Skip to main content

Human Aminopeptidase N/CD13 Antibody

R&D Systems, part of Bio-Techne | Catalog # MAB38152

R&D Systems, part of Bio-Techne

Key Product Details

Species Reactivity

Human

Applications

Immunohistochemistry, Flow Cytometry, CyTOF-ready

Label

Unconjugated

Antibody Source

Monoclonal Mouse IgG2A Clone # 986002

Product Specifications

Immunogen

Mouse myeloma cell line NS0-derived recombinant human Aminopeptidase N/CD13
Lys69-Lys967
Accession # AAA51719

Specificity

Detects human Aminopeptidase N/CD13.

Clonality

Monoclonal

Host

Mouse

Isotype

IgG2A

Scientific Data Images for Human Aminopeptidase N/CD13 Antibody

Detection of Aminopeptidase N/CD13 antibody in U937 Human Cell Line antibody by Flow Cytometry.

Detection of Aminopeptidase N/CD13 in U937 Human Cell Line by Flow Cytometry.

U937 human histiocytic lymphoma cell line was stained with Mouse Anti-Human Aminopeptidase N/CD13 Monoclonal Antibody (Catalog # MAB38152, filled histogram) or isotype control antibody (Catalog # MAB003, open histogram), followed by APC-conjugated Anti-Mouse IgG Secondary Antibody (Catalog # F0101B). View our protocol for Staining Membrane-associated Proteins.
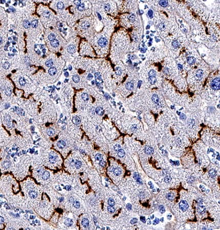
Aminopeptidase N/CD13 antibody in Human Liver by Immunohistochemistry (IHC-P).

Aminopeptidase N/CD13 in Human Liver.

Aminopeptidase N/CD13 was detected in immersion fixed paraffin-embedded sections of human liver using Mouse Anti-Human Aminopeptidase N/CD13 Monoclonal Antibody (Catalog # MAB38152) at 0.5 µg/mL for 1 hour at room temperature followed by incubation with the Anti-Mouse IgG VisUCyte™ HRP Polymer Antibody (Catalog # VC001). Before incubation with the primary antibody, tissue was subjected to heat-induced epitope retrieval using Antigen Retrieval Reagent-Basic (Catalog # CTS013). Tissue was stained using DAB (brown) and counterstained with hematoxylin (blue). Specific staining was localized to bile canaliculi. View our protocol for IHC Staining with VisUCyte HRP Polymer Detection Reagents.
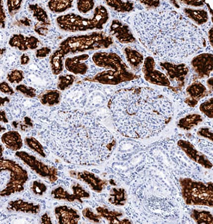
Aminopeptidase N/CD13 antibody in Human Kidney.

Aminopeptidase N/CD13 in Human Kidney.

Aminopeptidase N/CD13 was detected in immersion fixed paraffin-embedded sections of human kidney using Mouse Anti-Human Aminopeptidase N/CD13 Monoclonal Antibody (Catalog # MAB38152) at 0.5 µg/mL for 1 hour at room temperature followed by incubation with the Anti-Mouse IgG VisUCyte™ HRP Polymer Antibody (Catalog # VC001). Before incubation with the primary antibody, tissue was subjected to heat-induced epitope retrieval using Antigen Retrieval Reagent-Basic (Catalog # CTS013). Tissue was stained using DAB (brown) and counterstained with hematoxylin (blue). Specific staining was localized to cytoplasm in convoluted tubules. View our protocol for IHC Staining with VisUCyte HRP Polymer Detection Reagents.

Applications for Human Aminopeptidase N/CD13 Antibody

Application
Recommended Usage

CyTOF-ready

Ready to be labeled using established conjugation methods. No BSA or other carrier proteins that could interfere with conjugation.

Flow Cytometry

0.25 µg/106 cells
Sample: U937 Human cell line

Immunohistochemistry

0.5-25 µg/mL
Sample: Immersion fixed paraffin-embedded sections of human liver and human kidney

Formulation, Preparation, and Storage

Purification

Protein A or G purified from hybridoma culture supernatant

Reconstitution

Reconstitute at 0.5 mg/mL in sterile PBS. For liquid material, refer to CoA for concentration.

Reconstitution Buffer Available:
Size / Price
Qty
Loading...

Formulation

Lyophilized from a 0.2 μm filtered solution in PBS with Trehalose. *Small pack size (SP) is supplied either lyophilized or as a 0.2 µm filtered solution in PBS.

Shipping

Lyophilized product is shipped at ambient temperature. Liquid small pack size (-SP) is shipped with polar packs. Upon receipt, store immediately at the temperature recommended below.

Stability & Storage

Use a manual defrost freezer and avoid repeated freeze-thaw cycles.
  • 12 months from date of receipt, -20 to -70 °C as supplied.
  • 1 month, 2 to 8 °C under sterile conditions after reconstitution.
  • 6 months, -20 to -70 °C under sterile conditions after reconstitution.

Background: Aminopeptidase N/CD13

The human ANPEP gene encodes aminopeptidase N (APN), which is also known as microsomal aminopeptidase, alanyl aminopeptidase, aminopeptidase M, CD13, or membrane protein p161 (1‑3). The deduced amino acid sequence of human APN consists of a short cytoplasmic tail (residues 2 to 8), a transmembrane region (residue 9 to 32), a Ser/Thr rich region and a zinc metalloprotease domain (residues 69 to 966). The amino acid sequence of human APN is 78% and 77% identical to that of rat and mouse, respectively. Widely expressed in many cells, tissues and species, APN cleaves the N-terminal amino acids from bioactive peptides, leading to their inactivation or degradation. The roles of APN in many fields, such as neuroscience, hematopoeitic cells, immune system, angiogenesis, cancer and viral infection, have been reviewed (3).

References

  1. Olsen, J. et al. (1988) FEBS Lett. 238:307.
  2. Look, A.T. et al. (1989) J. Clin. Invest. 83:1299.
  3. Turner, A.J. (2004) in Handbook of Proteolytic Enzymes (ed. Barrett, et al.) pp. 289, Academic Press, San Diego.

Alternate Names

Aminopeptidase M, ANPEP, APN, CD13, gp150, PEPN

Entrez Gene IDs

290 (Human); 16790 (Mouse); 397520 (Porcine); 102115663 (Cynomolgus Monkey)

Gene Symbol

ANPEP

UniProt

Additional Aminopeptidase N/CD13 Products

Product Documents for Human Aminopeptidase N/CD13 Antibody

Certificate of Analysis

To download a Certificate of Analysis, please enter a lot number in the search box below.

Note: Certificate of Analysis not available for kit components.

Product Specific Notices for Human Aminopeptidase N/CD13 Antibody

For research use only

Loading...
Loading...
Loading...
Loading...
Loading...