Skip to main content

Key Product Details

Species Reactivity

Validated:

Human

Cited:

Human, Mouse, Rat

Applications

Validated:

Immunohistochemistry, Western Blot, Blockade of Receptor-ligand Interaction, Flow Cytometry, Immunocytochemistry, CyTOF-ready

Cited:

Immunohistochemistry, Western Blot, Neutralization, Flow Cytometry, Immunocytochemistry, In vivo assay

Label

Unconjugated

Antibody Source

Polyclonal Goat IgG

Product Specifications

Immunogen

Mouse myeloma cell line NS0-derived recombinant human IGF-II R/IGF2R
Ser1510-Phe2108
Accession # P11717

Specificity

Detects human IGF-II R/IGF2R in direct ELISAs and Western blots.

Clonality

Polyclonal

Host

Goat

Isotype

IgG

Endotoxin Level

<0.10 EU per 1 μg of the antibody by the LAL method.

Scientific Data Images for Human IGF-II R/IGF2R Antibody

Detection of IGF-II R/IGF2R antibody in Human Monocytes antibody by Flow Cytometry.

Detection of IGF-II R/IGF2R in Human Monocytes by Flow Cytometry.

Human whole blood monocytes were stained with Goat Anti-Human IGF-II R/IGF2R Antigen Affinity-purified Polyclonal Antibody (Catalog # AF2447, filled histogram) or control antibody (Catalog # AB-108-C, open histogram), followed by Phycoerythrin-conjugated Anti-Goat IgG Secondary Antibody (Catalog # F0107).
IGF-II R/IGF2R antibody in A172 Human Cell Line by Immunocytochemistry (ICC).

IGF-II R/IGF2R in A172 Human Cell Line.

IGF-II R/IGF2R was detected in immersion fixed A172 human glioblastoma cell line using Goat Anti-Human IGF-II R/IGF2R Antigen Affinity-purified Polyclonal Antibody (Catalog # AF2447) at 5 µg/mL for 3 hours at room temperature. Cells were stained using the NorthernLights™ 557-conjugated Anti-Goat IgG Secondary Antibody (red; Catalog # NL001) and counterstained with DAPI (blue). Specific staining was localized to cytoplasm. View our protocol for Fluorescent ICC Staining of Cells on Coverslips.
IGF-II R/IGF2R antibody in A549 Human Cell Line by Immunocytochemistry (ICC).

IGF-II R/IGF2R in A549 Human Cell Line.

IGF-II R/IGF2R was detected in immersion fixed A549 human lung carcinoma cell line using Goat Anti-Human IGF-II R/IGF2R Antigen Affinity-purified Polyclonal Antibody (Catalog # AF2447) at 5 µg/mL for 3 hours at room temperature. Cells were stained using the NorthernLights™ 557-conjugated Anti-Goat IgG Secondary Antibody (red; Catalog # NL001) and counterstained with DAPI (blue). Specific staining was localized to cell surface and cytoplasm. View our protocol for Fluorescent ICC Staining of Cells on Coverslips.

Applications for Human IGF-II R/IGF2R Antibody

Application
Recommended Usage

Blockade of Receptor-ligand Interaction

In a functional ELISA, 0.5-2.5 µg/mL of this antibody will block 50% of the binding of 50 ng/mL of Recombinant Human IGF-II/IGF2 (Catalog # 292-G2) to immobilized Recombinant Human IGF-II R/IGF2R (Catalog # 2447-GR) coated at 2 µg/mL (100 µL/well). At 20 μg/mL, this antibody will block >90% of the binding.

CyTOF-ready

Ready to be labeled using established conjugation methods. No BSA or other carrier proteins that could interfere with conjugation.

Flow Cytometry

2.5 µg/106 cells
Sample: Human whole blood monocytes

Immunocytochemistry

5-15 µg/mL
Sample: Fixed A172 human glioblastoma cell line and A549 human lung carcinoma cell line

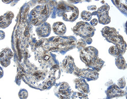
Immunohistochemistry

5-15 µg/mL
Sample: Immersion fixed paraffin-embedded sections of human placenta

Western Blot

0.1 µg/mL
Sample: Recombinant Human IGF-II R/IGF2R (Catalog # 2447-GR)

Formulation, Preparation, and Storage

Purification

Antigen Affinity-purified

Reconstitution

Reconstitute at 0.2 mg/mL in sterile PBS. For liquid material, refer to CoA for concentration.

