Skip to main content

Key Product Details

Species Reactivity

Validated:

Human, Primate

Cited:

Human, Primate - Macaca mulatta (Rhesus Macaque)

Applications

Validated:

Immunohistochemistry, Western Blot, ELISA Capture (Matched Antibody Pair), Immunocytochemistry, Immunoprecipitation

Cited:

Immunohistochemistry, Immunohistochemistry-Paraffin, Western Blot, Flow Cytometry, Immunocytochemistry, ELISA Capture, ELISA Development (Capture)

Label

Unconjugated

Antibody Source

Monoclonal Mouse IgG1 Clone # 36020

Product Specifications

Immunogen

Chinese hamster ovary cell line CHO-derived recombinant human MMP-9

Specificity

Detects human MMP-9 in Western blots. Does not react with the C-terminal truncated form (65 kDa) of recombinant human (rh) MMP-9. In Western blots, approximately 5% cross-reactivity with rhMMP-2 and no cross-reactivity with rhMMP-1 or rhMMP-3 is observed.

Clonality

Monoclonal

Host

Mouse

Isotype

IgG1

Scientific Data Images for Human/Primate MMP-9 Antibody

MMP-9 antibody in SW1353 Human Cell Line by Immunocytochemistry (ICC).

MMP‑9 in SW1353 Human Cell Line.

MMP-9 was detected in immersion fixed SW1353 human chondrosarcoma cell line using Mouse Anti-Human/Primate MMP-9 Monoclonal Antibody (Catalog # MAB936) at 3 µg/mL for 3 hours at room temperature. Cells were stained using the NorthernLights™ 557-conjugated Anti-Mouse IgG Secondary Antibody (red; Catalog # NL007) and counterstained with DAPI (blue). Specific staining was localized to cytoplasm. View our protocol for Fluorescent ICC Staining of Cells on Coverslips.
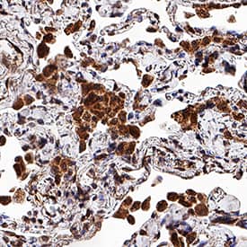
MMP-9 antibody in Human Lung by Immunohistochemistry (IHC-P).

MMP‑9 in Human Lung.

MMP-9 was detected in immersion fixed paraffin-embedded sections of human lung using Mouse Anti-Human/Primate MMP-9 Monoclonal Antibody (Catalog # MAB936) at 15 µg/mL for 1 hour at room temperature followed by incubation with the Anti-Mouse IgG VisUCyte™ HRP Polymer Antibody (Catalog # VC001). Tissue was stained using DAB (brown) and counterstained with hematoxylin (blue). Specific staining was localized to cytoplasm in macrophages. View our protocol for IHC Staining with VisUCyte HRP Polymer Detection Reagents.

Applications for Human/Primate MMP-9 Antibody

Application
Recommended Usage

Immunocytochemistry

3-25 µg/mL
Sample: Immersion fixed SW1353 human chondrosarcoma cell line

Immunohistochemistry

8-25 µg/mL
Sample:

Immersion fixed paraffin-embedded sections of human lung

Immunoprecipitation

25 µg/mL
Sample: Conditioned cell culture medium spiked with Recombinant Human MMP-9 (Catalog # 911-MP), see our available Western blot detection antibodies

Western Blot

1 µg/mL
Sample: Recombinant Human MMP-9 Western Blot Standard (Catalog # WBC018)

Human/Primate MMP-9 Sandwich Immunoassay

ELISA Capture (Matched Antibody Pair)
Recommended Concentration: 2-8 µg/mL
Use in combination with these reagents:
  • Detection Reagent: Human/Primate MMP-9 Biotinylated Antibody (Catalog # BAF911)
  • Standard: Recombinant Human MMP-9 Protein, CF (Catalog # 911-MP)
Please Note: Optimal dilutions of this antibody should be experimentally determined.

Reviewed Applications

Read 3 reviews rated 4.3 using MAB936 in the following applications:

Formulation, Preparation, and Storage

Purification

Protein A or G purified from hybridoma culture supernatant

Reconstitution

Reconstitute at 0.5 mg/mL in sterile PBS. For liquid material, refer to CoA for concentration.

Reconstitution Buffer Available:
Size / Price
Qty
Loading...

Formulation

Lyophilized from a 0.2 μm filtered solution in PBS with Trehalose. *Small pack size (SP) is supplied either lyophilized or as a 0.2 µm filtered solution in PBS.

Shipping

Lyophilized product is shipped at ambient temperature. Liquid small pack size (-SP) is shipped with polar packs. Upon receipt, store immediately at the temperature recommended below.

Stability & Storage

Use a manual defrost freezer and avoid repeated freeze-thaw cycles.
  • 12 months from date of receipt, -20 to -70 °C as supplied.
  • 1 month, 2 to 8 °C under sterile conditions after reconstitution.
  • 6 months, -20 to -70 °C under sterile conditions after reconstitution.

Background: MMP-9

Pro Matrix Metalloproteinase 9 (Pro-MMP-9) is an inactive proenzyme secreted by multiple cell types. The N-terminal pro region is proteolytically removed, resulting in active MMP-9, which can degrade collagens and elastin as well as several non-ECM molecules.

Long Name

Matrix Metalloproteinase 9

Alternate Names

CLG4B, Gelatinase B, GELB, MANDP2, MMP9

Entrez Gene IDs

4318 (Human); 17395 (Mouse); 81687 (Rat); 102117693 (Cynomolgus Monkey)

Gene Symbol

MMP9

Additional MMP-9 Products

Product Documents for Human/Primate MMP-9 Antibody

Certificate of Analysis

To download a Certificate of Analysis, please enter a lot number in the search box below.

Note: Certificate of Analysis not available for kit components.

Product Specific Notices for Human/Primate MMP-9 Antibody

For research use only

Loading...
Loading...
Loading...
Loading...