Skip to main content

Human/Mouse/Rat MBP Antibody

R&D Systems, part of Bio-Techne | Catalog # MAB42282

R&D Systems, part of Bio-Techne

Key Product Details

Species Reactivity

Validated:

Human, Mouse, Rat

Cited:

Human, Mouse, Rat, Transgenic Mouse

Applications

Validated:

Immunohistochemistry, Western Blot, Immunocytochemistry

Cited:

Immunohistochemistry, Western Blot, Immunocytochemistry

Label

Unconjugated

Antibody Source

Monoclonal Mouse IgG1 Clone # 932908

Product Specifications

Immunogen

Purified MBP from bovine brain
Accession # P02686

Specificity

Detects human, mouse, and rat MBP

Clonality

Monoclonal

Host

Mouse

Isotype

IgG1

Scientific Data Images for Human/Mouse/Rat MBP Antibody

Detection of Human MBP antibody by Western Blot.

Detection of Human MBP by Western Blot.

Western blot shows lysates of mouse brain (cerebellum) tissue and rat brain (cerebellum). PVDF membrane was probed with 0.1 µg/mL of Mouse Anti-Human/Mouse/Rat MBP Monoclonal Antibody (Catalog # MAB42282) followed by HRP-conjugated Anti-Mouse IgG Secondary Antibody (Catalog # HAF018). Specific bands were detected for MBP at approximately 15-22 kDa (as indicated). This experiment was conducted under reducing conditions and using Immunoblot Buffer Group 1.
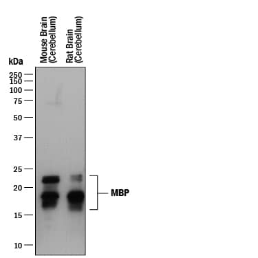
Detection of Mouse and Rat MBP antibody by Western Blot.

Detection of Mouse and Rat MBP by Western Blot.

Western blot shows lysates of mouse brain (cerebellum) tissue and rat brain (cerebellum) tissue. PVDF membrane was probed with 0.1 µg/mL of Mouse Anti-Human/Mouse/Rat MBP Monoclonal Antibody (Catalog # MAB42282) followed by HRP-conjugated Anti-Mouse IgG Secondary Antibody (Catalog # HAF018). Specific bands were detected for MBP at approximately 15-22 kDa (as indicated). This experiment was conducted under reducing conditions and using Immunoblot Buffer Group 1.
MBP antibody in Rat Cortical Stem Cells by Immunocytochemistry (ICC).

MBP in Rat Cortical Stem Cells.

MBP was detected in immersion fixed rat cortical stem cells differentiated for 7 days to oligodendrocytes using Mouse Anti-Human/Mouse/Rat MBP Monoclonal Antibody (Catalog # MAB42282) at 10 µg/mL for 3 hours at room temperature. Cells were stained using the NorthernLights™ 557-conjugated Anti-Mouse IgG Secondary Antibody (red; Catalog # NL007) and counterstained with DAPI (blue). Specific staining was localized to cell surfaces, cytoplasm, and nuclei. View our protocol for Fluorescent ICC Staining of Stem Cells on Coverslips.

Applications for Human/Mouse/Rat MBP Antibody

Application
Recommended Usage

Immunocytochemistry

8-25 µg/mL
Sample: Immersion fixed rat cortical stem cells differentiated for 7 days to oligodendrocytes

Immunohistochemistry

0.1-25 µg/mL
Sample: Perfusion fixed frozen sections of human brain, mouse brain, and rat brain

Western Blot

0.1 µg/mL
Sample: Human brain (cerebellum) tissue, Human brain (motor cortex) tissue, Mouse brain (cerebellum) tissue, and Rat brain (cerebellum) tissue

Reviewed Applications

Read 5 reviews rated 5 using MAB42282 in the following applications:

Formulation, Preparation, and Storage

Purification

Protein A or G purified from hybridoma culture supernatant

Reconstitution

Reconstitute at 0.5 mg/mL in sterile PBS. For liquid material, refer to CoA for concentration.

Reconstitution Buffer Available:
Size / Price
Qty
Loading...

Formulation

Lyophilized from a 0.2 μm filtered solution in PBS with Trehalose. *Small pack size (SP) is supplied either lyophilized or as a 0.2 µm filtered solution in PBS.

Shipping

Lyophilized product is shipped at ambient temperature. Liquid small pack size (-SP) is shipped with polar packs. Upon receipt, store immediately at the temperature recommended below.

Stability & Storage

Use a manual defrost freezer and avoid repeated freeze-thaw cycles.
  • 12 months from date of receipt, -20 to -70 °C as supplied.
  • 1 month, 2 to 8 °C under sterile conditions after reconstitution.
  • 6 months, -20 to -70 °C under sterile conditions after reconstitution.

Background: MBP

Myelin Basic Protein (MBP) is the most abundant protein component of the myelin membrane in the central nervous system. MBP has a role in both the formation and stabilization of this compact multilayer arrangement of bilayers. In vitro, MBP is suitable as a substrate for numerous protein kinases, including the ERK and p38 MAP kinases that phosphorylate MBP at T98.

Long Name

Myelin Basic Protein

Alternate Names

Hmbpr, mld, shi

Entrez Gene IDs

4155 (Human); 17196 (Mouse); 24547 (Rat)

Gene Symbol

MBP

UniProt

Additional MBP Products

Product Documents for Human/Mouse/Rat MBP Antibody

Certificate of Analysis

To download a Certificate of Analysis, please enter a lot number in the search box below.

Note: Certificate of Analysis not available for kit components.

Product Specific Notices for Human/Mouse/Rat MBP Antibody

For research use only

Loading...
Loading...
Loading...
Loading...