Skip to main content

Key Product Details

Validated by

Knockout/Knockdown, Orthogonal Validation

Species Reactivity

Validated:

Human

Cited:

Human

Applications

Validated:

Knockout Validated, Immunohistochemistry, Western Blot, Flow Cytometry, Dual RNAscope ISH-IHC Compatible, CyTOF-ready

Cited:

Immunohistochemistry, Immunohistochemistry-Paraffin, Western Blot, Neutralization, Flow Cytometry, Immunocytochemistry, Immunoprecipitation

Label

Unconjugated

Antibody Source

Polyclonal Goat IgG

Product Specifications

Immunogen

Mouse myeloma cell line NS0-derived recombinant human TIM-3
Ser22-Arg200
Accession # Q8TDQ0

Specificity

Detects human TIM-3 in direct ELISAs and Western blots. In direct ELISAs, approximately 5% cross-reactivity with recombinant mouse (rm) TIM‑3 is observed and less than 1% cross-reactivity with recombinant human TIM-1, rmTIM-1, and rmTIM-2 is observed.

Clonality

Polyclonal

Host

Goat

Isotype

IgG

Scientific Data Images for Human TIM-3 Antibody

TIM-3 antibody in Human Tonsil Using Dual RNAscope®ISH and IHC.

TIM-3 in Human Tonsil Using Dual RNAscope®ISH and IHC.

TIM-3 mRNA was detected in formalin-fixed paraffin-embedded tissue sections of human tonsil probed with ACD RNAScope®Probe (Catalog # 560681) and stained using ACD RNAscope®2.5 HD Detection Reagents-Red (top image, Catalog # 32260). Adjacent tissue section was processed for immunohistochemistry using R&D Systems Goat Anti-Human TIM-3 Antigen Affinity-purified Polyclonal Antibody (Catalog # AF2365) at 3 ug/mL for 1 hour at room temperature followed by incubation with the Anti-Mouse IgG VisUCyte HRP Polymer Antibody (R&D Systems, Catalog # VC004) and DAB chromogen (lower image, yellow-brown). Tissues were counterstained with hematoxylin (blue).
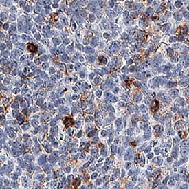
TIM-3 antibody in Human Tonsil by Immunohistochemistry (IHC-P).

TIM‑3 in Human Tonsil.

TIM-3 was detected in immersion fixed paraffin-embedded sections of human tonsil using Goat Anti-Human TIM-3 Antigen Affinity-purified Polyclonal Antibody (Catalog # AF2365) at 3 µg/mL for 1 hour at room temperature followed by incubation with the Anti-Goat IgG VisUCyte™ HRP Polymer Antibody (Catalog # VC004). Before incubation with the primary antibody, tissue was subjected to heat-induced epitope retrieval using Antigen Retrieval Reagent-Basic (Catalog # CTS013). Tissue was stained using DAB (brown) and counterstained with hematoxylin (blue). Specific staining was localized to cell membranes and extracellular space. View our protocol for IHC Staining with VisUCyte HRP Polymer Detection Reagents.

Western Blot Shows Human TIM-3 Specificity by Using Knockout Cell Line.

Western blot shows lysates of HDLM-2 human Hodgkin’s lymphoma cell line and human TIM-3 knockout HDLM-2 human Hodgkin’s lymphoma cell line (KO). PVDF membrane was probed with 1 µg/mL of Goat Anti-Human TIM-3 Antigen Affinity-purified Polyclonal Antibody (Catalog # AF2365) followed by HRP-conjugated Anti-Goat IgG Secondary Antibody (HAF017). A specific band was detected for TIM-3 at approximately 50 kDa (as indicated) in the parental HDLM-2 human Hodgkin’s lymphoma cell line, but is not detectable in knockout HDLM-2 human Hodgkin’s lymphoma cell line. GAPDH (AF5718) is shown as a loading control. This experiment was conducted under reducing conditions and using Western Blot Buffer Group 1.

Applications for Human TIM-3 Antibody

Application
Recommended Usage

CyTOF-ready

Ready to be labeled using established conjugation methods. No BSA or other carrier proteins that could interfere with conjugation.

Dual RNAscope ISH-IHC Compatible

3-25 µg/mL
Sample: Immersion fixed paraffin-embedded sections of human tonsil

Flow Cytometry

0.25 µg/106 cells
Sample: Human peripheral blood monocytes

Immunohistochemistry

3-15 µg/mL
Sample: Immersion fixed paraffin-embedded sections of human tonsil

Knockout Validated

TIM‑3 is specifically detected in HDLM‑2 human Hodgkin's lymphoma parental cell line but is not detectable in TIM‑3 knockout HDLM‑2 human Hodgkin's lymphoma cell line.

