Skip to main content

Human IL-18 R alpha/IL-1 R5 Antibody

R&D Systems, part of Bio-Techne | Catalog # MAB840

R&D Systems, part of Bio-Techne

Key Product Details

Validated by

Biological Validation

Species Reactivity

Validated:

Human

Cited:

Human, Rat

Applications

Validated:

Immunohistochemistry, Neutralization, Flow Cytometry, Immunocytochemistry, CyTOF-ready

Cited:

Immunohistochemistry, Immunohistochemistry-Paraffin, Immunohistochemistry-Frozen, Western Blot, Neutralization, Flow Cytometry

Label

Unconjugated

Antibody Source

Monoclonal Mouse IgG1 Clone # 70625

Product Specifications

Immunogen

Mouse myeloma cell line NS0-derived recombinant human IL‑18 R alpha/IL-1 R5
Glu20-Arg329
Accession # Q13478

Specificity

Detects Recombinant Human IL-18 R alpha/IL-1 R5 in direct ELISAs. In direct ELISAs, no cross-reactivity with recombinant human (rh) IL-1 RI, rhIL-1 RII, rhIL-1 R3, rhIL-1 R4, rhIL-1 R6, rhIL-1 R7, rhIL-1 R8, rhIL-1 R9, rhSIGIRR or recombinant mouse IL-18 R alpha is observed.

Clonality

Monoclonal

Host

Mouse

Isotype

IgG1

Endotoxin Level

<0.10 EU per 1 μg of the antibody by the LAL method.

Scientific Data Images for Human IL-18 R alpha/IL-1 R5 Antibody

IFN‑ gamma Secretion Induced by IL‑18/IL‑1F4 and Neutrali-zation by IL‑18 R alpha/IL‑1 R5 Antibody.

IFN‑ gamma Secretion Induced by IL‑18/IL‑1F4 and Neutralization by IL‑18 R alpha/IL‑1 R5 Antibody.

Human IL‑18 R alpha/IL‑1 R5 Antibody (Catalog # MAB840) neutralizes IL‑18/IL‑1F4 (9124-IL) induced IFN‑ gamma secretion in KG-1 human myeloid leukemia cells in the presence of Recombinant Human TNF-alpha (210-TA) as measured by the Human IFN-gamma Quantikine ELISA Kit (DIF50C). The Neutralization Dose (ND50) is typically < 0.500 µg/mL.
IL-18 Ra/IL-1 R5 antibody in Human PBMCs by Immunocytochemistry (ICC).

IL-18 R alpha/IL-1 R5 in Human PBMCs.

IL-18 Ra/IL-1 R5 was detected in immersion fixed human peripheral blood mononuclear cells (PBMCs) using 10 µg/mL Mouse Anti-Human IL-18 Ra/IL-1 R5 Mono-clonal Antibody (Catalog # MAB840) for 3 hours at room temperature. Cells were stained with the NorthernLights™ 557-conjugated Anti-Mouse IgG Secondary Antibody (red; Catalog # NL007) and counter-stained with DAPI (blue). View our protocol for Fluorescent ICC Staining of Non-adherent Cells.

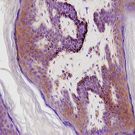
Detection of IL-18 R alpha/IL-1 R5 in Human Skin.

IL-18 R alpha/IL-1 R5 was detected in immersion fixed paraffin-embedded sections of Human Skin using Mouse Anti-Human IL-18 R alpha/IL-1 R5 Monoclonal Antibody (Catalog # MAB840) at 15 µg/mL for 1 hour at room temperature followed by incubation with the Anti-Mouse IgG VisUCyte™ HRP Polymer Antibody (Catalog # VC001). Before incubation with the primary antibody, tissue was subjected to heat-induced epitope retrieval using VisUCyte Antigen Retrieval Reagent-Basic (Catalog # VCTS021). Tissue was stained using DAB (brown) and counterstained with hematoxylin (blue). Specific staining was localized to cytoplasm and cell surface of keratinocytes. View our protocol for IHC Staining with VisUCyte HRP Polymer Detection Reagents.

