Skip to main content

Key Product Details

Species Reactivity

Validated:

Mouse

Cited:

Human

Applications

Validated:

Immunohistochemistry, Western Blot, Immunocytochemistry

Cited:

Immunohistochemistry-Paraffin

Label

Biotin

Antibody Source

Polyclonal Goat IgG

Product Specifications

Immunogen

Mouse myeloma cell line NS0-derived recombinant mouse MMP‑9 (R&D Systems, Catalog # 909-MM)
Ala20-Pro730
Accession # P41245

Specificity

Detects mouse MMP-9 in Western blots. In Western blots, approximately 10% cross-reactivity with recombinant human (rh) MMP‑9 is observed and less than 1% cross-reactivity with rhMMP-1, -3, -7, -8, -10, -12, and -13 is observed.

Clonality

Polyclonal

Host

Goat

Isotype

IgG

Scientific Data Images for Mouse MMP-9 Biotinylated Antibody

MMP-9 antibody in Mouse Splenocytes by Immunocytochemistry (ICC).

MMP‑9 in Mouse Splenocytes.

MMP-9 was detected in immersion fixed mouse splenocytes using Goat Anti-Mouse MMP-9 Biotinylated Antigen Affinity-purified Polyclonal Antibody (Catalog # BAF909) at 10 µg/mL for 3 hours at room temperature. Cells were stained using the NorthernLights™ 557-conjugated Streptavidin (red; Catalog # NL999) and counterstained with DAPI (blue). View our protocol for Fluorescent ICC Staining of Non-adherent Cells.

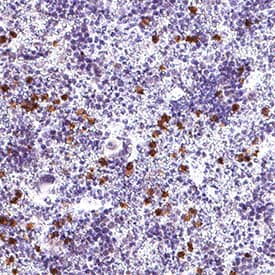
MMP-9 in Mouse Thymus.

MMP-9 was detected in immersion fixed paraffin-embedded sections of mouse thymus using Goat Anti-Mouse MMP-9 Biotinylated Antigen Affinity-purified Polyclonal Antibody (Catalog # BAF909) at 5 µg/mL for 1 hour at room temperature followed by incubation with the Anti-Goat IgG VisUCyte™ HRP Polymer Antibody (Catalog # VC004). Before incubation with the primary antibody, tissue was subjected to heat-induced epitope retrieval using Antigen Retrieval Reagent-Basic (Catalog # CTS013). Tissue was stained using DAB (brown) and counterstained with hematoxylin (blue). Specific staining was localized to cytoplasm in thymocytes.

Applications for Mouse MMP-9 Biotinylated Antibody

Application
Recommended Usage

Immunocytochemistry

5-15 µg/mL
Sample: Immersion fixed mouse splenocytes

Immunohistochemistry

5-15 µg/mL
Sample: Perfusion fixed frozen sections of mouse ovary and thymus

Western Blot

0.1 µg/mL
Sample: Recombinant Mouse MMP‑9 (Catalog # 909-MM)

Formulation, Preparation, and Storage

Purification

Antigen Affinity-purified

Reconstitution

Reconstitute at 0.2 mg/mL in sterile PBS.

Reconstitution Buffer Available:
Size / Price
Qty
Loading...

Formulation

Lyophilized from a 0.2 μm filtered solution in PBS with BSA as a carrier protein.

Shipping

The product is shipped at ambient temperature. Upon receipt, store it immediately at the temperature recommended below.

Stability & Storage

Use a manual defrost freezer and avoid repeated freeze-thaw cycles.
  • 12 months from date of receipt, -20 to -70 °C as supplied.
  • 1 month, 2 to 8 °C under sterile conditions after reconstitution.
  • 6 months, -20 to -70 °C under sterile conditions after reconstitution.

Background: MMP-9

Matrix metalloproteinases are a family of zinc and calcium dependent endopeptidases with the combined ability to degrade all the components of the extracellular matrix. MMP-9 (gelatinase B) can degrade a broad range of substrates including gelatin, collagen types IV and V, elastin, and proteoglycan core protein. It is believed to act synergistically with interstitial collagenase (MMP-1) in the degradation of fibrillar collagens as it degrades their denatured gelatin forms. MMP-9 is produced by keratinocytes, monocytes, macrophages, and PMN leukocytes. MMP-9 is present in most cases of inflammatory responses. Structurally, MMP-9 may be divided into five distinct domains: a pro-domain which is cleaved upon activation, a gelatin-binding domain consisting of three contiguous fibronectin type II units, a catalytic domain containing the zinc binding site, a proline-rich linker region, and a carboxyl terminal hemopexin-like domain. Compared to the human MMP-9
(Catalog # http://www.rndsystems.com/product_results.aspx?k=911-MP">911-MP), the mouse enzyme contains extra sequences in the linker region and in the hemopexin-like domain, respectively.

Long Name

Matrix Metalloproteinase 9

Alternate Names

CLG4B, Gelatinase B, GELB, MANDP2, MMP9

Entrez Gene IDs

4318 (Human); 17395 (Mouse); 81687 (Rat); 102117693 (Cynomolgus Monkey)

Gene Symbol

MMP9

UniProt

Additional MMP-9 Products

Product Documents for Mouse MMP-9 Biotinylated Antibody

Certificate of Analysis

To download a Certificate of Analysis, please enter a lot number in the search box below.

Note: Certificate of Analysis not available for kit components.

Product Specific Notices for Mouse MMP-9 Biotinylated Antibody

For research use only

Loading...
Loading...
Loading...
Loading...