Skip to main content

Human M-CSF R/CD115 Antibody

R&D Systems, part of Bio-Techne | Catalog # MAB3291

R&D Systems, part of Bio-Techne

Key Product Details

Species Reactivity

Validated:

Human

Cited:

Human, Mouse

Applications

Validated:

Immunohistochemistry, Western Blot, Neutralization

Cited:

Western Blot, Neutralization, Immunocytochemistry, Immunoprecipitation, Bioassay, Functional Assay

Label

Unconjugated

Antibody Source

Monoclonal Mouse IgG1 Clone # 61701

Product Specifications

Immunogen

Mouse myeloma cell line NS0-derived recombinant human M-CSF R/CD115
Ile20-Glu512 (Pro54Ala)
Accession # P07333.2

Specificity

Detects human M-CSF R/CD115 in direct ELISAs and Western blots. In direct ELISAs and Western blots, no cross-reactivity with recombinant human (rh) GM-CSF R alpha or rhGM-CSF R beta is observed.

Clonality

Monoclonal

Host

Mouse

Isotype

IgG1

Endotoxin Level

<0.10 EU per 1 μg of the antibody by the LAL method.

Scientific Data Images for Human M-CSF R/CD115 Antibody

Detection of Human M-CSF R/CD115 antibody by Western Blot.

Detection of Human M-CSF R/CD115 by Western Blot.

Western blot shows lysates of THP-1 human acute monocytic leukemia cell line. PVDF membrane was probed with 2 µg/mL of Mouse Anti-Human M-CSF R/CD115 Monoclonal Antibody (Catalog # MAB3291) followed by HRP-conjugated Anti-Mouse IgG Secondary Antibody (HAF007). A specific band was detected for M-CSF R/CD115 at approximately 130 kDa (as indicated). This experiment was conducted under reducing conditions and using Immunoblot Buffer Group 1.
M-CSF R/CD115 Inhibition of M-CSF-dependent Cell Proliferation and Neutralization by Human M-CSF R/CD115 Antibody.

M-CSF R/CD115 Inhibition of M-CSF-dependent Cell Proliferation and Neutralization by Human M-CSF R/CD115 Antibody.

Recombinant Human M-CSF R/CD115 Fc Chimera (329-MR) inhibits Recombinant Human M-CSF (Catalog # 216-MC) induced proliferation in the M-NFS-60 mouse myelogenous leukemia lymphoblast cell line in a dose-dependent manner (orange line). Inhibition of Recombinant Human M-CSF R/CD115 (1 ng/mL) activity elicited by Recombinant Human M-CSF R/CD115 Fc Chimera (30 ng/mL) is neutralized (green line) by increasing concentrations of Mouse Anti-Human M-CSF R/CD115 Monoclonal Antibody (Catalog # MAB3291). The ND50 is typically 4-16 ng/mL.

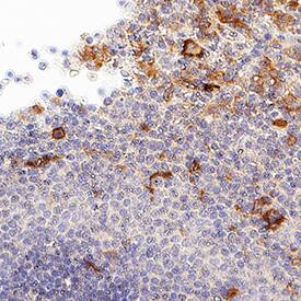
Detection of M-CSF R/CD115 in Human Spleen.

M-CSF R/CD115 was detected in immersion fixed paraffin-embedded sections of Human Spleen using Mouse Anti-Human M-CSF R/CD115 Monoclonal Antibody (Catalog # MAB3291) at 15 µg/mL for 1 hour at room temperature followed by incubation with the Anti-Mouse IgG VisUCyte™ HRP Polymer Antibody (Catalog # VC001). Before incubation with the primary antibody, tissue was subjected to heat-induced epitope retrieval using VisUCyte Antigen Retrieval Reagent-Basic (Catalog # VCTS021). Tissue was stained using DAB (brown) and counterstained with hematoxylin (blue). Specific staining was localized to cell surface and cytoplasm in lymphocytes. View our protocol for IHC Staining with VisUCyte HRP Polymer Detection Reagents.

Applications for Human M-CSF R/CD115 Antibody

Application
Recommended Usage

Immunohistochemistry

5-15 µg/mL
Sample: Immersion fixed paraffin-embedded sections of Human Spleen

Western Blot

2 µg/mL
Sample: THP‑1 human acute monocytic leukemia cell line under reducing conditions only

Neutralization

Measured by its ability to neutralize M-CSF R/CD115-mediated inhibition of proliferation in the M‑NFS‑60 mouse myelogenous leukemia lymphoblast cell line. The Neutralization Dose (ND50) is typically 4-16 ng/mL in the presence of 30 ng/mL Recombinant Human M-CSF R/CD115 Fc Chimera and 1 ng/mL Recombinant Human
M-CSF.

