Skip to main content

Mouse IL-6 Antibody

R&D Systems, part of Bio-Techne | Catalog # AF-406-NA

R&D Systems, part of Bio-Techne

Key Product Details

Validated by

Biological Validation

Species Reactivity

Validated:

Mouse

Cited:

Human, Mouse, Rat, Rabbit

Applications

Validated:

Immunohistochemistry, Western Blot, Neutralization, Immunocytochemistry

Cited:

Immunohistochemistry, Immunohistochemistry-Paraffin, Immunohistochemistry-Frozen, Western Blot, Neutralization, Immunocytochemistry, ELISA Development (Capture)

Label

Unconjugated

Antibody Source

Polyclonal Goat IgG

Product Specifications

Immunogen

E. coli-derived recombinant mouse IL-6
Phe25-Thr211
Accession # P08505

Specificity

Detects mouse IL-6 in direct ELISAs and Western blots.  In direct ELISAs, approximately 100% cross-reactivity with recombinant rat IL‑6 and recombinant cotton rat IL-6 is observed and less than 15% cross-reactivity with recombinant human IL-6 is observed.

Clonality

Polyclonal

Host

Goat

Isotype

IgG

Endotoxin Level

<0.10 EU per 1 μg of the antibody by the LAL method.

Scientific Data Images for Mouse IL-6 Antibody

Detection of Mouse IL-6 antibody by Western Blot.

Detection of Mouse IL‑6 by Western Blot.

Western blot shows lysates of RAW 264.7 mouse monocyte/macrophage cell line untreated (-) or treated (+) with LPS. PVDF membrane was probed with 0.5 µg/mL of Goat Anti-Mouse IL-6 Antigen Affinity-purified Polyclonal Antibody (Catalog # AF-406-NA) followed by HRP-conjugated Anti-Goat IgG Secondary Antibody (Catalog # HAF017). A specific band was detected for IL-6 at approximately 22 kDa (as indicated). This experiment was conducted under reducing conditions and using Immunoblot Buffer Group 1.
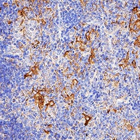
IL-6 antibody in Mouse Thymus by Immunohistochemistry (IHC-Fr).

IL‑6 in Mouse Thymus.

IL-6 was detected in perfusion fixed frozen sections of mouse thymus using Goat Anti-Mouse IL-6 Antigen Affinity-purified Polyclonal Antibody (Catalog # AF-406-NA) at 5 µg/mL for 1 hour at room temperature followed by incubation with the Anti-Goat IgG VisUCyte™ HRP Polymer Antibody (Catalog # VC004). Tissue was stained using DAB (brown) and counterstained with hematoxylin (blue). Specific staining was localized to cell surface in lymphocytes. View our protocol for IHC Staining with VisUCyte HRP Polymer Detection Reagents.
Cell Proliferation Induced by IL‑6 and Neutralization by Mouse IL‑6 Antibody.

Cell Proliferation Induced by IL‑6 and Neutralization by Mouse IL‑6 Antibody.

Recombinant Mouse IL-6 (Catalog # 406-ML) stimulates proliferation in the T1165.85.2.1 mouse plasmacytoma cell line in a dose-dependent manner (orange line). Proliferation elicited by Recombinant Mouse IL-6 (0.25 ng/mL) is neutralized (green line) by increasing concentrations of Goat Anti-Mouse IL-6 Antigen Affinity-purified Polyclonal Antibody (Catalog # AF-406-NA). The ND50 is typically 0.01-0.03 µg/mL.

Applications for Mouse IL-6 Antibody

Application
Recommended Usage

Immunocytochemistry

5-15 µg/mL
Sample: Immersion fixed mouse splenocytes treated with PMA and ionomycin

Immunohistochemistry

5-15 µg/mL
Sample: Perfusion fixed frozen sections of mouse thymus

Western Blot

0.5 µg/mL
Sample: RAW 264.7 mouse monocyte/macrophage cell line treated with LPS

Neutralization

Measured by its ability to neutralize IL‑6-induced proliferation in the T1165.85.2.1 mouse plasmacytoma cell line. Nordan, R.P. and M. Potter (1986) Science 233:566. The Neutralization Dose (ND50) is typically 0.01-0.03 µg/mL in the presence of 0.25 ng/mL Recombinant Mouse IL‑6.

