Skip to main content

Key Product Details

Species Reactivity

Validated:

Mouse

Cited:

Mouse

Applications

Validated:

Immunohistochemistry, Western Blot, Flow Cytometry, Immunocytochemistry

Cited:

Western Blot

Label

Biotin

Antibody Source

Polyclonal Goat IgG

Product Specifications

Immunogen

Mouse myeloma cell line NS0-derived recombinant mouse LDL R
Ala22-Arg790 (Ala23Val, Cys27Gly)
Accession # Q6GTJ9

Specificity

Detects mouse LDL R in Western blots. In Western blots, approximately 5% cross-reactivity with recombinant human LDL R is observed.

Clonality

Polyclonal

Host

Goat

Isotype

IgG

Scientific Data Images for Mouse LDLR Biotinylated Antibody

Detection of LDL R antibody in RAW 264.7 Mouse Cell Line antibody by Flow Cytometry.

Detection of LDL R in RAW 264.7 Mouse Cell Line by Flow Cytometry.

Serum-deprived RAW 264.7 mouse monocyte/macrophage cell line was stained with Goat Anti-Mouse LDL R Biotinylated Antigen Affinity-purified Polyclonal Antibody (Catalog # BAF2255, filled histogram) or isotype control antibody (Catalog # BAF108, open histogram), followed by Streptavidin-PE (Catalog # F0040).
LDL R antibody in RAW 264 by Immunocytochemistry (ICC).7 Mouse Cell Line by Immunocytochemistry (ICC).

LDL R in RAW 264.7 Mouse Cell Line.

LDL R was detected in immersion fixed RAW 264.7 mouse monocyte/macrophage cell line using Goat Anti-Mouse Anti-LDL R Biotinylated Antigen Affinity-purified Polyclonal Antibody (Catalog # BAF2255) at 10 µg/mL for 3 hours at room temperature. Cells were stained using the NorthernLights™ 557-conjugated Streptavidin (red; Catalog # NL999) and counterstained with DAPI (blue). View our protocol for Fluorescent ICC Staining of Cells on Coverslips.

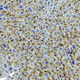
LDLR in Mouse Liver.

LDLR was detected in immersion fixed paraffin-embedded sections of mouse liver using Goat Anti-Mouse LDLR Biotinylated Antigen Affinity-purified Polyclonal Antibody (Catalog # BAF2255) at 10 µg/mL for 1 hour at room temperature followed by incubation with the Anti-Goat IgG VisUCyte™ HRP Polymer Antibody (VC004). Before incubation with the primary antibody, tissue was subjected to heat-induced epitope retrieval using Antigen Retrieval Reagent-Basic (CTS013). Tissue was stained using DAB (brown) and counterstained with hematoxylin (blue). Specific staining was localized to cell membrane in sinusoids. Staining was performed using our protocol for IHC Staining with VisUCyte HRP Polymer Detection Reagents.

Applications for Mouse LDLR Biotinylated Antibody

Application
Recommended Usage

Flow Cytometry

2.5 µg/106 cells
Sample: Serum-deprived RAW 264.7 mouse monocyte/macrophage cell line

Immunocytochemistry

5-15 µg/mL
Sample: Immersion fixed RAW 264.7 mouse monocyte/macrophage cell line

Immunohistochemistry

5-15 µg/mL
Sample: Immersion fixed paraffin-embedded sections of mouse liver 

Western Blot

0.1 µg/mL
Sample: Recombinant Mouse LDL R (Catalog # 2255-LD)

Formulation, Preparation, and Storage

Purification

Antigen Affinity-purified

Reconstitution

Reconstitute at 0.2 mg/mL in sterile PBS.

Reconstitution Buffer Available:
Size / Price
Qty
Loading...

Formulation

Lyophilized from a 0.2 μm filtered solution in PBS with BSA as a carrier protein.

Shipping

The product is shipped at ambient temperature. Upon receipt, store it immediately at the temperature recommended below.

Stability & Storage

Use a manual defrost freezer and avoid repeated freeze-thaw cycles.
  • 12 months from date of receipt, -20 to -70 °C as supplied.
  • 1 month, 2 to 8 °C under sterile conditions after reconstitution.
  • 6 months, -20 to -70 °C under sterile conditions after reconstitution.

Background: LDLR

The low density lipoprotein receptor (LDL R) is the founding member of the LDL R family of scavenger receptors (1, 2, 3, 4). This family contains type I transmembrane molecules that are characterized by the presence of EGF repeats, complement-like repeats, and YWTD motifs that form beta-propellers. Although members of the family were originally thought to be endocytic receptors, it is now clear that some members interact with adjacent cell-surface molecules, expanding their range of activities (2, 4). Mouse LDL R is synthesized as a 864 amino acid (aa) precursor that contains a 21 aa signal sequence, a 769 aa extracellular region, a 22 aa transmembrane segment and a 52 aa cytoplasmic tail (5). The extracellular region is complex. It consists of seven N-terminal complement-like cysteine-rich repeats (class A LDL domains) that bind LDL. Cysteines in this region participate in intrachain disulfide bonds. This region is followed by two EGF-like domains and six class B LDL repeats that generate a beta-propeller whose blades each contain a YWTD motif. This area is likely responsible for ligand dissociation (6). Finally, there is a 50 aa membrane proximal Ser/Thr-rich region that shows extensive O-linked glycosylation, generating a native molecular weight for LDL R of 135 kDa (5). Within the 52 aa cytoplasmic region, there is an NPxY motif that links the receptor to clathrin pits and binds to select adaptor proteins (1, 7, 8). The extracellular region of mouse LDL R shares 78% and 87% aa identity with the extracellular region of human and rat LDL R, respectively. LDL R is constitutively expressed and binds apoB of LDL and apoE of VLDL (9). It is responsible for clearing 70% of plasma LDL in liver (9).

References

  1. Strickland, D.K. et al. (2002) Trends Endocrinol. Metab. 13:66.
  2. Nykjaer, A. and T.E. Willnow (2002) Trends Cell Biol. 12:273.
  3. Gent, J. and I. Braakman (2004) Cell. Mol. Life Sci. 61:2461.
  4. Bujo, H. and Y. Saito (2006) Arterioscler. Thromb. Vasc. Biol. 26:1246.
  5. Hoffer, M.J. V. et al. (1993) Biochem. Biophys. Res. Commun. 191:880.
  6. Rudenko, G. and J. Deisenhofer (2003) Curr. Opin. Struct. Biol. 13:683.
  7. Trommsdorff, M. et al. (1998) J. Biol. Chem. 273:33556.
  8. Stolt, P.C. and H.H. Bock (2006) Cell. Signal. 18:1560
  9. Defesche, J.C. (2004) Semin. Vasc. Med. 4:5.

Long Name

Low Density Lipoprotein Receptor

Alternate Names

LDL R

Entrez Gene IDs

3949 (Human); 16835 (Mouse); 300438 (Rat); 396801 (Porcine); 102127361 (Cynomolgus Monkey)

Gene Symbol

LDLR

UniProt

Additional LDLR Products

Product Documents for Mouse LDLR Biotinylated Antibody

Certificate of Analysis

To download a Certificate of Analysis, please enter a lot number in the search box below.

Note: Certificate of Analysis not available for kit components.

Product Specific Notices for Mouse LDLR Biotinylated Antibody

For research use only

Loading...
Loading...
Loading...
Loading...
Loading...