Skip to main content

Key Product Details

Species Reactivity

Human, Mouse, Rat

Applications

Immunohistochemistry, Western Blot, Immunocytochemistry

Label

Unconjugated

Antibody Source

Monoclonal Mouse IgG1 Clone # 692624

Product Specifications

Immunogen

E. coli-derived recombinant human Zyxin
Lys265-Leu383
Accession # Q15942

Specificity

Detects human Zyxin in direct ELISAs and Western blots.

Clonality

Monoclonal

Host

Mouse

Isotype

IgG1

Scientific Data Images for Human/Mouse/Rat Zyxin Antibody

Detection of Human, Mouse, and Rat Zyxin antibody by Western Blot.

Detection of Human, Mouse, and Rat Zyxin by Western Blot.

Western blot shows lysates of Human cervical epithelial carcinoma cell line, PT18 mouse mast/ basophil cell line, Neuro-2A mouse neuroblastoma cell line, L6 rat myoblast cell line, and PC-12 rat adrenal pheochromocytoma cell line. PVDF membrane was probed with 0.5 µg/mL of Mouse Anti-Human/Mouse/Rat Zyxin Monoclonal Antibody (Catalog # MAB6977) followed by HRP-conjugated Anti-Mouse IgG Secondary Antibody (Catalog # HAF007). A specific band was detected for Zyxin at approximately 82 kDa (as indicated). This experiment was conducted under reducing conditions and using Immunoblot Buffer Group 1.
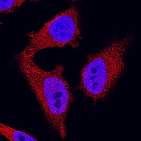
Zyxin antibody in A549 Human Cell Line by Immunocytochemistry (ICC).

Zyxin in A549 Human Cell Line.

Zyxin was detected in immersion fixed A549 human lung carcinoma cell line using Mouse Anti-Human/Mouse/Rat Zyxin Monoclonal Antibody (Catalog # MAB6977) at 3 µg/mL for 3 hours at room temperature. Cells were stained using the NorthernLights™ 557-conjugated Anti-Mouse IgG Secondary Antibody (red; Catalog # NL007) and counterstained with DAPI (blue). Specific staining was localized to cytoplasm and nuclei. View our protocol for Fluorescent ICC Staining of Cells on Coverslips.
Zyxin antibody in Rat Spinal Cord by Immunohistochemistry (IHC-Fr).

Zyxin in Rat Spinal Cord.

Zyxin was detected in perfusion fixed frozen sections of rat spinal cord using Mouse Anti-Human/Mouse/Rat Zyxin Monoclonal Antibody (Catalog # MAB6977) at 3 µg/mL for 1 hour at room temperature followed by incubation with the Anti-Mouse IgG VisUCyte™ HRP Polymer Antibody (Catalog # VC001). Tissue was stained using DAB (brown) and counterstained with hematoxylin (blue). Specific staining was localized to motor neurons and dorsal horn. View our protocol for IHC Staining with VisUCyte HRP Polymer Detection Reagents.

Applications for Human/Mouse/Rat Zyxin Antibody

Application
Recommended Usage

Immunocytochemistry

3-25 µg/mL
Sample: Immersion fixed A549 human lung carcinoma cell line

Immunohistochemistry

3-25 µg/mL
Sample: Perfusion fixed frozen sections of rat spinal cord

Western Blot

0.5 µg/mL
Sample: Human cervical epithelial carcinoma cell line, PT18 mouse mast/basophil cell line, Neuro‑2A mouse neuroblastoma cell line, L6 rat myoblast cell line, and PC‑12 rat adrenal pheochromocytoma cell line

Reviewed Applications

Read 1 review rated 5 using MAB6977 in the following applications:

Formulation, Preparation, and Storage

Purification

Protein A or G purified from hybridoma culture supernatant

Reconstitution

Sterile PBS to a final concentration of 0.5 mg/mL. For liquid material, refer to CoA for concentration.

Reconstitution Buffer Available:
Size / Price
Qty
Loading...

Formulation

Lyophilized from a 0.2 μm filtered solution in PBS with Trehalose. *Small pack size (SP) is supplied either lyophilized or as a 0.2 µm filtered solution in PBS.

Shipping

Lyophilized product is shipped at ambient temperature. Liquid small pack size (-SP) is shipped with polar packs. Upon receipt, store immediately at the temperature recommended below.

Stability & Storage

Use a manual defrost freezer and avoid repeated freeze-thaw cycles.
  • 12 months from date of receipt, -20 to -70 °C as supplied.
  • 1 month, 2 to 8 °C under sterile conditions after reconstitution.
  • 6 months, -20 to -70 °C under sterile conditions after reconstitution.

Background: Zyxin

Zyxin (ZYX), also known as Zyxin 2, is an approximately 80-85 kDa intracellular protein that functions in the regulation of actin cytoskeleton dynamics. Zyxin plays a role in remodeling of the actin cytoskeleton during wound healing, cell migration, cell adhesion, and epithelial-mesenchymal transition. The N-terminal region of Zyxin is proline-rich, while the C-terminal region contains three tandem LIM zinc-binding domains (aa 384-570). Within aa 265-383, human Zyxin shares 81% and 84% aa sequence identity with mouse and rat Zyxin, respectively.

Alternate Names

Zyx, Zyxin 2

Entrez Gene IDs

7791 (Human); 22793 (Mouse); 114636 (Rat)

Gene Symbol

ZYX

UniProt

Additional Zyxin Products

Product Documents for Human/Mouse/Rat Zyxin Antibody

Certificate of Analysis

To download a Certificate of Analysis, please enter a lot number in the search box below.

Note: Certificate of Analysis not available for kit components.

Product Specific Notices for Human/Mouse/Rat Zyxin Antibody

For research use only

Loading...
Loading...
Loading...
Loading...