Skip to main content

Human/Mouse p23/PTGES3 Antibody

R&D Systems, part of Bio-Techne | Catalog # MAB100391

R&D Systems, part of Bio-Techne

Key Product Details

Species Reactivity

Human, Mouse

Applications

Immunohistochemistry, Western Blot, Immunocytochemistry

Label

Unconjugated

Antibody Source

Monoclonal Mouse IgG2B Clone # 998327

Product Specifications

Immunogen

E. coli-derived recombinant human p/23PTGES-3
Gln21-Glu160
Accession # Q15185

Specificity

Detects human p23/PTGES-3 in direct ELISAs. Detects human and mouse p23/PTGES-3 in Western blots.

Clonality

Monoclonal

Host

Mouse

Isotype

IgG2B

Scientific Data Images for Human/Mouse p23/PTGES3 Antibody

Detection of Human and Mouse p23/PTGES3 antibody by Western Blot.

Detection of Human and Mouse p23/PTGES3 by Western Blot.

Western blot shows lysates of Jurkat human acute T cell leukemia cell line, HEK293T human embryonic kidney cell line, and NIH-3T3 mouse embryonic fibroblast cell line. PVDF membrane was probed with 2 µg/mL of Mouse Anti-Human/Mouse p23/PTGES3 Monoclonal Antibody (Catalog # MAB100391) followed by HRP-conjugated Anti-Mouse IgG Secondary Antibody (Catalog # HAF018). A specific band was detected for p23/PTGES3 at approximately 23 kDa (as indicated). This experiment was conducted under reducing conditions and using Immunoblot Buffer Group 1.
p23/PTGES3 antibody in HeLa Human Cell Line by Immunocytochemistry (ICC).

p23/PTGES3 in HeLa Human Cell Line.

p23/PTGES3 was detected in immersion fixed HeLa human cervical epithelial carcinoma cell line using Mouse Anti-Human/Mouse p23/PTGES3 Monoclonal Antibody (Catalog # MAB100391) at 8 µg/mL for 3 hours at room temperature. Cells were stained using the NorthernLights™ 557-conjugated Anti-Mouse IgG Secondary Antibody (red; Catalog # NL007) and counterstained with DAPI (blue). Specific staining was localized to cytoplasm. View our protocol for Fluorescent ICC Staining of Cells on Coverslips.
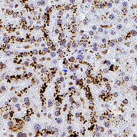
p23/PTGES3 antibody in Human Liver by Immunohistochemistry (IHC-P).

p23/PTGES3 in Human Liver.

p23/PTGES3 was detected in immersion fixed paraffin-embedded sections of human liver using Mouse Anti-Human/Mouse p23/PTGES3 Monoclonal Antibody (Catalog # MAB100391) at 5 µg/mL for 1 hour at room temperature followed by incubation with the Anti-Mouse IgG VisUCyte™ HRP Polymer Antibody (Catalog # VC001). Before incubation with the primary antibody, tissue was subjected to heat-induced epitope retrieval using Antigen Retrieval Reagent-Basic (Catalog # CTS013). Tissue was stained using DAB (brown) and counterstained with hematoxylin (blue). Specific staining was localized to cytoplasm. View our protocol for IHC Staining with VisUCyte HRP Polymer Detection Reagents.

Applications for Human/Mouse p23/PTGES3 Antibody

Application
Recommended Usage

Immunocytochemistry

8-25 µg/mL
Sample: Immersion fixed HeLa human cervical epithelial carcinoma cell line, RAW 264.7 mouse monocyte/macrophage cell line

Immunohistochemistry

5-25 µg/mL
Sample: Immersion fixed paraffin-embedded sections of human liver

Western Blot

2 µg/mL
Sample: Jurkat human acute T cell leukemia cell line, HEK293T human embryonic kidney cell line, NIH‑3T3 mouse embryonic fibroblast cell line, and PC‑12 rat adrenal pheochromocytoma cell line

Formulation, Preparation, and Storage

Purification

Protein A or G purified from cell culture supernatant

Reconstitution

Reconstitute at 0.5 mg/mL in sterile PBS. For liquid material, refer to CoA for concentration.

Reconstitution Buffer Available:
Size / Price
Qty
Loading...

Formulation

Lyophilized from a 0.2 μm filtered solution in PBS with Trehalose. *Small pack size (SP) is supplied either lyophilized or as a 0.2 µm filtered solution in PBS.

Shipping

Lyophilized product is shipped at ambient temperature. Liquid small pack size (-SP) is shipped with polar packs. Upon receipt, store immediately at the temperature recommended below.

Stability & Storage

Use a manual defrost freezer and avoid repeated freeze-thaw cycles.
  • 12 months from date of receipt, -20 to -70 °C as supplied.
  • 1 month, 2 to 8 °C under sterile conditions after reconstitution.
  • 6 months, -20 to -70 °C under sterile conditions after reconstitution.

Background: p23/PTGES3

Prostaglandin E Synthase 3 (also known as Cytosolic prostaglandin E2 synthase, HSP90 co-chaperone, Progesterone receptor complex p23, Telomerase-binding protein p23, or p23) is a glutathione-dependent enzyme found in the cyclooxygenase-1-mediated PGE2 biosynthetic pathway. This protein is highly conserved in eukaryotes and in humans it is expressed in most tissues other than striated muscle. Through its prostaglandin synthase activity, p23 contributes to the production of prostaglandin E2 and has a role in maintenance of tissue homeostasis. In addition to its catalytic activity in the prostaglandin biosynthesis pathway, p23 serves as a co-chaperone to HSP90 (Heat Shock Protein 90) in various biological functions. The p23/HSP90 complex is required for efficient telomerase assembly in vitro and in vivo. It has also been demonstrated that p23 and HSP90 localize to genomic response elements in a hormone-dependent manner, and may promote disassembly of transcriptional regulatory complexes in response to changes in cellular signaling pathways. p23 protein is up-regulated in several cancers, notably breast cancer.

Long Name

Prostaglandin E Synthase 3 (Cytosolic)

Alternate Names

CPGES, PTGES3, TEBP

Entrez Gene IDs

10728 (Human); 56351 (Mouse); 362809 (Rat)

Gene Symbol

PTGES3

UniProt

Additional p23/PTGES3 Products

Product Documents for Human/Mouse p23/PTGES3 Antibody

Certificate of Analysis

To download a Certificate of Analysis, please enter a lot number in the search box below.

Note: Certificate of Analysis not available for kit components.

Product Specific Notices for Human/Mouse p23/PTGES3 Antibody

For research use only

Loading...
Loading...
Loading...
Loading...