Skip to main content

Key Product Details

Species Reactivity

Validated:

Human

Cited:

Human, Mouse, Rabbit, Xenograft

Applications

Validated:

Immunohistochemistry, Western Blot, Immunocytochemistry, Immunoprecipitation

Cited:

Immunohistochemistry, Immunohistochemistry-Paraffin, Western Blot, Immunocytochemistry, ELISA Microarray Development, Proximity Ligation Assay, Zymography

Label

Unconjugated

Antibody Source

Polyclonal Goat IgG

Product Specifications

Immunogen

Chinese hamster ovary cell line CHO-derived recombinant human MMP-9

Specificity

Detects human and mouse MMP-9 in Western blots, dot blots, and human MMP-9 by immunocytochemistry. In Western blots, less than 1% cross-reactivity with recombinant human MMP-1, -2, -3, -7, -8, -10, -12, and -13 is observed.

Clonality

Polyclonal

Host

Goat

Isotype

IgG

Scientific Data Images for Human MMP-9 Antibody

MMP-9 antibody in NS0 Mouse Cell Line by Immunocytochemistry (ICC).

MMP-9 in NS0 Mouse Cell Line.

MMP-9 was detected in immersion fixed NS0 mouse myeloma cell line transfected with MMP-9 using 5 µg/mL Human MMP-9 Antigen Affinity-purified Polyclonal Antibody (Catalog # AF911) for 3 hours at room temperature. Cells were stained (red) and counterstained (green). View our protocol for Fluorescent ICC Staining of Cells on Coverslips.
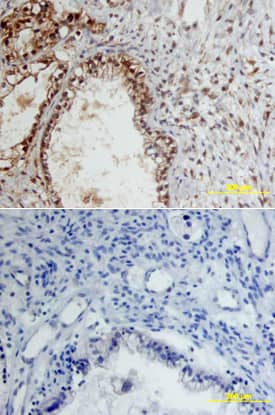
MMP-9 antibody in Human Ovarian Cancer Tissue by Immunohistochemistry (IHC-P).

MMP‑9 in Human Ovarian Cancer Tissue.

MMP-9 was detected in immersion fixed paraffin-embedded sections of human ovarian cancer tissue using Human MMP-9 Antigen Affinity-purified Polyclonal Antibody (Catalog # AF911) at 10 µg/mL overnight at 4 °C. Tissue was stained using the Anti-Goat HRP-DAB Cell & Tissue Staining Kit (brown; Catalog # CTS008) and counterstained with hematoxylin (blue). View our protocol for Chromogenic IHC Staining of Paraffin-embedded Tissue Sections.
MMP-9 antibody in MCF-7 Human Cell Line by Immunocytochemistry (ICC).

MMP‑9 in MCF‑7 Human Cell Line.

MMP-9 was detected in immersion fixed MCF-7 human breast cancer cell line using Human MMP-9 Antigen Affinity-purified Polyclonal Antibody (Catalog # AF911) at 10 µg/mL for 3 hours at room temperature. Cells were stained using the NorthernLights™ 557-conjugated Anti-Goat IgG Secondary Antibody (yellow; Catalog # NL001) and counterstained with DAPI (blue). View our protocol for Fluorescent ICC Staining of Cells on Coverslips.

Applications for Human MMP-9 Antibody

Application
Recommended Usage

Immunocytochemistry

5-15 µg/mL
Sample: Immersion fixed NS0 mouse myeloma cell line transfected with MMP-9 and immersion fixed MCF-7 human breast cancer cell line

Immunohistochemistry

5-15 µg/mL
Sample: Immersion fixed paraffin-embedded sections of human ovarian cancer tissue

Immunoprecipitation

25 µg/mL
Sample: Conditioned cell culture medium spiked with Recombinant Human MMP-9 (Catalog # 911-MP), see our available Western blot detection antibodies

Western Blot

0.1 µg/mL
Sample: Recombinant Human MMP-9 Western Blot Standard (Catalog # WBC018)

Reviewed Applications

Read 5 reviews rated 4.2 using AF911 in the following applications:

Formulation, Preparation, and Storage

Purification

Antigen Affinity-purified

Reconstitution

Reconstitute at 0.2 mg/mL in sterile PBS. For liquid material, refer to CoA for concentration.

Reconstitution Buffer Available:
Size / Price
Qty
Loading...

Formulation

Lyophilized from a 0.2 μm filtered solution in PBS with Trehalose. *Small pack size (SP) is supplied either lyophilized or as a 0.2 µm filtered solution in PBS.

Shipping

Lyophilized product is shipped at ambient temperature. Liquid small pack size (-SP) is shipped with polar packs. Upon receipt, store immediately at the temperature recommended below.

Stability & Storage

Use a manual defrost freezer and avoid repeated freeze-thaw cycles.
  • 12 months from date of receipt, -20 to -70 °C as supplied.
  • 1 month, 2 to 8 °C under sterile conditions after reconstitution.
  • 6 months, -20 to -70 °C under sterile conditions after reconstitution.

Background: MMP-9

Pro-MMP-9 is an inactive proenzyme secreted by multiple cell types. The N-terminal pro region is proteolytically removed, resulting in active MMP-9 which can degrade collagens and elastin as well as several non-ECM molecules.

Long Name

Matrix Metalloproteinase 9

Alternate Names

CLG4B, Gelatinase B, GELB, MANDP2, MMP9

Entrez Gene IDs

4318 (Human); 17395 (Mouse); 81687 (Rat); 102117693 (Cynomolgus Monkey)

Gene Symbol

MMP9

Additional MMP-9 Products

Product Documents for Human MMP-9 Antibody

Certificate of Analysis

To download a Certificate of Analysis, please enter a lot number in the search box below.

Note: Certificate of Analysis not available for kit components.

Product Specific Notices for Human MMP-9 Antibody

For research use only

Loading...
Loading...
Loading...
Loading...