Human
EpCAM/TROP-1 Antibody
R&D Systems, part of Bio-Techne | Catalog # AF960

Key Product Details
Species Reactivity
Validated:
Cited:
Applications
Validated:
Cited:
Label
Antibody Source
Product Specifications
Immunogen
Gln24-Lys265
Accession # CAA32870
Specificity
Clonality
Host
Isotype
Scientific Data Images for Human EpCAM/TROP-1 Antibody
Detection of Human EpCAM/TROP‑1 by Western Blot.
Western blot shows lysates of HCT-116 human colorectal carcinoma cell line, MCF-7 human breast cancer cell line, and BG01V human embryonic stem cells. PVDF membrane was probed with 0.2 µg/mL of Goat Anti-Human EpCAM/TROP-1 Antigen Affinity-purified Polyclonal Antibody (Catalog # AF960) followed by HRP-conjugated Anti-Goat IgG Secondary Antibody (HAF017). A specific band was detected for EpCAM/TROP-1 at approximately 40 kDa (as indicated). This experiment was conducted under reducing conditions and using Immunoblot Buffer Group 1.Detection of EpCAM/TROP‑1 in HT‑29 Human Cell Line by Flow Cytometry.
HT-29 human colon adenocarcinoma cell line was stained with Goat Anti-Human EpCAM/TROP-1 Antigen Affinity-purified Polyclonal Antibody (Catalog # AF960, filled histogram) or isotype control antibody (AB-108-C, open histogram), followed by Phycoerythrin-conjugated Anti-Goat IgG Secondary Antibody (Catalog # F0107).EpCAM/TROP‑1 in BG01V Human Embryonic Stem Cells.
EpCAM/TROP-1 was detected in immersion fixed BG01V human embryonic stem cells using Goat Anti-Human EpCAM/TROP-1 Antigen Affinity-purified Polyclonal Antibody (Catalog # AF960) at 10 µg/mL for 3 hours at room temperature. Cells were stained using the NorthernLights™ 557-conjugated Anti-Goat IgG Secondary Antibody (red; Catalog # NL001) and counterstained with DAPI (blue). Specific staining was localized to cytoplasm and cell membrane. View our protocol for Fluorescent ICC Staining of Cells on Coverslips.Applications for Human EpCAM/TROP-1 Antibody
CyTOF-ready
Flow Cytometry
Sample: HT-29 human colon adenocarcinoma cell line
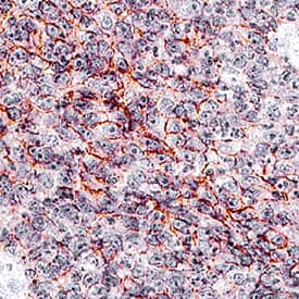
Immunocytochemistry
Sample: Immersion fixed BG01V human embryonic stem cells, HT-29 Human Colon Adenocarcinoma Cell Line and Jurkat Human Acute T Cell Leukemia Cell Line cells.
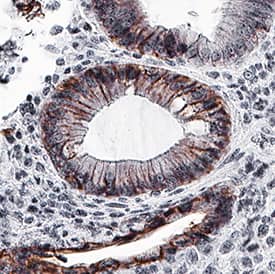
Immunohistochemistry
Sample: Immersion fixed paraffin-embedded sections of human colon
Simple Western
Sample: A549 human lung carcinoma cell line exosomes, HT‑29 human colon adenocarcinoma cell line exosomes, and COLO 205 human colorectal adenocarcinoma cell line whole cell lysate (WCL)
Western Blot
Sample: HCT‑116 human colorectal carcinoma cell line, MCF‑7 human breast cancer cell line, and BG01V human embryonic stem cells
Reviewed Applications
Read 1 review rated 5 using AF960 in the following applications:
Formulation, Preparation, and Storage
Purification
Reconstitution
Formulation
Shipping
Stability & Storage
- 12 months from date of receipt, -20 to -70 °C as supplied.
- 1 month, 2 to 8 °C under sterile conditions after reconstitution.
- 6 months, -20 to -70 °C under sterile conditions after reconstitution.
Background: EpCAM/TROP1
Epithelial Cellular Adhesion Molecule (EpCAM), also known as KS1/4, gp40, GA733-2, 17-1A, and TROP-1, is a 40 kDa transmembrane glycoprotein composed of a 242 amino acid (aa) extracellular domain with two epidermal-growth-factor-like (EGF-like) repeats within the cysteine-rich N-terminal region, a 23 aa transmembrane domain, and a 26 aa cytoplasmic domain. Human and mouse EpCAM share 82% aa sequence identity. In human, EpCAM also shares 49% aa sequence homology with TROP-2/EGP-1. During embryonic development, EpCAM is detected in fetal lung, kidney, liver, pancreas, skin, and germ cells. In adults, human EpCAM is detected in basolateral cell membranes of all simple, pseudo-stratified, and transitional epithelia, but is not detected in normal squamous stratified epithelia, mesenchymal tissue, muscular tissue, neuro-endocrine tissue, or lymphoid tissue (1). EpCAM expression has been found to increase in actively proliferating epithelia tissues and during adult liver regeneration (1, 2). EpCAM expression is also found to increase in human malignant neoplasias, with most carcinoma expressing EpCAM including those of arising from squamous epithelia (1). EpCAM has been shown function as a homophilic Ca2+ independent adhesion molecule (3). Homophilic adhesion via EpCAM requires the interaction of both EGF-like repeats, with the first EGF-like repeat mediating reciprocal interaction between EpCAM molecules on opposing cells, while the second repeat is involved in lateral interaction of EpCAM. Lateral interaction of EpCAM lead to the formation of dimers and tetramers (4). During homophilic adhesion the cytoplasmic tail of EpCAM interacts with the actin cytoskeleton via a direct association alpha-actinin (5).
References
- Balzar, M. et al. (1999) J. Mol. Med. 77:699.
- Boer, C.J. et al. (1999) J. Pathol. 188:201.
- Litvinow, S.V. et al. (1994) J. Cell Biol. 125:437.
- Balzar, M. et al. (2001) Mol. Cell. Biol. 21:2570.
- Balzar, M. et al. (1998) Mol. Cell. Biol. 18:4388.
Long Name
Alternate Names
Gene Symbol
UniProt
Additional EpCAM/TROP1 Products
Product Documents for Human EpCAM/TROP-1 Antibody
Product Specific Notices for Human EpCAM/TROP-1 Antibody
For research use only