Human Fibroblast Activation Protein alpha/FAP Antibody Best Seller
R&D Systems, part of Bio-Techne | Catalog # AF3715

Key Product Details
Validated by
Species Reactivity
Validated:
Cited:
Applications
Validated:
Cited:
Label
Antibody Source
Product Specifications
Immunogen
Leu26-Asp760
Accession # Q12884
Specificity
Clonality
Host
Isotype
Scientific Data Images for Human Fibroblast Activation Protein alpha/FAP Antibody
Detection of Human Fibroblast Activation Protein alpha/FAP by Western Blot.
Western blot shows lysates of WI-38 human lung fibroblast cell line. PVDF membrane was probed with 0.5 µg/mL of Sheep Anti-Human Fibroblast Activation Protein a/FAP Antigen Affinity-purified Polyclonal Antibody (Catalog # AF3715) followed by HRP-conjugated Anti-Sheep IgG Secondary Antibody (Catalog # HAF016). A specific band was detected for Fibroblast Activation Protein a/FAP at approximately 97 kDa (as indicated). This experiment was conducted under reducing conditions and using Immunoblot Buffer Group 1.Fibroblast Activation Protein alpha/FAP in Human Squamous Cell Carcinoma.
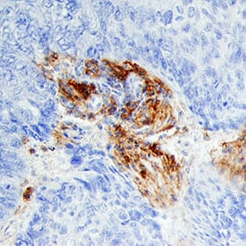
Fibroblast Activation Protein a/FAP was detected in immersion fixed paraffin-embedded sections of human squamous cell carcinoma using Sheep Anti-Human Fibroblast Activation Protein a/FAP Antigen Affinity-purified Polyclonal Antibody (Catalog # AF3715) at 15 µg/mL overnight at 4 °C. Tissue was stained using the Anti-Sheep HRP-DAB Cell & Tissue Staining Kit (brown; Catalog # CTS019) and counterstained with hematoxylin (blue). Specific staining was localized to connective tissue. View our protocol for Chromogenic IHC Staining of Paraffin-embedded Tissue Sections.Fibroblast Activation Protein alpha/FAP in Human Basal Cell Carcinoma.
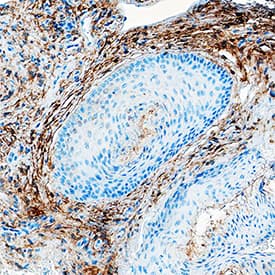
Fibroblast Activation Protein alpha/FAP was detected in immersion fixed paraffin-embedded sections of human basal cell carcinoma using Sheep Anti-Human Fibroblast Activation Protein alpha/FAP Antigen Affinity-purified Polyclonal Antibody (Catalog # AF3715) at 10 µg/mL overnight at 4 °C. Tissue was stained using the Anti-Sheep HRP-DAB Cell & Tissue Staining Kit (brown; Catalog # CTS019) and counterstained with hematoxylin (blue). Specific staining was localized to cytoplasm. View our protocol for Chromogenic IHC Staining of Paraffin-embedded Tissue Sections.Applications for Human Fibroblast Activation Protein alpha/FAP Antibody
Dual RNAscope ISH-IHC Compatible
Sample: Immersion fixed paraffin-embedded sections of human esophagus
Immunohistochemistry
Sample: Immersion fixed paraffin-embedded sections of human squamous cell carcinoma and human basal cell carcinoma
Immunoprecipitation
Sample: Conditioned cell culture medium spiked with Recombinant Human Fibroblast Activation Protein alpha/FAP (Catalog # 3715-SE), see our available Western blot detection antibodies
Knockout Validated
Simple Western
Sample: IMR‑90 human lung fibroblast cell line and WI‑38 human lung fibroblast cell line
Western Blot
Sample: WI‑38 human lung fibroblast cell line
Reviewed Applications
Read 4 reviews rated 4.5 using AF3715 in the following applications:
Formulation, Preparation, and Storage
Purification
Reconstitution
Formulation
*Small pack size (-SP) is supplied either lyophilized or as a 0.2 µm filtered solution in PBS.
Shipping
Stability & Storage
- 12 months from date of receipt, -20 to -70 °C as supplied.
- 1 month, 2 to 8 °C under sterile conditions after reconstitution.
- 6 months, -20 to -70 °C under sterile conditions after reconstitution.
Background: Fibroblast Activation Protein alpha/FAP
FAP (also known as seprase) is a Type II transmembrane serine protease that is structurally related to dipeptidyl peptidase IV (1). FAP has substrate specificity similar to dipeptidyl peptidase IV, which is specific for N-terminal Xaa-Pro sequences, but FAP is also an endopeptidase able to degrade gelatin and Type I collagen (2). The enzymatically active form of FAP is a dimer (3). FAP has a restricted tissue distribution. It is not detectable in normal tissues or resting fibroblasts, but is highly expressed on reactive stromal fibroblasts in epithelial cancers (4), in granulation tissue during wound healing, and in bone and soft tissue sarcomas (5). Because of its expression patterns and enzymatic activities, FAP is believed to play roles in tumor invasion, tissue remodeling, and wound repair.
References
- Scanlan, M.J. et al. (1994) Proc. Natl. Acad. Sci. USA 91:5657.
- Park, J.E. et al. (1999) J. Biol. Chem. 274:36505.
- Pineiro-Sanchez, M.L. et al. (1997) J. Biol. Chem. 272:7595.
- Garin-Chesa, P. et al. (1990) Proc. Natl. Acad. Sci. USA 87:7235.
- Rettig, W.J. et al. (1988) Proc. Natl. Acad. Sci. USA 85:3110.
Alternate Names
Gene Symbol
UniProt
Additional Fibroblast Activation Protein alpha/FAP Products
- All Products for Fibroblast Activation Protein alpha/FAP
- Fibroblast Activation Protein alpha/FAP cDNA Clones
- Fibroblast Activation Protein alpha/FAP ELISA Kits
- Fibroblast Activation Protein alpha/FAP Lysates
- Fibroblast Activation Protein alpha/FAP Primary Antibodies
- Fibroblast Activation Protein alpha/FAP Proteins and Enzymes
- Fibroblast Activation Protein alpha/FAP Simple Plex
Product Documents for Human Fibroblast Activation Protein alpha/FAP Antibody
Product Specific Notices for Human Fibroblast Activation Protein alpha/FAP Antibody
For research use only