Applications for Human IL-18 R alpha/IL-1 R5 Antibody

Application
Recommended Usage

CyTOF-ready

Ready to be labeled using established conjugation methods. No BSA or other carrier proteins that could interfere with conjugation.

Flow Cytometry

2.5 µg/106 cells
Sample: Human peripheral blood mononuclear cells treated with PHA and Recombinant Human IL-2 (Catalog # 202-IL)

Immunocytochemistry

8-25 µg/mL
Sample: Immersion fixed human peripheral blood mononuclear cells (PBMCs)

Immunohistochemistry

8-25 µg/mL
Sample: Immersion fixed paraffin-embedded sections of human skin

Neutralization

Measured by its ability to neutralize IL‑18/IL‑1F4 (Catalog # 9124-IL) induced IFN‑ gamma secretion in KG-1 human myeloid leukemia cells in the presence of Recombinant Human TNF-alpha (Catalog # 210-TA). The Neutralization Dose (ND50) is typically < 0.500 µg/mL.

Formulation, Preparation, and Storage

Purification

Protein A or G purified from hybridoma culture supernatant

Reconstitution

Reconstitute at 0.5 mg/mL in sterile PBS. For liquid material, refer to CoA for concentration.

Reconstitution Buffer Available:
Size / Price
Qty
Loading...

Formulation

Lyophilized from a 0.2 μm filtered solution in PBS with Trehalose. See Certificate of Analysis for details.
*Small pack size (-SP) is supplied either lyophilized or as a 0.2 µm filtered solution in PBS.

Shipping

Lyophilized product is shipped at ambient temperature. Liquid small pack size (-SP) is shipped with polar packs. Upon receipt, store immediately at the temperature recommended below.

Stability & Storage

Use a manual defrost freezer and avoid repeated freeze-thaw cycles.
  • 12 months from date of receipt, -20 to -70 °C as supplied.
  • 1 month, 2 to 8 °C under sterile conditions after reconstitution.
  • 6 months, -20 to -70 °C under sterile conditions after reconstitution.

Background: IL-18 R alpha/IL-1 R5

Interleukin 18 (IL-18) is a member of the IL-1 family of cytokines and shares numerous immunoregulatory functions with IL-12. The functional IL-18 receptor complex is composed of two subunits designated IL-18 R alpha (also termed IL-1 R5 and IL-1 Rrp) and IL-18 R beta (also termed IL-1 R7 and AcPL). Both IL-18 R alpha and IL-18 R beta belong to the IL-1 receptor superfamily. Although IL-18 R by itself binds IL-18 with low affinity and IL-18 R beta does not bind IL-18 in vitro, co-expression of IL‑18 R alpha and IL‑18 R beta is required for high affinity binding and IL-18 responsiveness. Human IL-18 R cDNA encodes a 541 amino acid (aa) precursor type I membrane protein with a hydrophobic signal, an extracellular domain comprised of three immunoglobulin-like domains, a transmembrane domain and a cytoplasmic region of approximately 200 aa. Human and mouse IL-18 R share 65% amino acid sequence homology. IL-18 R is widely expressed in numerous tissues including spleen, thymus, leukocyte, liver, lung, heart, small and large intestine, prostate and placenta.

References

  1. Parnet, P. et al. (1996) J. Biol. Chem. 271:3967.
  2. Torigoe, K. et al. (1997) J. Biol. Chem. 272:25737.
  3. Born, T.L. et al. (1998) J. Biol. Chem. 273:29445.

Long Name

Interleukin 18 Receptor alpha

Alternate Names

CD218a, IL-1 R5, IL-1 Rrp, IL-18 R1, IL-18Ra, IL18R alpha, IL18R1

Entrez Gene IDs

8809 (Human); 16182 (Mouse)

Gene Symbol

IL18R1

UniProt

Additional IL-18 R alpha/IL-1 R5 Products

Product Documents for Human IL-18 R alpha/IL-1 R5 Antibody

Certificate of Analysis

To download a Certificate of Analysis, please enter a lot number in the search box below.

Note: Certificate of Analysis not available for kit components.

Product Specific Notices for Human IL-18 R alpha/IL-1 R5 Antibody

For research use only

Loading...
Loading...
Loading...
Loading...
Loading...