Skip to main content

Key Product Details

Species Reactivity

Human

Applications

Immunohistochemistry, Western Blot

Label

Unconjugated

Antibody Source

Monoclonal Mouse IgG2A Clone # 754102

Product Specifications

Immunogen

E. coli-derived recombinant human S100A6
Met1-Gly90
Accession # P06703

Specificity

Detects human S100A6 in direct ELISAs and Western blots. In direct ELISAs, approximately 50% cross-reactivity with recombinant mouse S100A6 and no cross-reactivity with recombinant human (rh) S100A1, rhS100A4, or rhS100B is observed.

Clonality

Monoclonal

Host

Mouse

Isotype

IgG2A

Scientific Data Images for Human S100A6 Antibody

Detection of Human and Mouse S100A6 antibody by Western Blot.

Detection of Human and Mouse S100A6 by Western Blot.

Western blot shows lysates of HeLa human cervical epithelial carcinoma cell line, RAW 264.7 mouse monocyte/macrophage cell line, and NIH-3T3 mouse embryonic fibroblast cell line. PVDF membrane was probed with 2 µg/mL of Mouse Anti-Human S100A6 Monoclonal Antibody (Catalog # MAB7467) followed by HRP-conjugated Anti-Mouse IgG Secondary Antibody (Catalog # HAF007). A specific band was detected for S100A6 at approximately 10 kDa (as indicated). This experiment was conducted under reducing conditions and using Immunoblot Buffer Group 1.
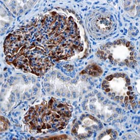
S100A6 antibody in Human Kidney by Immunohistochemistry (IHC-P).

S100A6 in Human Kidney.

S100A6 was detected in immersion fixed paraffin-embedded sections of human kidney using Mouse Anti-Human S100A6 Monoclonal Antibody (Catalog # MAB7467) at 15 µg/mL overnight at 4 °C. Before incubation with the primary antibody, tissue was subjected to heat-induced epitope retrieval using Antigen Retrieval Reagent-Basic (Catalog # CTS013). Tissue was stained using the Anti-Mouse HRP-DAB Cell & Tissue Staining Kit (brown; Catalog # CTS002) and counter-stained with hematoxylin (blue). Specific staining was localized to glomeruli and distal tubules. View our protocol for Chromogenic IHC Staining of Paraffin-embedded Tissue Sections.

Applications for Human S100A6 Antibody

Application
Recommended Usage

Immunohistochemistry

8-25 µg/mL
Sample: Immersion fixed paraffin-embedded sections of human kidney

Western Blot

2 µg/mL
Sample: HeLa human cervical epithelial carcinoma cell line, RAW 264.7 mouse monocyte/macrophage cell line, and NIH‑3T3 mouse embryonic fibroblast cell line

Reviewed Applications

Read 1 review rated 5 using MAB7467 in the following applications:

Formulation, Preparation, and Storage

Purification

Protein A or G purified from hybridoma culture supernatant

Reconstitution

Sterile PBS to a final concentration of 0.5 mg/mL. For liquid material, refer to CoA for concentration.

Reconstitution Buffer Available:
Size / Price
Qty
Loading...

Formulation

Lyophilized from a 0.2 μm filtered solution in PBS with Trehalose. *Small pack size (SP) is supplied either lyophilized or as a 0.2 µm filtered solution in PBS.

Shipping

Lyophilized product is shipped at ambient temperature. Liquid small pack size (-SP) is shipped with polar packs. Upon receipt, store immediately at the temperature recommended below.

Stability & Storage

Use a manual defrost freezer and avoid repeated freeze-thaw cycles.
  • 12 months from date of receipt, -20 to -70 °C as supplied.
  • 1 month, 2 to 8 °C under sterile conditions after reconstitution.
  • 6 months, -20 to -70 °C under sterile conditions after reconstitution.

Background: S100A6

S100A6, also called PRA (prolactin receptor-associated protein) and calcyclin, is a 10 kDa member of the S100 family of calcium-binding proteins. Human S100A6 is 90 amino acids (aa) in length and contains two calcium-binding EF-hand domains (aa 12 - 47 and 48 - 83). Intracellularly, S100A6 will both noncovalently homodimerize and heterodimerize with S100B plus SGT1. Extracellularly, it is secreted via a noncanonical pathway and binds to RAGE, inducing apoptosis. It is expressed by neurons, endothelium, fibroblasts and glandular epithelia. Human S100A6 shares 95% aa sequence identity with mouse and rat S100A6. This antibody detects mouse S100A6 in Western Blots. Mouse cross-reactivity has not been tested in Immunohistochemistry

Long Name

S100 Calcium Binding Protein A6

Alternate Names

CACY, MLN 4, PRA

Entrez Gene IDs

6277 (Human); 20200 (Mouse); 85247 (Rat)

Gene Symbol

S100A6

UniProt

Additional S100A6 Products

Product Documents for Human S100A6 Antibody

Certificate of Analysis

To download a Certificate of Analysis, please enter a lot number in the search box below.

Note: Certificate of Analysis not available for kit components.

Product Specific Notices for Human S100A6 Antibody

For research use only

Loading...
Loading...
Loading...
Loading...