Skip to main content

Key Product Details

Species Reactivity

Validated:

Human, Mouse, Rat, Chicken

Cited:

Human, Mouse, Rat, Porcine, Avian - Chicken, Avian - Duck, Fish - Danio rerio (Zebrafish), Frog - Xenopus (African Clawed Frog), Ovine

Applications

Validated:

Immunohistochemistry, Immunocytochemistry

Cited:

Immunohistochemistry, Immunohistochemistry-Paraffin, Immunohistochemistry-Frozen, Western Blot, Flow Cytometry, Immunocytochemistry, Immunocytochemistry/ Immunofluorescence, IHC frozen fixed

Label

Unconjugated

Antibody Source

Monoclonal Mouse IgG1 Clone # PAX7

Product Specifications

Immunogen

E. coli-derived recombinant chicken Pax7
aa 352-523

Specificity

Detects human, mouse, rat, and chicken Pax7 (3-8).

Clonality

Monoclonal

Host

Mouse

Isotype

IgG1

Scientific Data Images for Human/Mouse/Rat/Chicken Pax7 Antibody

Pax7 antibody in C2C12 Mouse Cell Line by Immunocytochemistry (ICC).

Pax7 in C2C12 Mouse Cell Line.

Pax7 was detected in immersion fixed C2C12 mouse myoblast cell line using 10 µg/mL Mouse Anti-Human/Mouse/Rat/Chicken Pax7 Monoclonal Antibody (Catalog # MAB1675) for 3 hours at room temperature. Cells were stained (red). View our protocol for Fluorescent ICC Staining of Cells on Coverslips.
Pax7 antibody in iBJ6 iPS Cell Line by Immunocytochemistry (ICC).

Pax7 in iBJ6 iPS Cell Line.

Pax7 was detected in immersion fixed iBJ6 iPS cell line differentiated into myoblasts using Mouse Anti-Human/Mouse/Rat/Chicken Pax7 Monoclonal Antibody (Catalog # MAB1675) at 10 µg/mL for 3 hours at room temperature. Cells were stained using the NorthernLights™ 557-conjugated Anti-Mouse IgG Secondary Antibody (red; Catalog # NL007) and counterstained with DAPI (blue). Specific staining was localized to nuclei. View our protocol for Fluorescent ICC Staining of Stem Cells on Coverslips.

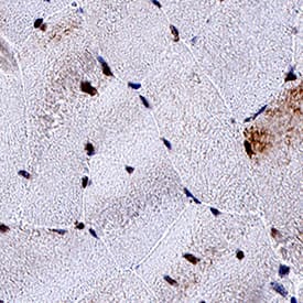
Pax7 in Human Skeletal Muscle.

Pax7 was detected in immersion fixed paraffin-embedded sections of human skeletal muscle using Mouse Anti-Human/Mouse/Rat/Chicken Pax7 Monoclonal Antibody (Catalog # MAB1675) at 5 µg/mL for 1 hour at room temperature followed by incubation with the Anti-Mouse IgG VisUCyte™ HRP Polymer Antibody (VC001). Before incubation with the primary antibody, tissue was subjected to heat-induced epitope retrieval using Antigen Retrieval Reagent-Basic (CTS013). Tissue was stained using DAB (brown) and counterstained with hematoxylin (blue). Specific staining was localized to cell nuclei. Staining was performed using our protocol for IHC Staining with VisUCyte HRP Polymer Detection Reagents.

Applications for Human/Mouse/Rat/Chicken Pax7 Antibody

Application
Recommended Usage

Immunocytochemistry

8-25 µg/mL
Sample: Immersion fixed C2C12 mouse myoblast cell line and iBJ6 iPS cell line differentiated into myoblasts

Immunohistochemistry

5-25 µg/mL
Sample: Immersion fixed paraffin-embedded sections of human skeletal muscle

Reviewed Applications

Read 4 reviews rated 4.8 using MAB1675 in the following applications:

Formulation, Preparation, and Storage

Purification

Protein A or G purified from hybridoma culture supernatant

Reconstitution

Reconstitute at 0.5 mg/mL in sterile PBS. For liquid material, refer to CoA for concentration.

Reconstitution Buffer Available:
Size / Price
Qty
Loading...

Formulation

Lyophilized from a 0.2 μm filtered solution in PBS with Trehalose. *Small pack size (SP) is supplied either lyophilized or as a 0.2 µm filtered solution in PBS.

Shipping

Lyophilized product is shipped at ambient temperature. Liquid small pack size (-SP) is shipped with polar packs. Upon receipt, store immediately at the temperature recommended below.

Stability & Storage

Use a manual defrost freezer and avoid repeated freeze-thaw cycles.
  • 12 months from date of receipt, -20 to -70 °C as supplied.
  • 1 month, 2 to 8 °C under sterile conditions after reconstitution.
  • 6 months, -20 to -70 °C under sterile conditions after reconstitution.

Background: Pax7

Pax7 belongs to the paired box protein family of transcription factors. It is an important regulator of neural and skeletal muscle development (1 - 3).

References

  1. Jostes, B. et al. (1990) Mech. Dev. 33(1):27.
  2. Asakura, A. et al. (2001) Differentiation 68(4-5):245.
  3. Kawakami, A. et al. (1997) Mech. Dev. 66:119.
  4. Ericson, J. et al. (1996) Cell 87:661.
  5. Berggren, K. et al. (2001) Dev. Dyn. 222:1.
  6. Takebayashi, H. et al. (2002) Mech. Dev. 113:169.
  7. McLoon, L.K. and J. Wirtschafter (2003) Invest. Opthamal. Vis. Sci. 44:1927.
  8. Yamamoto, S. et al. (2001) J. Neurosci. 21:9814.

Long Name

Paired Box Gene 7

Alternate Names

HUP1, RMS2

Entrez Gene IDs

5081 (Human); 18509 (Mouse); 500574 (Rat)

Gene Symbol

PAX7

Additional Pax7 Products

Product Documents for Human/Mouse/Rat/Chicken Pax7 Antibody

Certificate of Analysis

To download a Certificate of Analysis, please enter a lot number in the search box below.

Note: Certificate of Analysis not available for kit components.

Product Specific Notices for Human/Mouse/Rat/Chicken Pax7 Antibody

For research use only

Loading...
Loading...
Loading...
Loading...
Loading...