Skip to main content

Human GIPR Antibody

R&D Systems, part of Bio-Techne | Catalog # MAB8210

R&D Systems, part of Bio-Techne
Catalog #
Availability
Size / Price
Qty
Loading...
MAB8210
MAB8210-SP

Key Product Details

Species Reactivity

Validated:

Human

Cited:

Mouse

Applications

Validated:

Immunohistochemistry, Blockade of Receptor-ligand Interaction, Flow Cytometry, CyTOF-ready

Cited:

Immunocytochemistry

Label

Unconjugated

Antibody Source

Monoclonal Mouse IgG1 Clone # 591853

Product Specifications

Immunogen

NS0 mouse myeloma cell line transfected with human GIPR.
Met1-Cys466
Accession # P48546

Specificity

Detects human GIPR in direct ELISAs. Stains human GIPR transfected cells but not irrelevant transfectants.

Clonality

Monoclonal

Host

Mouse

Isotype

IgG1

Scientific Data Images for Human GIPR Antibody

Detection of GIPR antibody in HEK293 Human Cell Line Transfected with Human GIPR and eGFP antibody by Flow Cytometry.

Detection of GIPR in HEK293 Human Cell Line Transfected with Human GIPR and eGFP by Flow Cytometry.

HEK293 human embryonic kidney cell line transfected with either (A) human GIPR or (B) irrelevant transfectants and eGFP were stained with Mouse Anti-Human GIPR Monoclonal Antibody (Catalog # MAB8210) followed by Allophycocyanin-conjugated Anti-Mouse IgG Secondary Antibody (Catalog # F0101B). Quadrant markers were set based on control antibody staining (Catalog # MAB002). View our protocol for Staining Membrane-associated Proteins.
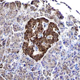
GIPR antibody in Human Pancreas by Immunohistochemistry (IHC-P).

GIPR in Human Pancreas.

GIPR was detected in immersion fixed paraffin-embedded sections of human pancreas using Mouse Anti-Human GIPR Monoclonal Antibody (Catalog # MAB8210) at 15 µg/mL overnight at 4 °C. Before incubation with the primary antibody, tissue was subjected to heat-induced epitope retrieval using Antigen Retrieval Reagent-Basic (Catalog # CTS013). Tissue was stained using the Anti-Mouse HRP-DAB Cell & Tissue Staining Kit (brown; Catalog # CTS002) and counterstained with hematoxylin (blue). Specific staining was localized to islet cells. View our protocol for Chromogenic IHC Staining of Paraffin-embedded Tissue Sections.
Human GIP binding to human GIPR-transfected HEK293 cells blocked by Human GIPR Antibody.

Human GIP binding to human GIPR-transfected HEK293 cells blocked by Human GIPR Antibody.

In a functional flow cytometry test, biotinylated recombinant Human GIP (Catalog # 2257, 25 ng/mL) binds to Human GIPR-transfected HEK293 cells (black dotted line). Binding is completely blocked (orange histogram) by 2.5 µg/mL of Mouse Anti-Human GIPR Monoclonal Antibody (Catalog # MAB8210). Mouse IgG1Isotype Control (Catalog # MAB002) at 2.5 µg/mL was used as a control (blue line). Cells were stained with Sterptavidin-APC (Catalog # F0050).

Applications for Human GIPR Antibody

Application
Recommended Usage

Blockade of Receptor-ligand Interaction

At 2.5 ug/mL, this antibody will block >95% of the binding.

CyTOF-ready

Ready to be labeled using established conjugation methods. No BSA or other carrier proteins that could interfere with conjugation.

Flow Cytometry

0.25 µg/106 cells
Sample: HEK293 human embryonic kidney cell line transfected with human GIPR and eGFP

Immunohistochemistry

8-25 µg/mL
Sample: Immersion fixed paraffin-embedded sections of human pancreas subjected to heat-induced epitope retrieval using Antigen Retrieval Reagent-Basic (Catalog # CTS013)

Reviewed Applications

Read 1 review rated 3 using MAB8210 in the following applications:

Formulation, Preparation, and Storage

Purification

Protein A or G purified from hybridoma culture supernatant

Reconstitution

Reconstitute at 0.5 mg/mL in sterile PBS. For liquid material, refer to CoA for concentration.

Reconstitution Buffer Available:
Size / Price
Qty
Loading...

Formulation

Lyophilized from a 0.2 μm filtered solution in PBS with Trehalose. *Small pack size (SP) is supplied either lyophilized or as a 0.2 µm filtered solution in PBS.

Shipping

Lyophilized product is shipped at ambient temperature. Liquid small pack size (-SP) is shipped with polar packs. Upon receipt, store immediately at the temperature recommended below.

Stability & Storage

Use a manual defrost freezer and avoid repeated freeze-thaw cycles.
  • 12 months from date of receipt, -20 to -70 °C as supplied.
  • 1 month, 2 to 8 °C under sterile conditions after reconstitution.
  • 6 months, -20 to -70 °C under sterile conditions after reconstitution.

Background: GIPR

GIPR is a 7-transmembrane receptor for GIP (glucose-dependent insulinotropic polypeptide or gastric inhibitory polypeptide). The 466 amino acid (aa) human GIPR contains 176 extracellular domain (ECD) aa that share 77% and 81% aa identity with mouse and rat GIPR ECD, respectively. A splice isoform of 430 aa has a deletion of aa 58-93 in the N-terminal ECD, while isoforms of 491 and 419 aa have alternate C-terminal cytoplasmic sequences. Engagement by GIP on pancreatic b-cells activates adenylate cyclase to regulate insulin compensation in the presence of high circulating glucose. GIPR is also expressed on adipocytes, osteoblasts and myelinating Schwann cell membranes.

Long Name

Gastric Inhibitory Polypeptide Receptor

Alternate Names

PGQTL2

Entrez Gene IDs

2696 (Human); 381853 (Mouse); 25024 (Rat)

Gene Symbol

GIPR

UniProt

Additional GIPR Products

Product Documents for Human GIPR Antibody

Certificate of Analysis

To download a Certificate of Analysis, please enter a lot number in the search box below.

Note: Certificate of Analysis not available for kit components.

Product Specific Notices for Human GIPR Antibody

For research use only

Loading...
Loading...
Loading...
Loading...
Loading...