Human Follistatin-like 1/FSTL1 Antibody
R&D Systems, part of Bio-Techne | Catalog # AF1694
Key Product Details
Species Reactivity
Validated:
Cited:
Applications
Validated:
Cited:
Label
Antibody Source
Product Specifications
Immunogen
Met1-Ile308
Accession # Q12841
Specificity
Clonality
Host
Isotype
Scientific Data Images for Human Follistatin-like 1/FSTL1 Antibody
Detection of Human Follistatin-like 1/FSTL1 by Western Blot.
Western blot shows lysates of Raji human Burkitt's lymphoma cell line. PVDF membrane was probed with 1 µg/mL of Goat Anti-Human Follistatin-like 1/FSTL1 Antigen Affinity-purified Polyclonal Antibody (Catalog # AF1694) followed by HRP-conjugated Anti-Goat IgG Secondary Antibody (Catalog # HAF019). A specific band was detected for Follistatin-like 1/FSTL1 at approximately 50 kDa (as indicated). This experiment was conducted under reducing conditions and using Immunoblot Buffer Group 1.Follistatin-like 1/FSTL1 in HeLa Human Cell Line.
Follistatin-like 1/FSTL1 was detected in immersion fixed HeLa human cervical epithelial carcinoma cell line using Goat Anti-Human Follistatin-like 1/FSTL1 Antigen Affinity-purified Polyclonal Antibody (Catalog # AF1694) at 10 µg/mL for 3 hours at room temperature. Cells were stained using the NorthernLights™ 557-conjugated Anti-Goat IgG Secondary Antibody (red; Catalog # NL001) and counterstained with DAPI (blue). View our protocol for Fluorescent ICC Staining of Cells on Coverslips.Follistatin-like 1/FSTL1 in Human Placenta.
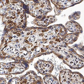
Follistatin-like 1/FSTL1 was detected in immersion fixed paraffin-embedded sections of human placenta using Goat Anti-Human Follistatin-like 1/FSTL1 Antigen Affinity-purified Polyclonal Antibody (Catalog # AF1694) at 3 µg/mL for 1 hour at room temperature followed by incubation with the Anti-Goat IgG VisUCyte™ HRP Polymer Antibody (VC004). Before incubation with the primary antibody, tissue was subjected to heat-induced epitope retrieval using Antigen Retrieval Reagent-Basic (CTS013). Tissue was stained using DAB (brown) and counterstained with hematoxylin (blue). Specific staining was localized to endothelial cells in chorionic villi. Staining was performed using our protocol for IHC Staining with VisUCyte HRP Polymer Detection Reagents.Applications for Human Follistatin-like 1/FSTL1 Antibody
Immunocytochemistry
Sample: Immersion fixed HeLa human cervical epithelial carcinoma cell line
Immunohistochemistry
Sample: Immersion fixed paraffin-embedded sections of human placenta
Western Blot
Sample: Raji human Burkitt's lymphoma cell line
Formulation, Preparation, and Storage
Purification
Reconstitution
Formulation
Shipping
Stability & Storage
- 12 months from date of receipt, -20 to -70 °C as supplied.
- 1 month, 2 to 8 °C under sterile conditions after reconstitution.
- 6 months, -20 to -70 °C under sterile conditions after reconstitution.
Background: Follistatin-like 1/FSTL1
Follistatin-like 1 (FSL1 or FSTL1), also known as FRP (follistatin-related protein), Flik (follistatin-like), and TSC-36 (TGF-beta 1-stimulated clone 36), is a secreted 45‑55 kDa extracellular glycoprotein belonging to the BM-40/SPARC/Osteonectin family (1-3). The human FSTL1 cDNA encodes 308 amino acids (aa), including a 20 aa signal sequence, a cysteine-rich Follistatin (EGF- and kazal-like) domain, two apparently non-functional EF-hand calcium-binding motifs, and a von Willebrand Factor C homology domain (1, 3). Mature human FSTL1 shares 94%, 95%, 98%, and 99% aa identity with mouse, rat, bovine, and equine FSTL1, respectively. FSTL1 was first identified as a TGF-beta-induced protein from a mouse osteoblast cell line (4). It is ubiquitously expressed in early mouse development, but is mainly mesenchymal later in development (5). In humans, FSTL1 is a common rheumatoid arthritis auto-antigen (2). It is reported to be either pro-inflammatory due to promoting inflammatory cytokine secretion, or to prevent autoimmune arthritis by inhibiting matrix metalloproteinase (MMP) and prostaglandin expression (6-9). In muscle and heart, it appears to be protective and promotes endothelial cell functions such as revascularization after ischemia, probably due to promoting expression and activation of the protein kinase AKT1 (10, 11). Cardiac and circulating FSTL1 is generally increased in conditions such as heart failure and acute coronary syndrome (11, 12). FSTL1 also appears to be a tumor suppressor, showing down-regulated expression in many human cancers (4, 14, 15). In vitro, it slows proliferation and MMP-dependent migration, and increases FAS-dependent apoptosis of tumor cell lines (14).
References
- Zwijsen, A. et al. (1994) Eur. J. Biochem. 225:937.
- Tanaka, M. et al. (1998) Int. Immunol. 10:1305.
- Hambrook, H.O. et al. (2004) J. Biol. Chem. 279:11727.
- Shibanuma, M. et al. (1993) Eur. J. Biochem. 217:13.
- Adams, D. et al. (2007) Gene Expr. Patterns 7:491.
- Clutter, S.D. et al. (2009) J. Immunol. 182:234.
- Miyamae, T. et al. (2006) J. Immunol. 177:4758.
- Kawabata, D. et al. (2004) Arthritis Rheum. 50:660.
- Tanaka, M. et al. (2003) Int. Immunol. 15:71.
- Ouchi, N. et al. (2008) J. Biol. Chem. 283:32802.
- Oshima, Y. et al. (2008) Circulation 117:3099.
- Lara-Pezzi, E. et al. (2008) Endocrinology 149:5822.
- Widera, C. et al. (2009) Clin. Chem. 55:1794.
- Chan, Q.K. et al. (2009) Carcinogenesis 30:114.
- Mashimo, J. et al. (1997) Cancer Lett. 113:213.
Alternate Names
Gene Symbol
UniProt
Additional Follistatin-like 1/FSTL1 Products
Product Documents for Human Follistatin-like 1/FSTL1 Antibody
Product Specific Notices for Human Follistatin-like 1/FSTL1 Antibody
For research use only