Skip to main content

Human FGFR3 (IIIc) Antibody

R&D Systems, part of Bio-Techne | Catalog # MAB7662

Clone 136312 was used by HLDA to establish CD designation
R&D Systems, part of Bio-Techne

Key Product Details

Species Reactivity

Validated:

Human

Cited:

Human, Mouse

Applications

Validated:

Immunohistochemistry, Western Blot, Flow Cytometry, Immunocytochemistry

Cited:

Immunohistochemistry, Western Blot, Immunocytochemistry, Immunoprecipitation, Bioassay, ELISA Capture

Label

Unconjugated

Antibody Source

Monoclonal Mouse IgG1 Clone # 136312

Product Specifications

Immunogen

Pool of NS0-derived recombinant human FGF R3 alpha (IIIb) and Sf21-derived FGF R3 alpha (IIIc)

Specificity

Detects human FGF R3 (IIIc) in direct ELISAs and Western blots. In direct ELISAs, 100% cross‑reactivity with recombinant human (rh) FGF R2 (IIIc), recombinant mouse (rm) FGF R2 (IIIc) and rmFGF R3 (IIIc) is observed. In Western blots (non-reducing conditions only), 50‑100% cross-reactivity with rhFGF R2 (IIIc), rmFGF R2 (IIIc) and rmFGF R3 (IIIc) is observed.

Clonality

Monoclonal

Host

Mouse

Isotype

IgG1

Scientific Data Images for Human FGFR3 (IIIc) Antibody

Detection of FGFR3 (IIIc) in HepG2 Human Cell Line by Flow Cytometry.

HepG2 human hepatocellular carcinoma cell line was stained with Mouse Anti-Human FGFR3 (IIIc) Monoclonal Antibody (Catalog # MAB7662, filled histogram) or isotype control antibody (MAB002, open histogram), followed by Allophycocyanin-conjugated Anti-Mouse IgG F(ab')2Secondary Antibody (F0101B). Staining was performed using our Staining Membrane-associated Proteins protocol.

FGFR3 in HepG2 Human Cell Line.

FGFR3 was detected in immersion fixed HepG2 human hepatocellular carcinoma cell line (positive staining) and Daudi human Burkitt's lymphoma cell line (negative staining) using Mouse Anti-Human FGFR3 (IIIc) Monoclonal Antibody (Catalog # MAB7662) at 25 µg/mL for 3 hours at room temperature. Cells were stained using the NorthernLights™ 557-conjugated Anti-Mouse IgG Secondary Antibody (red; NL007) and counterstained with DAPI (blue). Specific staining was localized to cytoplasm. Staining was performed using our protocol for Fluorescent ICC Staining of Non-adherent Cells.

FGFR3 in MCF-7 Human Cell Line.

FGFR3 was detected in immersion fixed MCF-7 human breast cancer cell line (positive staining) and Daudi human Burkitt's lymphoma cell line (negative staining) using Mouse Anti-Human FGFR3 (IIIc) Monoclonal Antibody (Catalog # MAB7662) at 25 µg/mL for 3 hours at room temperature. Cells were stained using the NorthernLights™ 557-conjugated Anti-Mouse IgG Secondary Antibody (red; NL007) and counterstained with DAPI (blue). Specific staining was localized to cytoplasm. Staining was performed using our protocol for Fluorescent ICC Staining of Non-adherent Cells.

Applications for Human FGFR3 (IIIc) Antibody

Application
Recommended Usage

Flow Cytometry

0.25 µg/106 cells
Sample: HepG2 human hepatocellular carcinoma cell line

Immunocytochemistry

8-25 µg/mL
Sample: Immersion fixed HepG2 human hepatocellular carcinoma cell line and immersion fixed MCF-7 human breast cancer cell line

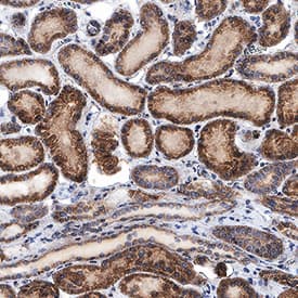
Immunohistochemistry

5-25 µg/mL
Sample: Immersion fixed paraffin-embedded sections of human kidney

Western Blot

1 µg/mL
Sample: Recombinant Human FGF R3 (IIIc) Fc Chimera (Catalog # 766-FR) under non-reducing conditions.

Reviewed Applications

Read 1 review rated 3 using MAB7662 in the following applications:

Formulation, Preparation, and Storage

Purification

Protein A or G purified from hybridoma culture supernatant

Reconstitution

Reconstitute at 0.5 mg/mL in sterile PBS. For liquid material, refer to CoA for concentration.

Reconstitution Buffer Available:
Size / Price
Qty
Loading...

Formulation

Lyophilized from a 0.2 μm filtered solution in PBS with Trehalose. *Small pack size (SP) is supplied either lyophilized or as a 0.2 µm filtered solution in PBS.

Shipping

Lyophilized product is shipped at ambient temperature. Liquid small pack size (-SP) is shipped with polar packs. Upon receipt, store immediately at the temperature recommended below.

Stability & Storage

Use a manual defrost freezer and avoid repeated freeze-thaw cycles.
  • 12 months from date of receipt, -20 to -70 °C as supplied.
  • 1 month, 2 to 8 °C under sterile conditions after reconstitution.
  • 6 months, -20 to -70 °C under sterile conditions after reconstitution.

Background: FGFR3

FGF R3 is a type I transmembrane tyrosine kinase receptor that binds FGF ligands along with heparin or heparin sulfate proteoglycans as co-factors. A segment of the membrane proximal Ig-like domain can be encoded by two different exons resulting in (IIIb) or (IIIc) isoforms. The IIIb or IIIc isoforms recognize FGF-1, -2, -4, -8b, -8e, -8f, -9 and -17b. FGF R3 plays a role in skeletal, brain, lung, intestine, kidney, and skin development.

Long Name

Fibroblast Growth Factor Receptor 3

Alternate Names

CD333, CEK, FGF R3, JTK4

Entrez Gene IDs

2261 (Human); 14184 (Mouse)

Gene Symbol

FGFR3

Additional FGFR3 Products

Product Documents for Human FGFR3 (IIIc) Antibody

Certificate of Analysis

To download a Certificate of Analysis, please enter a lot number in the search box below.

Note: Certificate of Analysis not available for kit components.

Product Specific Notices for Human FGFR3 (IIIc) Antibody

For research use only

Loading...
Loading...
Loading...
Loading...
Loading...