Skip to main content

Key Product Details

Species Reactivity

Human, Mouse, Rat

Applications

Immunohistochemistry, Western Blot

Label

Unconjugated

Antibody Source

Monoclonal Mouse IgG1 Clone # 728906

Product Specifications

Immunogen

E. coli-derived recombinant human PDCD5
Ala2-Tyr125
Accession # O14737

Specificity

Detects human PDCD5 in direct ELISAs and Western blots. In direct ELISAs, no cross-reactivity with recombinant human PDCD6 is observed.

Clonality

Monoclonal

Host

Mouse

Isotype

IgG1

Scientific Data Images for Human/Mouse/Rat PDCD5 Antibody

Detection of Human, Mouse, and Rat PDCD5 antibody by Western Blot.

Detection of Human, Mouse, and Rat PDCD5 by Western Blot.

Western blot shows lysates of HEK293 human embryonic kidney cell line, EL-4 mouse lymphoblast cell line, and L6 rat myoblast cell line. PVDF membrane was probed with 0.5 µg/mL of Mouse Anti-Human/Mouse/Rat PDCD5 Polyclonal Antibody (Catalog # MAB7325) followed by HRP-conjugated Anti-Mouse IgG Secondary Antibody (Catalog # HAF007). A specific band was detected for PDCD5 at approximately 15 kDa (as indicated). This experiment was conducted under reducing conditions and using Immunoblot Buffer Group 1.
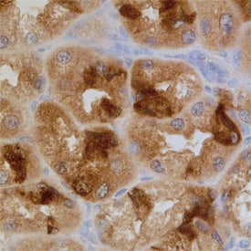
PDCD5 antibody in Human Stomach by Immunohistochemistry (IHC-P).

PDCD5 in Human Stomach.

PDCD5 was detected in immersion fixed paraffin-embedded sections of human stomach using Mouse Anti-Human/Mouse/Rat PDCD5 Monoclonal Antibody (Catalog # MAB7325) at 15 µg/mL overnight at 4 °C. Before incubation with the primary antibody, tissue was subjected to heat-induced epitope retrieval using Antigen Retrieval Reagent-Basic (Catalog # CTS013). Tissue was stained using the Anti-Mouse HRP-DAB Cell & Tissue Staining Kit (brown; Catalog # CTS002) and counterstained with hematoxylin (blue). Specific staining was localized to cytoplasm of epithelial cells in gastric glands. View our protocol for Chromogenic IHC Staining of Paraffin-embedded Tissue Sections.

Applications for Human/Mouse/Rat PDCD5 Antibody

Application
Recommended Usage

Immunohistochemistry

8-25 µg/mL
Sample: Immersion fixed paraffin-embedded sections of human stomach

Western Blot

0.5 µg/mL
Sample: HEK293 human embryonic kidney cell line, EL‑4 mouse lymphoblast cell line, and L6 rat myoblast cell line

Reviewed Applications

Read 1 review rated 5 using MAB7325 in the following applications:

Formulation, Preparation, and Storage

Purification

Protein A or G purified from hybridoma culture supernatant

Reconstitution

Sterile PBS to a final concentration of 0.5 mg/mL. For liquid material, refer to CoA for concentration.

Reconstitution Buffer Available:
Size / Price
Qty
Loading...

Formulation

Lyophilized from a 0.2 μm filtered solution in PBS with Trehalose. *Small pack size (SP) is supplied either lyophilized or as a 0.2 µm filtered solution in PBS.

Shipping

Lyophilized product is shipped at ambient temperature. Liquid small pack size (-SP) is shipped with polar packs. Upon receipt, store immediately at the temperature recommended below.

Stability & Storage

Use a manual defrost freezer and avoid repeated freeze-thaw cycles.
  • 12 months from date of receipt, -20 to -70 °C as supplied.
  • 1 month, 2 to 8 °C under sterile conditions after reconstitution.
  • 6 months, -20 to -70 °C under sterile conditions after reconstitution.

Background: PDCD5

PDCD5 (programmed cell death 5), also called TFAR19 (TF-1 cell apoptosis-related 19) is a ubiquitously expressed, approximately 15 kDa protein that is upregulated during apoptosis and downregulated in many cancer cell types. Of its 124 amino acids (aa), 44 are acidic or basic. PDCD5 also contains two acetylated aa and one constitutively phosphorylated aa, S119, which is involved in promoting apoptosis. Human PDCD5 shares 95% and 96% aa sequence identity with mouse and rat PDCD5, respectively.

Long Name

Programmed Cell Death 5

Alternate Names

PD5, TFAR19

Entrez Gene IDs

9141 (Human); 56330 (Mouse); 292814 (Rat)

Gene Symbol

PDCD5

UniProt

Additional PDCD5 Products

Product Documents for Human/Mouse/Rat PDCD5 Antibody

Certificate of Analysis

To download a Certificate of Analysis, please enter a lot number in the search box below.

Note: Certificate of Analysis not available for kit components.

Product Specific Notices for Human/Mouse/Rat PDCD5 Antibody

For research use only

Loading...
Loading...
Loading...
Loading...