Human Ketohexokinase Antibody
R&D Systems, part of Bio-Techne | Catalog # MAB8177

Conjugate
Catalog #
Key Product Details
Species Reactivity
Human
Applications
Immunohistochemistry, Western Blot
Label
Unconjugated
Antibody Source
Monoclonal Mouse IgG1 Clone # 1020613
Product Specifications
Immunogen
E. coli-derived human Ketohexokinase
Met1-Val298
Accession # P50053
Met1-Val298
Accession # P50053
Specificity
Detects human Ketohexokinase in direct ELISAs.
Clonality
Monoclonal
Host
Mouse
Isotype
IgG1
Scientific Data Images for Human Ketohexokinase Antibody
Detection of Human Ketohexokinase by Western Blot.
Western blot shows lysates of HepG2 human hepatocellular carcinoma cell line and human liver tissue. PVDF membrane was probed with 2 µg/mL of Mouse Anti-Human Ketohexokinase Monoclonal Antibody (Catalog # MAB8177) followed by HRP-conjugated Anti-Mouse IgG Secondary Antibody (Catalog # HAF018). A specific band was detected for Ketohexokinase at approximately 30 kDa (as indicated). This experiment was conducted under reducing conditions and using Immunoblot Buffer Group 1.Ketohexokinase in Human Liver.
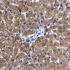
Ketohexokinase was detected in immersion fixed paraffin-embedded sections of human liver using Mouse Anti-Human Ketohexokinase Monoclonal Antibody (Catalog # MAB8177) at 5 µg/mL for 1 hour at room temperature followed by incubation with the Anti-Mouse IgG VisUCyte™ HRP Polymer Antibody (Catalog # VC001). Before incubation with the primary antibody, tissue was subjected to heat-induced epitope retrieval using Antigen Retrieval Reagent-Basic (Catalog # CTS013). Tissue was stained using DAB (brown) and counterstained with hematoxylin (blue). Specific staining was localized to cytoplasm in hepatocytes. View our protocol for IHC Staining with VisUCyte HRP Polymer Detection Reagents.Applications for Human Ketohexokinase Antibody
Application
Recommended Usage
Immunohistochemistry
5-25 µg/mL
Sample: Immersion fixed paraffin-embedded sections of human liver
Sample: Immersion fixed paraffin-embedded sections of human liver
Western Blot
2 µg/mL
Sample: HepG2 human hepatocellular carcinoma cell line and Human liver tissue
Sample: HepG2 human hepatocellular carcinoma cell line and Human liver tissue
Formulation, Preparation, and Storage
Purification
Protein A or G purified from cell culture supernatant
Reconstitution
Reconstitute at 0.5 mg/mL in sterile PBS. For liquid material, refer to CoA for concentration.
Formulation
Lyophilized from a 0.2 μm filtered solution in PBS with Trehalose. *Small pack size (SP) is supplied either lyophilized or as a 0.2 µm filtered solution in PBS.
Shipping
Lyophilized product is shipped at ambient temperature. Liquid small pack size (-SP) is shipped with polar packs. Upon receipt, store immediately at the temperature recommended below.
Stability & Storage
Use a manual defrost freezer and avoid repeated freeze-thaw cycles.
- 12 months from date of receipt, -20 to -70 °C as supplied.
- 1 month, 2 to 8 °C under sterile conditions after reconstitution.
- 6 months, -20 to -70 °C under sterile conditions after reconstitution.
Background: Ketohexokinase
References
- Trinh, C.H. et al. (2009) Acta. Crystallogr. D Biol Crystallogr. 65:201.
- Zhang, X. et al. (2011) Bioorg. Med. Chem. Lett. 21:4762.
- Bonthron, D.T. et al. (1994) Hum. Mol. Genet. 3:1627.
- Kaiser, U.B. and Hegele, R. A. (1991). Am. J. Med. Sci. 302: 364.
- Wu, Z.L. (2011) PLoS One 6:e23172.
Alternate Names
Fructokinase, KHK
Gene Symbol
KHK
UniProt
Additional Ketohexokinase Products
Product Documents for Human Ketohexokinase Antibody
Product Specific Notices for Human Ketohexokinase Antibody
For research use only
Loading...
Loading...
Loading...
Loading...