Skip to main content

Key Product Details

Species Reactivity

Validated:

Human, Mouse, Rat

Cited:

Human, Mouse

Applications

Validated:

Immunohistochemistry, Western Blot, Simple Western

Cited:

Western Blot

Label

Unconjugated

Antibody Source

Monoclonal Mouse IgG2B Clone # 669922

Product Specifications

Immunogen

E.coli-derived recombinant human Beclin 1
Met12-Gln239
Accession # Q14457

Specificity

Detects human Beclin 1 in direct ELISAs. Detects human, mouse, and rat Beclin 1 in Western blots. In direct ELISAs,no cross-reactivity with recombinant human ATG3, 4A, 4B, 5, 7, 10, 12, or 16L1 is observed.

Clonality

Monoclonal

Host

Mouse

Isotype

IgG2B

Scientific Data Images for Human/Mouse/Rat Beclin 1 Antibody

Detection of Human, Mouse, and Rat Beclin 1 antibody by Western Blot.

Detection of Human, Mouse, and Rat Beclin 1 by Western Blot.

Western blot shows lysates of A431 human epithelial carcinoma cell line, A20 mouse B cell lymphoma cell line, and NRK rat normal kidney cell line. PVDF Membrane was probed with 0.1 µg/mL of Mouse Anti-Human Beclin 1 Monoclonal Antibody (Catalog # MAB5295) followed by HRP-conjugated Anti-Mouse IgG Secondary Antibody (HAF007). A specific band was detected for Beclin 1 at approximately 60 kDa (as indicated). This experiment was conducted under reducing conditions and using Immunoblot Buffer Group 2.
Detection of Human Beclin 1 antibody by Simple WesternTM.

Detection of Human Beclin 1 by Simple WesternTM.

Simple Western lane view shows lysates of human brain (cerebellum) tissue, loaded at 0.2 mg/mL. A specific band was detected for Beclin 1 at approximately 58 kDa (as indicated) using 1 µg/mL of Mouse Anti-Human/Mouse/Rat Beclin 1 Monoclonal Antibody (Catalog # MAB5295). This experiment was conducted under reducing conditions and using the 12-230 kDa separation system.
Detection of Mouse Beclin 1 antibody by Simple WesternTM.

Detection of Mouse Beclin 1 by Simple WesternTM.

Simple Western lane view shows lysates of mouse brain tissue, loaded at 0.2 mg/mL. A specific band was detected for Beclin 1 at approximately 58 kDa (as indicated) using 1 µg/mL of Mouse Anti-Human/Mouse/Rat Beclin 1 Monoclonal Antibody (Catalog # MAB5295). This experiment was conducted under reducing conditions and using the 12-230 kDa separation system.

Applications for Human/Mouse/Rat Beclin 1 Antibody

Application
Recommended Usage

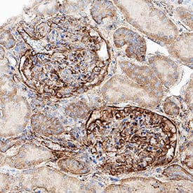
Immunohistochemistry

3-15 µg/mL
Sample: Immersion fixed paraffin-embedded sections of Human Kidney

Simple Western

1 µg/mL
Sample: Human brain (cerebellum) tissue and mouse brain tissue

Western Blot

0.1 µg/mL
Sample: A431 human epithelial carcinoma cell line, A20 mouse B cell lymphoma cell line, and NRK rat normal kidney cell line

Reviewed Applications

Read 1 review rated 5 using MAB5295 in the following applications:

Formulation, Preparation, and Storage

Purification

Protein A or G purified from hybridoma culture supernatant

Reconstitution

Sterile PBS to a final concentration of 0.5 mg/mL. For liquid material, refer to CoA for concentration.

Reconstitution Buffer Available:
Size / Price
Qty
Loading...

Formulation

Lyophilized from a 0.2 μm filtered solution in PBS with Trehalose. *Small pack size (SP) is supplied either lyophilized or as a 0.2 µm filtered solution in PBS.

Shipping

Lyophilized product is shipped at ambient temperature. Liquid small pack size (-SP) is shipped with polar packs. Upon receipt, store immediately at the temperature recommended below.

Stability & Storage

Use a manual defrost freezer and avoid repeated freeze-thaw cycles.
  • 12 months from date of receipt, -20 to -70 °C as supplied.
  • 1 month, 2 to 8 °C under sterile conditions after reconstitution.
  • 6 months, -20 to -70 °C under sterile conditions after reconstitution.

Background: Beclin 1

Beclin 1 (Bcl-2 interacting coiled-coil protein; also know as ATG6) is a 60 kDa member of the Beclin family of proteins. It is part of a lipid-kinase complex that includes UVRAG and PI3 and induces autophagy; in the presence of Bcl-2, autophagy is repressed. Beclin 1 is widely expressed but abundantly found in mammary epithelium, glia and neurons. Human Beclin 1 is 450 amino acids (aa) in length and contains a Bcl-2 binding domain (aa 88‑150), a nuclear export signal motif (aa 180‑189), a coiled-coil region (aa 142‑270), and an evolutionary conserved domain (aa 244‑337). There is one potential alternate start site at Met88. Over aa 12‑239, human Beclin 1 is 98% aa identical to mouse Beclin 1.

Long Name

Beclin1, Autophagy-related

Alternate Names

ATG6, BECN1, GT197, VPS30

Entrez Gene IDs

8678 (Human); 56208 (Mouse); 114558 (Rat)

Gene Symbol

BECN1

UniProt

Additional Beclin 1 Products

Product Documents for Human/Mouse/Rat Beclin 1 Antibody

Certificate of Analysis

To download a Certificate of Analysis, please enter a lot number in the search box below.

Note: Certificate of Analysis not available for kit components.

Product Specific Notices for Human/Mouse/Rat Beclin 1 Antibody

For research use only

Loading...
Loading...
Loading...
Loading...