Skip to main content

Key Product Details

Species Reactivity

Validated:

Human

Cited:

Human

Applications

Validated:

Immunohistochemistry, Western Blot, Flow Cytometry, CyTOF-ready

Cited:

Western Blot, Immunoprecipitation

Label

Unconjugated

Antibody Source

Monoclonal Mouse IgM Clone # 691723

Product Specifications

Immunogen

Mouse myeloma cell line NS0-derived recombinant mouse N-Cadherin
Asp160-Ala724
Accession # P19022.4

Specificity

Detects mouse N-Cadherin in direct ELISAs and Western blots. In direct ELISAs approximately 50% cross-reactivity with recombinant mouse N-Cadherin is observed, and no cross-reactivity with recombinant human (rh) E-Cadherin, rhP-Cadherin, rhVE-Cadherin, rhCadherin-4, -8, -11, -12, or -13 is observed.

Clonality

Monoclonal

Host

Mouse

Isotype

IgM

Scientific Data Images for Human N-Cadherin Antibody

Detection of Human, Mouse, and Rat N-Cadherin antibody by Western Blot.

Detection of Human, Mouse, and Rat N-Cadherin by Western Blot.

Western blot shows lysates of A549 human lung carcinoma cell line, C2C12 mouse myoblast cell line, and rat brain tissue. PVDF membrane was probed with 1 µg/mL of Mouse Anti-Human N-Cadherin Monoclonal Antibody (Catalog # MAB13881) followed by HRP-conjugated Anti-Mouse IgG Secondary Antibody (Catalog # HAF007). A specific band was detected for N-Cadherin at approximately 130 kDa (as indicated). This experiment was conducted under reducing conditions and using Immunoblot Buffer Group 1.
Detection of N-Cadherin antibody in HeLa Human Cell Line antibody by Flow Cytometry.

Detection of N-Cadherin in HeLa Human Cell Line by Flow Cytometry.

HeLa human cervical epithelial carcinoma cell line was stained with Mouse Anti-Human N-Cadherin Monoclonal Antibody (Catalog # MAB13881, filled histogram) or isotype control antibody mouse IgM (open histogram), followed by Phycoerythrin-conjugated Anti-Mouse IgM Secondary Antibody (Catalog # F0116).
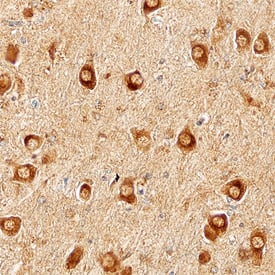
N-Cadherin antibody in Human Brain by Immunohistochemistry (IHC-P).

N‑Cadherin in Human Brain.

N-Cadherin was detected in immersion fixed paraffin-embedded sections of Alzheimer's human brain using Mouse Anti-Human N-Cadherin Monoclonal Antibody (Catalog # MAB13881) at 15 µg/mL overnight at 4 °C. Before incubation with the primary antibody, tissue was subjected to heat-induced epitope retrieval using Antigen Retrieval Reagent-Basic (Catalog # CTS013). Tissue was stained using the Anti-Mouse HRP-DAB Cell & Tissue Staining Kit (brown; Catalog # CTS002) and counterstained with hematoxylin (blue). Specific staining was localized to cytoplasm of neurons. View our protocol for Chromogenic IHC Staining of Paraffin-embedded Tissue Sections.

Applications for Human N-Cadherin Antibody

Application
Recommended Usage

CyTOF-ready

Ready to be labeled using established conjugation methods. No BSA or other carrier proteins that could interfere with conjugation.

Flow Cytometry

2.5 µg/106 cells
Sample: HeLa human cervical epithelial carcinoma cell line

Immunohistochemistry

8-25 µg/mL
Sample: Immersion fixed paraffin-embedded sections of human Alzheimer's brain

Western Blot

1 µg/mL
Sample: A549 human lung carcinoma cell line, C2C12 mouse myoblast cell line, and rat brain tissue

Reviewed Applications

Read 1 review rated 3 using MAB13881 in the following applications:

Formulation, Preparation, and Storage

Purification

Protein A or G purified from hybridoma culture supernatant

Reconstitution

Sterile PBS to a final concentration of 0.5 mg/mL. For liquid material, refer to CoA for concentration.

Reconstitution Buffer Available:
Size / Price
Qty
Loading...

Formulation

Lyophilized from a 0.2 μm filtered solution in PBS with Trehalose. *Small pack size (SP) is supplied either lyophilized or as a 0.2 µm filtered solution in PBS.