Western Blot

0.1 µg/mL
Sample: Recombinant Human TIM-3 Fc Chimera (Catalog # 2365-TM)

Reviewed Applications

Read 3 reviews rated 4.7 using AF2365 in the following applications:

Formulation, Preparation, and Storage

Purification

Antigen Affinity-purified

Reconstitution

Reconstitute at 0.2 mg/mL in sterile PBS. For liquid material, refer to CoA for concentration.

Reconstitution Buffer Available:
Size / Price
Qty
Loading...

Formulation

Lyophilized from a 0.2 μm filtered solution in PBS with Trehalose. *Small pack size (SP) is supplied either lyophilized or as a 0.2 µm filtered solution in PBS.

Shipping

Lyophilized product is shipped at ambient temperature. Liquid small pack size (-SP) is shipped with polar packs. Upon receipt, store immediately at the temperature recommended below.

Stability & Storage

Use a manual defrost freezer and avoid repeated freeze-thaw cycles.
  • 12 months from date of receipt, -20 to -70 °C as supplied.
  • 1 month, 2 to 8 °C under sterile conditions after reconstitution.
  • 6 months, -20 to -70 °C under sterile conditions after reconstitution.

Background: TIM-3

TIM-3 (T cell immunoglobulin and mucin domain-3) is a 60 kDa member of the TIM family of immune regulating molecules. TIMs are type I transmembrane glycoproteins with one Ig-like V-type domain and a Ser/Thr-rich mucin stalk (1-3). There are three TIM genes in human and eight in mouse. Mature human TIM-3 consists of a 181 amino acid (aa) extracellular domain (ECD), a 21 aa transmembrane segment, and a 78 aa cytoplasmic tail (4). An alternately spliced isoform is truncated following a short substitution after the Ig-like domain. Within the ECD, human TIM-3 shares 58% aa sequence identity with mouse and rat TIM-3. TIM-3 is expressed on the surface of effector T cells (CD4+ Th1 and CD8+ Tc1) but not on helper T cells (CD4+ Th2 and CD8+ Tc2) (4, 5). In chronic inflammation, autoimmune disorders, and some cancers, TIM-3 is upregulated on several other hematopoietic cell types. It also occurs on hippocampal neurons (7-10). The Ig domain of TIM-3 interacts with a ligand on resting but not activated Th1 and Th2 cells (5, 11). The glycosylated Ig domain of TIM-3 binds cell-associated galectin-9. This induces TIM-3 Tyr phosphorylation and pro-apoptotic signaling (8, 12). TIM-3 functions as a negative regulator of Th1 cell activity. Its blockade results in increased IFN-gamma production, Th1 cell proliferation and cytotoxicity (5, 10, 11, 13), regulatory T cell development (5), and increases in macrophage and neutrophil infiltration into sites of inflammation (14). Soluble mouse TIM-3 constructs which lack the cytoplasmic domain have been shown to inhibit anti-tumor effector T cell responses and to enhance autoimmune reactions (5, 15).

References

  1. Anderson, A.C. and D.E. Anderson (2006) Curr. Opin. Immunol. 18:665.
  2. Mariat, C. et al. (2005) Phil. Trans. R. Soc. B. 360:1681.
  3. Meyers, J.H. et al. (2005) Trends Mol. Med. 11:362.
  4. Monney, L. et al. (2002) Nature 415:536.
  5. Sanchez-Fueyo, A. et al. (2003) Nat. Immunol. 4:1093.
  6. Khademi, M. et al. (2004) J. Immunol. 172:7169.
  7. Wiener, Z. et al. (2007) J. Invest. Dermatol. 127:906.
  8. van de Weyer, P.S. et al. (2006) Biochem. Biophys. Res. Commun. 351:571.
  9. Gielen, A.W. et al. (2005) J. Neuroimmunol. 164:93.
  10. Oikawa, T. et al. (2006) J. Immunol. 177:4281.
  11. Sabatos, C.A. et al. (2003) Nat. Immunol. 4:1102.
  12. Zhu, C. et al. (2005) Nat. Immunol. 6:1245.
  13. Koguchi, K. et al. (2006) J. Exp. Med. 203:1413.
  14. Frisancho-Kiss, S. et al. (2006) J. Immunol. 176:6411.
  15. Geng, H. et al. (2006) J. Immunol. 176:1411.

Long Name

T Cell Immunoglobulin Mucin-3

Alternate Names

CD366, HAVcr-2, HAVCR2, KIM-3, SPTCL, TIM3, TIMD3

Entrez Gene IDs

84868 (Human); 171285 (Mouse); 363578 (Rat); 479318 (Canine); 102141722 (Cynomolgus Monkey)

Gene Symbol

HAVCR2

UniProt

Additional TIM-3 Products

Product Documents for Human TIM-3 Antibody

Certificate of Analysis

To download a Certificate of Analysis, please enter a lot number in the search box below.

Note: Certificate of Analysis not available for kit components.

Product Specific Notices for Human TIM-3 Antibody

For research use only

Loading...
Loading...
Loading...
Loading...
Loading...