLa human cervical epithelial carcinoma cell line, K562 human chronic myelogenous leukemia cell line, C2C12 mouse myoblast cell line, and NRK rat normal kidney cell line

Formulation, Preparation, and Storage

Purification

Protein A or G purified from hybridoma culture supernatant

Reconstitution

Reconstitute at 0.5 mg/mL in sterile PBS. For liquid material, refer to CoA for concentration.

Reconstitution Buffer Available:
Size / Price
Qty
Loading...

Formulation

Lyophilized from a 0.2 μm filtered solution in PBS with Trehalose. *Small pack size (SP) is supplied either lyophilized or as a 0.2 µm filtered solution in PBS.

Shipping

Lyophilized product is shipped at ambient temperature. Liquid small pack size (-SP) is shipped with polar packs. Upon receipt, store immediately at the temperature recommended below.

Stability & Storage

Use a manual defrost freezer and avoid repeated freeze-thaw cycles.
  • 12 months from date of receipt, -20 to -70 °C as supplied.
  • 1 month, 2 to 8 °C under sterile conditions after reconstitution.
  • 6 months, -20 to -70 °C under sterile conditions after reconstitution.

Background: Calreticulin

Human Calreticulin is a 55‑60 kDa, 400 amino acid, variably glycosylated intra- and extracellular Ca++-binding lectin that is ubiquitously expressed. It consists of three domains: a 180 aa N-terminal globular region, a 111 aa P-, or proline rich domain, and a 109 aa C-terminus. The 180 aa N-terminus (aa 18‑197) is termed Vasostatin. It is unclear if it is ever generated naturally via proteolytic processing. Vasostatin domain has many functions. It binds to RNA (aa 18‑27), has autocatalytic phosphorylase activity (aa 77‑197), binds to a KxFFKR motif on steroid hormone receptors, and serves as a lectin-type chaperone for ER-localized molecules. It also shows antiangiogenic activity, presumably by binding to laminin carbohydrates and blocking endothelial cell adhesion and proliferation. Human Calreticulin is 94% aa identical to mouse and rat Calreticulin.

Alternate Names

Autoantigen Ro, CALR, Calregulin, cC1qR, CRT, SSA, Vasostatin

Entrez Gene IDs

811 (Human); 12317 (Mouse); 64202 (Rat)

Gene Symbol

CALR

UniProt

Additional Calreticulin Products

Product Documents for Human/Mouse/Rat Calreticulin Antibody

Certificate of Analysis

To download a Certificate of Analysis, please enter a lot number in the search box below.

Note: Certificate of Analysis not available for kit components.

Product Specific Notices for Human/Mouse/Rat Calreticulin Antibody

For research use only

Loading...
Loading...
Loading...
Loading...
Loading...