Skip to main content

Key Product Details

Species Reactivity

Validated:

Human, Rat

Cited:

Human, Mouse

Applications

Validated:

Immunohistochemistry, Western Blot, Simple Western

Cited:

Immunohistochemistry, Immunohistochemistry-Paraffin, Immunohistochemistry-Frozen, Western Blot, Immunocytochemistry

Label

Unconjugated

Antibody Source

Polyclonal Goat IgG

Product Specifications

Immunogen

E. coli-derived recombinant human Angiogenin
Gln25-Pro147
Accession # Q53X86

Specificity

Detects human Angiogenin in direct ELISAs and Western blots.

Clonality

Polyclonal

Host

Goat

Isotype

IgG

Scientific Data Images for Human/Rat Angiogenin Antibody

Detection of Human and Rat Angiogenin antibody by Western Blot.

Detection of Human and Rat Angiogenin by Western Blot.

Western blot shows human plasma and rat plasma. PVDF membrane was probed with 0.5 µg/mL of Goat Anti-Human/Rat Angiogenin Antigen Affinity-purified Polyclonal Antibody (Catalog # AF265) followed by HRP-conjugated Anti-Goat IgG Secondary Antibody (Catalog # HAF017). A specific band was detected for Angiogenin at approximately 14 kDa (as indicated). This experiment was conducted under reducing conditions and using Immunoblot Buffer Group 1.

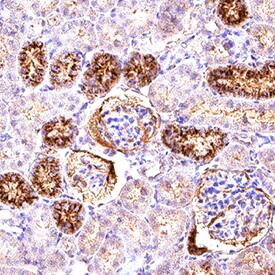
Angiogenin in Rat Kidney.

Angiogenin was detected in immersion fixed paraffin-embedded sections of rat kidney using Goat Anti-Human/Rat Angiogenin Antigen Affinity-purified Polyclonal Antibody (Catalog # AF265) at 1 µg/mL for 1 hour at room temperature followed by incubation with the Anti-Goat IgG VisUCyte™ HRP Polymer Antibody (VC004). Before incubation with the primary antibody, tissue was subjected to heat-induced epitope retrieval using Antigen Retrieval Reagent-Basic (CTS013). Tissue was stained using DAB (brown) and counterstained with hematoxylin (blue). Specific staining was localized to convoluted tubules. Staining was performed using our protocol for IHC Staining with VisUCyte HRP Polymer Detection Reagents.

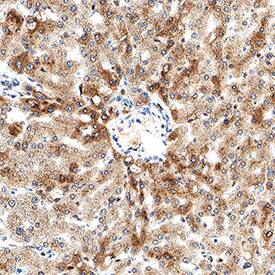
Angiogenin in Human Liver.

Angiogenin was detected in immersion fixed paraffin-embedded sections of human liver using Goat Anti-Human/Rat Angiogenin Antigen Affinity-purified Polyclonal Antibody (Catalog # AF265) at 1 µg/mL for 1 hour at room temperature followed by incubation with the Anti-Goat IgG VisUCyte™ HRP Polymer Antibody (VC004). Before incubation with the primary antibody, tissue was subjected to heat-induced epitope retrieval using Antigen Retrieval Reagent-Basic (CTS013). Tissue was stained using DAB (brown) and counterstained with hematoxylin (blue). Specific staining was localized to hepatocytes. Staining was performed using our protocol for IHC Staining with VisUCyte HRP Polymer Detection Reagents.

Applications for Human/Rat Angiogenin Antibody

Application
Recommended Usage

Immunohistochemistry

1-15 µg/mL
Sample: Immersion fixed paraffin-embedded sections of rat kidney and human liver

Simple Western

5 µg/mL
Sample: Human plasma and rat plasma

Western Blot

0.5 µg/mL
Sample: Human plasma and rat plasma

Reviewed Applications

Read 1 review rated 5 using AF265 in the following applications:

Formulation, Preparation, and Storage

Purification

Antigen Affinity-purified

Reconstitution

Reconstitute at 0.2 mg/mL in sterile PBS. For liquid material, refer to CoA for concentration.

Reconstitution Buffer Available:
Size / Price
Qty
Loading...

Formulation

Lyophilized from a 0.2 μm filtered solution in PBS with Trehalose. *Small pack size (SP) is supplied either lyophilized or as a 0.2 µm filtered solution in PBS.

Shipping

Lyophilized product is shipped at ambient temperature. Liquid small pack size (-SP) is shipped with polar packs. Upon receipt, store immediately at the temperature recommended below.

Stability & Storage

Use a manual defrost freezer and avoid repeated freeze-thaw cycles.
  • 12 months from date of receipt, -20 to -70 °C as supplied.
  • 1 month, 2 to 8 °C under sterile conditions after reconstitution.
  • 6 months, -20 to -70 °C under sterile conditions after reconstitution.

Background: Angiogenin

Angiogenin was initially purified from serum-free media conditioned by growth of a human adenocarcinoma cell line HT-29 based on its ability to initiate vascularization in the chicken embryo chorioallantoic membrane. A number of other tumor, as well as normal, cell lines can also secrete Angiogenin. In addition, Angiogenin is present in normal human plasma at levels as high as 60‑120 ng/mL. Unlike other angiogenic factors such as FGF, Angiogenin is neither mitogenic nor chemotactic for vascular endothelial cells in vitro. However, Angiogenin can stimulate capillary and umbilical vein endothelial cells to produce diacylglycerol and secrete prostacyclin by phospholipase activation. Angiogenin, absorbed on plastic, can also support endothelial and fibroblast cell adhesion and spreading.

Surprisingly, Angiogenin has been found to be a member of the ribonuclease superfamily with approximately 35% sequence similarity at the amino acid level with pancreatic RNase. Angiogenin exhibits ribonucleolytic activity that is distinctly different than that of pancreatic RNase A. The ribonucleolytic activity of Angiogenin toward most RNase A substrates is much lower than that of RNase A. Nevertheless, the ribonucleolytic activity of Angiogenin is essential to its angiogenic activity since inhibition of the Angiogenin RNase activity will also abolish angiogenesis activity. Similar to several members of the RNase superfamily, Angiogenin is a cytotoxic agent that can abolish cellular protein synthesis. It has been demonstrated that Angiogenin-dependent protein synthesis inhibition can be attributed to the function of Angiogenin as a cytotoxic tRNA-specific RNAase.

A cell-surface Angiogenin binding protein has been purified and characterized. Tryptic peptide mapping and sequence analysis indicate that this binding protein is a member of the actin family.

Alternate Names

ANG, RNase 5

Entrez Gene IDs

283 (Human)

Gene Symbol

ANG

UniProt

Additional Angiogenin Products

Product Documents for Human/Rat Angiogenin Antibody

Certificate of Analysis

To download a Certificate of Analysis, please enter a lot number in the search box below.

Note: Certificate of Analysis not available for kit components.

Product Specific Notices for Human/Rat Angiogenin Antibody

For research use only

Loading...
Loading...
Loading...
Loading...