Shipping

Lyophilized product is shipped at ambient temperature. Liquid small pack size (-SP) is shipped with polar packs. Upon receipt, store immediately at the temperature recommended below.

Stability & Storage

Use a manual defrost freezer and avoid repeated freeze-thaw cycles.
  • 12 months from date of receipt, -20 to -70 °C as supplied.
  • 1 month, 2 to 8 °C under sterile conditions after reconstitution.
  • 6 months, -20 to -70 °C under sterile conditions after reconstitution.

Background: N-Cadherin

Neuronal Cadherin (N-Cadherin or NCAD), also known as Cadherin-2 (CDH2), is a 130 kDa type I membrane protein belonging to the Cadherin superfamily of calcium-dependent adhesion molecules. Cadherins are involved in multiple processes including embryonic development, cell migration, and maintenance of epithelial integrity (1, 2). Human N‑Cadherin is synthesized with a 25 amino acid (aa) signal peptide and a 134 aa N‑terminal propeptide. The mature cell surface‑expressed protein consists of a 565 amino acid (aa) extracellular domain (ECD) that contains five Cadherin repeats, a 21 aa transmembrane segment, and a 161 aa cytoplasmic domain (3). Within the ECD, human N-Cadherin shares 98% aa sequence identity with mouse and rat N-Cadherin. In the nervous system, N-Cadherin mediates adhesion between the opposing faces of developing neuronal synapses and between Schwann cells and neuronal axons (4, 5). It interacts in cis or in trans homophilically and with the GluR2 subunit of neuronal AMPA receptors (1, 6). During synaptic maturation, its expression is lost from inhibitory terminals but maintained at excitatory terminals (5). ADAM10-mediated shedding of the N-Cadherin ECD alters cell-cell adhesion, synaptic development, and AMPA receptor activity (7, 8). N-Cadherin can also be cleaved at multiple additional sites within the intracellular or extracellular domains by Calpain, gamma‑Secretase, and several MMPs (9 - 13). Cleavage of N‑Cadherin in atherosclerotic plaques contributes alternatively to vascular smooth muscle cell proliferation (MMP-9 and -12) or apoptosis (MMP‑7) (12, 13). Aberrant cell surface expression of the pro and mature forms of N-Cadherin in cancer results in increased tumor progression and invasiveness (14, 15). N-Cadherin also mediates the adhesion between hematopoeitic progenitor cells and mesenchymal stromal cells of the bone marrow (16).

References

  1. Pokutta, S. and W.I. Weis (2007) Annu. Rev. Cell Dev. Biol. 23:237.
  2. Gumbiner, B.M. (2005) Nat. Rev. Mol. Cell Biol. 6:622.
  3. Reid, R.A. and J.J. Hemperly (1990) Nucleic Acids Res. 18:5896.
  4. Wanner, I.B. and P.M. Wood (2002) J. Neurosci. 22:4066.
  5. Benson, D.L. and H. Tanaka (1998) J. Neurosci. 18:6892.
  6. Saglietti, L. et al. (2007) Neuron 54:461.
  7. Reiss, K. et al. (2005) EMBO J. 24:742.
  8. Malinverno, M. et al. (2010) J. Neurosci. 30:16343.
  9. Jang, Y.-N. et al. (2009) J. Neurosci. 29:5974.
  10. Uemura, K. et al. (2006) Neurosci. Lett. 402:278.
  11. Hartland, S.N. et al. (2009) Liver Int. 29:966.
  12. Williams, H. et al. (2010) Cardiovasc. Res. 87:137.
  13. Dwivedi, A. et al. (2009) Cardiovasc. Res. 81:178.
  14. Maret, D. et al. (2010) Neoplasia 12:1066.
  15. Tanaka, H. et al. (2010) Nat. Med. 16:1414.
  16. Wein, F. et al. (2010) Stem Cell Res. 4:129.

Long Name

Neural Cadherin

Alternate Names

Cadherin-2, CD325, CDH2, NCadherin

Entrez Gene IDs

1000 (Human); 12558 (Mouse); 83501 (Rat)

Gene Symbol

CDH2

UniProt

Additional N-Cadherin Products

Product Documents for Human N-Cadherin Antibody

Certificate of Analysis

To download a Certificate of Analysis, please enter a lot number in the search box below.

Note: Certificate of Analysis not available for kit components.

Product Specific Notices for Human N-Cadherin Antibody

For research use only

Loading...
Loading...
Loading...
Loading...
Loading...