Skip to main content

Key Product Details

Species Reactivity

Human

Applications

Immunohistochemistry, Western Blot

Label

Unconjugated

Antibody Source

Monoclonal Mouse IgG1 Clone # 219937

Product Specifications

Immunogen

Mouse myeloma cell line NS0-derived recombinant human Siglec-2/CD22
Asp20-Arg687
Accession # CAA42006

Specificity

Detects human Siglec-2/CD22 by Direct ELISA.

Clonality

Monoclonal

Host

Mouse

Isotype

IgG1

Scientific Data Images for Human Siglec-2/CD22 Antibody

Detection of Human Siglec-2/CD22 by Western Blot.

Western Blot shows lysates of Daudi human Burkitt's lymphoma cell line. PVDF membrane was probed with 2 µg/ml of Mouse Anti-Human Siglec-2/CD22 Monoclonal Antibody (Catalog # MAB11515) followed by HRP-conjugated Anti-Mouse IgG Secondary Antibody (Catalog # HAF018). A specific band was detected for Siglec-2/CD22 at approximately 140 kDa (as indicated). This experiment was conducted under reducing conditions and using Western Blot Buffer Group 1.

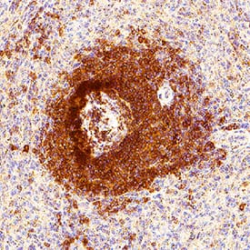
Detection of Siglec-2/CD22 in Human Spleen.

Siglec-2/CD22 was detected in immersion fixed paraffin-embedded sections of human spleen using Mouse Anti-Human Siglec-2/CD22 Monoclonal Antibody (Catalog # MAB11515) at 5 µg/ml for 1 hour at room temperature followed by incubation with the HRP-conjugated Anti-Mouse IgG Secondary Antibody (Catalog # HAF007) or the Anti-Mouse IgG VisUCyte™ HRP Polymer Antibody (Catalog # VC001). Before incubation with the primary antibody, tissue was subjected to heat-induced epitope retrieval using VisUCyte Antigen Retrieval Reagent-Basic (Catalog # VCTS021). Tissue was stained using DAB (brown) and counterstained with hematoxylin (blue). Specific staining was localized to the membrane of the germinal centers. View our protocol for Chromogenic IHC Staining of Paraffin-embedded Tissue Sections.

Applications for Human Siglec-2/CD22 Antibody

Application
Recommended Usage

Immunohistochemistry

3-25 µg/mL
Sample: Immersion fixed paraffin-embedded sections of human spleen

Western Blot

2 µg/mL
Sample: Daudi human Burkitt's lymphoma cell line

Formulation, Preparation, and Storage

Reconstitution

Reconstitute at 0.5 mg/mL in sterile PBS. For liquid material, refer to CoA for concentration.

Reconstitution Buffer Available:
Size / Price
Qty
Loading...

Formulation

Lyophilized from a 0.2 μm filtered solution in PBS with Trehalose. See Certificate of Analysis for details.
*Small pack size (-SP) is supplied either lyophilized or as a 0.2 µm filtered solution in PBS.

Shipping

The product is shipped at ambient temperature. Upon receipt, store it immediately at the temperature recommended below.

Stability & Storage

Store the unopened product at -20 to -70 °C. Use a manual defrost freezer and avoid repeated freeze-thaw cycles. Do not use past expiration date.

Background: Siglec-2/CD22

Siglecs (sialic acid binding Ig-like lectins) are I-type (Ig-type) lectins belonging to the Ig superfamily. They are characterized by an N-terminal Ig-like V-type domain which mediates sialic acid binding, followed by varying numbers of Ig-like C2-type domains (1, 2). Eleven human Siglecs have been cloned and characterized. They are sialoadhesin/CD169/Siglec-1, CD22/Siglec-2, CD33/Siglec-3, Myelin-Associated Glycoprotein (MAG/Siglec-4a), and the identified Siglecs 5 to 11 (1-3). To date, no Siglec has been shown to recognize any cell surface ligand other than sialic acid, suggesting that interactions with glycans containing this carbohydrate are important in mediating the biological functions of Siglecs. Human Siglec-2, also known as B-cell antigen CD22 or B lymphocyte cell adhesion molecule (BL-CAM), is a B cell restricted glycoprotein that is expressed in the cytoplasm of progenitor B and pre-B cells and on the surface of mature B cells. Two distinct human Siglec-2/CD22 cDNAs that arise from differential RNA processing of the same gene have been isolated. The predominant Siglec-2/CD22 beta encodes an 847 amino acid (aa) polypeptide with a hydrophobic signal peptide, an N-terminal Ig-like V-type domain, six Ig-like C2-type domains, a transmembrane region and a cytoplasmic tail with 4 immunoreceptor tyrosine-based inhibition motifs (ITIMs) (4). The variant Siglec-2/CD22 alpha encodes a 647 aa polypeptide missing two Ig-like C2-type domains and has a truncated (23 aa) cytoplasmic tail (5). Siglec-2/CD22 is an adhesion molecule that preferentially binds alpha2,6- linked sialic acid on the same (cis) or adjacent (trans) cells. Interaction of CD22 with trans ligands on opposing cells was found to be favored over the binding of ligands in cis (9). Besides its role as an adhesion molecule, Siglec-2/CD22 is a coreceptor that physically interacts with B cell receptor (BCR) and is rapidly phosphorylated upon BCR ligation. It negatively regulates BCR signals by recruiting tyrosine phosphatase SHP-1 to its ITIMs. Phosphorylated Siglec-2/CD22 can also interact with other intracellular effector proteins such as Syk, PLC gamma, PI3 kinase, and Grb-2, suggesting it may play a role in positive signaling (2, 7, 8).

References

  1. Crocker, P.R. and A. Varki (2001) Trends Immunol. 22:337.
  2. Crocker, P.R. and A. Varki (2001) Immunology 103:137.
  3. Angata, T. et al. (2002) J. Biol. Chem. 277:24466.
  4. Wilson, G.L et al. (1991) J. Exp. Med. 173:137.
  5. Stamenkovic, I. and B. Seed (1990) Nature 345:74.
  6. Kelm, S. et al. (1994) Current Bio. 4:965.
  7. Ravetch, J.V. and L.L. Lanier (2000) Science 290:84.
  8. Wienands, Y.J. et al. (1999) J. Biol. Chem. 274:18769.
  9. Collins, B.E. et al. (2004) Proc. Natl. Acad. Sci. USA 101:6104.

Long Name

Sialic Acid Binding Ig-like Lectin 2

Alternate Names

BL-CAM, CD22, Siglec2

Entrez Gene IDs

933 (Human); 12483 (Mouse); 308501 (Rat); 102130968 (Cynomolgus Monkey)

Gene Symbol

CD22

UniProt

Additional Siglec-2/CD22 Products

Product Documents for Human Siglec-2/CD22 Antibody

Certificate of Analysis

To download a Certificate of Analysis, please enter a lot number in the search box below.

Note: Certificate of Analysis not available for kit components.

Product Specific Notices for Human Siglec-2/CD22 Antibody

For research use only

Loading...
Loading...
Loading...
Loading...