Formulation, Preparation, and Storage

Purification

Protein A or G purified from hybridoma culture supernatant

Reconstitution

Reconstitute at 0.5 mg/mL in sterile PBS. For liquid material, refer to CoA for concentration.

Reconstitution Buffer Available:
Size / Price
Qty
Loading...

Formulation

Lyophilized from a 0.2 μm filtered solution in PBS with Trehalose. *Small pack size (SP) is supplied either lyophilized or as a 0.2 µm filtered solution in PBS.

Shipping

Lyophilized product is shipped at ambient temperature. Liquid small pack size (-SP) is shipped with polar packs. Upon receipt, store immediately at the temperature recommended below.

Stability & Storage

Use a manual defrost freezer and avoid repeated freeze-thaw cycles.
  • 12 months from date of receipt, -20 to -70 °C as supplied.
  • 1 month, 2 to 8 °C under sterile conditions after reconstitution.
  • 6 months, -20 to -70 °C under sterile conditions after reconstitution.

Background: M-CSF R/CD115

M-CSF receptor, the product of the c-fms proto-oncogene, is a member of the type III subfamily of receptor tyrosine kinases that also includes receptors for SCF and PDGF. These receptors each contain five immunoglobulin-like domains in their extracellular domain (ECD) and a split kinase domain in their intracellular region (1-4). M-CSF receptor is expressed primarily on cells of the monocyte/macrophage lineage, dendritic cells, stem cells and in the developing placenta (1). Human M-CSF receptor cDNA encodes a 972 amino acid (aa) type I membrane protein with a 19 aa signal peptide, a 493 aa extracellular region containing the ligand-binding domain, a 25 aa transmembrane domain, and a 435 aa cytoplasmic domain. The human M-CSF R ECD shares 60%, 64%, 72%, 75%, 75%, and 76% aa identity with mouse, rat, bovine, canine, feline, and equine M-CSF R, respectively. Activators of protein kinase C induce TACE/ADAM17 cleavage of the M-CSF receptor, releasing the functional ligand-binding extracellular domain (5). M-CSF binding induces receptor homodimerization, resulting in transphosphorylation of specific cytoplasmic tyrosine residues and signal transduction (6). The intracellular domain of activated M-CSF R binds more than 150 proteins that affect cell proliferation, survival, differentiation and cytoskeletal reorganization. Among these, PI3Kinase, P42/44 ERK, and c-Cbl are key transducers of M-CSF R signals (3, 4). M-CSF R engagement is continuously required for macrophage survival and regulates lineage decisions and maturation of monocytes, macrophages, osteoclasts, and DC (3, 4). M-CSF R and integrin  alphav beta3 share signaling pathways during osteoclastogenesis and deletion of either causes osteopetrosis (7, 8). In the brain, microglia expressing increased M-CSF R are concentrated with Alzheimers a beta peptide, but their role in pathogenesis is unclear (9, 10).

References

  1. deParseval, N. et al. (1993) Nucleic Acids Res. 21:750.
  2. Rothwell, V.M. and L.R. Rohrschneider (1987) Oncogene Res. 1:311.
  3. Chitu, V. and E.R. Stanley (2006) Curr. Opin. Immunol. 18:39.
  4. Ross, F.P. and S.L. Teitelbaum (2005) Immunol. Rev. 208:88.
  5. Rovida, E. et al. (2001) J. Immunol. 166:1583.
  6. Yeung, Y. et al. (1998) J. Biol. Chem. 273:17128.
  7. Dai, X. et al. (2002) Blood 99:111.
  8. Faccio, R. et al. (2003) J. Clin. Invest. 111:749.
  9. Li, M. et al. (2004) J. Neurochem. 91:623.
  10. Mitrasinovic, O.M. et al. (2005) J. Neurosci. 25:4442.

Long Name

Macrophage Colony Stimulating Factor Receptor

Alternate Names

c-fms, CD115, CSF1R, M-CSFR, MCSFR

Entrez Gene IDs

1436 (Human); 12978 (Mouse)

Gene Symbol

CSF1R

UniProt

Additional M-CSF R/CD115 Products

Product Documents for Human M-CSF R/CD115 Antibody

Certificate of Analysis

To download a Certificate of Analysis, please enter a lot number in the search box below.

Note: Certificate of Analysis not available for kit components.

Product Specific Notices for Human M-CSF R/CD115 Antibody

For research use only

Loading...
Loading...
Loading...
Loading...