Reviewed Applications

Read 7 reviews rated 3.9 using AF-406-NA in the following applications:

Formulation, Preparation, and Storage

Purification

Antigen Affinity-purified

Reconstitution

Reconstitute at 0.2 mg/mL in sterile PBS. For liquid material, refer to CoA for concentration.

Reconstitution Buffer Available:
Size / Price
Qty
Loading...

Formulation

Lyophilized from a 0.2 μm filtered solution in PBS with Trehalose. *Small pack size (SP) is supplied either lyophilized or as a 0.2 µm filtered solution in PBS.

Shipping

Lyophilized product is shipped at ambient temperature. Liquid small pack size (-SP) is shipped with polar packs. Upon receipt, store immediately at the temperature recommended below.

Stability & Storage

Use a manual defrost freezer and avoid repeated freeze-thaw cycles.
  • 12 months from date of receipt, -20 to -70 °C as supplied.
  • 1 month, 2 to 8 °C under sterile conditions after reconstitution.
  • 6 months, -20 to -70 °C under sterile conditions after reconstitution.

Background: IL-6

Interleukin-6 (IL-6) is a pleiotropic, alpha -helical, phosphorylated and variably glycosylated cytokine that plays important roles in the acute phase reaction, inflammation, hematopoiesis, bone metabolism, and cancer progression. Mature mouse IL-6 is 187 amino acids (aa) in length that is typically expressed as a 22-28 kDA molecular weight protein. Mouse IL-6 shares 39% and 85% aa sequence identity with human and rat IL-6, respectively. Alternative splicing generates several isoforms with internal deletions, some of which exhibit antagonistic properties. IL-6 induces signaling through a cell surface heterodimeric receptor complex composed of a ligand binding subunit (IL-6 R alpha) and a signal transducing subunit (gp130). IL-6 binds to IL-6 R alpha, triggering IL-6 R alpha association with gp130 and gp130 dimerization. gp130 is also a component of the receptors for CLC, CNTF, CT-1, IL-11, IL-27, LIF, and OSM. Soluble forms of IL-6 R alpha are generated by both alternative splicing and proteolytic cleavage. In a mechanism known as trans-signaling, complexes of soluble IL-6 and IL-6 R alpha elicit responses from gp130-expressing cells that lack cell surface IL-6 R alpha. Trans-signaling enables a wider range of cell types to respond to IL-6, as the expression of gp130 is ubiquitous, while that of IL-6 R alpha is predominantly restricted to hepatocytes, monocytes, and resting lymphocytes. Soluble splice forms of gp130 block trans-signaling from IL-6/IL-6 R alpha but not from other cytokines that use gp130 as a co-receptor. IL-6, along with TNF-alpha and IL-1, function to drive the acute inflammatory response and the transition from acute inflammation to either acquired immunity or chronic inflammatory disease. When dysregulated, it contributes to chronic inflammation in obesity, insulin resistance, inflammatory bowel disease, arthritis, sepsis, and atherosclerosis. IL-6 can also function as an anti-inflammatory molecule, as in skeletal muscle where it is secreted in response to exercise. In addition, it enhances hematopoietic stem cell proliferation and the differentiation of Th17 cells, memory B cells, and plasma cells.

Long Name

Interleukin 6

Alternate Names

BSF-2, BSF2, IFNB2, IL6, MGI-2A

Entrez Gene IDs

3569 (Human); 16193 (Mouse); 24498 (Rat); 399500 (Porcine); 280826 (Bovine); 403985 (Canine); 102138971 (Cynomolgus Monkey); 100034196 (Equine); 493687 (Feline); 463288 (Primate); 100008733 (Rabbit)

Gene Symbol

IL6

UniProt

Additional IL-6 Products

Product Documents for Mouse IL-6 Antibody

Certificate of Analysis

To download a Certificate of Analysis, please enter a lot number in the search box below.

Note: Certificate of Analysis not available for kit components.

Product Specific Notices for Mouse IL-6 Antibody

For research use only

Loading...
Loading...
Loading...
Loading...