Reconstitution Buffer Available:
Size / Price
Qty
Loading...

Formulation

Lyophilized from a 0.2 μm filtered solution in PBS with Trehalose. *Small pack size (SP) is supplied either lyophilized or as a 0.2 µm filtered solution in PBS.

Shipping

Lyophilized product is shipped at ambient temperature. Liquid small pack size (-SP) is shipped with polar packs. Upon receipt, store immediately at the temperature recommended below.

Stability & Storage

Use a manual defrost freezer and avoid repeated freeze-thaw cycles.
  • 12 months from date of receipt, -20 to -70 °C as supplied.
  • 1 month, 2 to 8 °C under sterile conditions after reconstitution.
  • 6 months, -20 to -70 °C under sterile conditions after reconstitution.

Background: IGF-II R/IGF2R

The type 2 insulin-like growth factor receptor (also known as cation-independent mannose-6 phosphate receptor/CI-MPR) is a 300 kDa member of the P-type lectin family of molecules. P-type lectins generate functional eukaryotic lysosomes by binding and sorting lysosomal enzymes expressing phosphorylated mannose residues (M6P) (1-3). IGF-II R is a type I transmembrane glycoprotein that contains a 2,264 amino acid (aa) extracellular region, a 23 aa transmembrane segment and a 124 aa cytoplasmic tail (4, 5). The extracellular region consists of 15 contiguous “binding” repeats of about 150 aa each. The odd-numbered repeats interact with “ligands” while the even-numbered repeats likely generate a nondisulfide homodimer in the membrane (1). Repeat #11 binds IGF-II, while repeats 3 and 9 bind mannose-6 phosphate; repeat #13 contains a fibronectin type II motif and assists in IGF-II binding (1, 2). In the extracellular region of IGF-II R expressed by R&D Systems (600 aa’s), human IGF-II R is 85% aa identical to both mouse and bovine IGF-II R. This expressed region includes binding repeats #11, 12, and 13. In addition to IGF-II, CI-MPR/IGF-II R binds non-M6P containing ligands such as retinoic acid, urokinase-type plasminogen-activator receptor and plasminogen, plus M6P‑containing molecules such as lysosomal enzymes, TGF-beta 1 precursor, proliferin, LIF, CD26, herpes simplex glycoprotein D, and granzymes A and B (2, 6). IGF-II R regulates many diverse biological functions that range from intracellular trafficking to the internalization of extracellular factors and modulation of cellular responses. It delivers newly synthesized M6P-tagged lysosomal enzymes from the trans-golgi network to endosomes, and facilitates the clearance of extracellular lysosomal and matrix degrading enzymes by internalization into clathrin-coated vesicles and delivery into endosomes. With respect to IGF-II biology, it would appear that IGF-II R is principally a regulator of local IGF-II levels, targeting IGF-II for destruction in lysosomes (2). However, some evidence suggests the receptor will signal via G‑proteins, an effect that has yet to be conclusively shown (6).

References

  1. Ghosh, P. et al. (2003) Nat. Rev. Mol. Cell. Biol. 4:202.
  2. Dahms, N.M. and M.K. Hancock (2002) Biochim. Biophys. Acta. 1572:317.
  3. Zaina, S. and J. Nilsson (2003) Curr. Opin. Lipidol. 14:483.
  4. Morgan, D.O. et al. (1987) Nature 329:301.
  5. Oshima, A. et al. (1988) J. Biol. Chem. 263:2553.
  6. Hawkes, C. and S. Kar (2004) Brain Res. Rev. 44:117.

Long Name

Insulin-like Growth Factor II Receptor

Alternate Names

CD222, CIMPR, IGF-IIR, IGF2R, IGFIIR, M6P-R, MPRI

Entrez Gene IDs

3482 (Human)

Gene Symbol

IGF2R

UniProt

Additional IGF-II R/IGF2R Products

Product Documents for Human IGF-II R/IGF2R Antibody

Certificate of Analysis

To download a Certificate of Analysis, please enter a lot number in the search box below.

Note: Certificate of Analysis not available for kit components.

Product Specific Notices for Human IGF-II R/IGF2R Antibody

For research use only

Loading...
Loading...
Loading...
Loading...
Loading...