Skip to main content

Human CXCR7/RDC-1 Antibody

R&D Systems, part of Bio-Techne | Catalog # MAB42273

R&D Systems, part of Bio-Techne
Catalog #
Availability
Size / Price
Qty
Loading...
MAB42273
MAB42273-SP

Key Product Details

Validated by

Biological Validation

Species Reactivity

Validated:

Human

Cited:

Human, Mouse, Rat, Transgenic Mouse

Applications

Validated:

Immunohistochemistry, Flow Cytometry, CyTOF-ready

Cited:

Immunohistochemistry, Immunohistochemistry-Paraffin, Western Blot, Neutralization, Flow Cytometry, Immunocytochemistry, Immunoprecipitation, Bioassay, Cell Selection, Functional Assay, IHC-, Inhibition

Label

Unconjugated

Antibody Source

Monoclonal Mouse IgG1 Clone # 11G8

Product Specifications

Immunogen

Human CXCR7 encoding plasmid
Accession # P25106

Specificity

Detects human CXCR7/RDC-1 in flow cytometry of five distinct human CXCR7 transfectants, but not their respective parental lines.

Clonality

Monoclonal

Host

Mouse

Isotype

IgG1

Scientific Data Images for Human CXCR7/RDC-1 Antibody

Detection of CXCR7/RDC-1 antibody in MCF-7 Human Cell Line antibody by Flow Cytometry.

Detection of CXCR7/RDC-1 in MCF-7 Human Cell Line by Flow Cytometry.

MCF-7 human breast cancer cell line was stained with Mouse Anti-Human CXCR7/RDC-1 Monoclonal Antibody (Catalog # MAB42273, filled histogram) or isotype control antibody (Catalog # MAB002, open histogram), followed by Allophycocyanin-conjugated Anti-Mouse IgG F(ab')2Secondary Antibody (Catalog # F0101B).
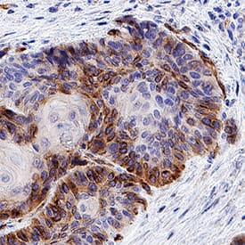
CXCR7/RDC-1 antibody in Human Squamous Cell Carcinoma by Immunohistochemistry (IHC-P).

CXCR7/RDC‑1 in Human Squamous Cell Carcinoma.

CXCR7/RDC-1 was detected in immersion fixed paraffin-embedded sections of human squamous cell carcinoma using Mouse Anti-Human CXCR7/RDC-1 Monoclonal Antibody (Catalog # MAB42273) at 5 µg/mL for 1 hour at room temperature followed by incubation with the Anti-Mouse IgG VisUCyte™ HRP Polymer Antibody (Catalog # VC001). Tissue was stained using DAB (brown) and counterstained with hematoxylin (blue). Specific staining was localized to cytoplasm and plasma membrane in cancer cells. View our protocol for IHC Staining with VisUCyte HRP Polymer Detection Reagents.
Detection of Human CXCR7/RDC-1 by Functional

Detection of Human CXCR7/RDC-1 by Functional

CXCL12 induces CXCR4/CXCR7 and cell polarization in HUVECs. HUVECs were cultured on plastic Petri dishes (pretreated with PDL) with BSA stripes (the control group) and BSA plus CXCL12 stripes (CXCL12 group) for 5 min. HUVECs were fixed and stained with antibodies against CXCR4 (purple), CXCR7 (blue) and F-Actin (red). The micro stripes of fluorescein-conjugated BSA (A) or CXCL12 (H) are shown. CXCR4 (B), CXCR7 (C) and F-Actin (D) in HUVECs cultured on BSA stripes stayed in the resting state, while the polarization of CXCR4 (arrow: I), CXCR7 (arrow: J) and F-Actin (arrow: K) was observed in HUVECs cultured on CXCL12 stripes for 5 min. Moreover, the HUVECs in the BSA control group showed no morphological changes (E–G). The CXCL12 group HUVECs shows polarization towards the CXCL12 stripe (L–N). Scale bar: 10 μm. Image collected and cropped by CiteAb from the following publication (https://pubmed.ncbi.nlm.nih.gov/28811579), licensed under a CC-BY license. Not internally tested by R&D Systems.

Applications for Human CXCR7/RDC-1 Antibody

Application
Recommended Usage

CyTOF-ready

Ready to be labeled using established conjugation methods. No BSA or other carrier proteins that could interfere with conjugation.

Flow Cytometry

0.25 µg/106 cells
Sample: MCF-7 human breast cancer cell line

Immunohistochemistry

8-25 µg/mL
Sample: Perfusion fixed paraffin-embedded sections of nude mice injected with human breast cancer tissue cells and immersion fixed paraffin-embedded sections of human squamous cell carcinoma

Reviewed Applications

Read 2 reviews rated 4 using MAB42273 in the following applications:

Formulation, Preparation, and Storage

Purification

Protein A or G purified from hybridoma culture supernatant

Reconstitution

Reconstitute at 0.5 mg/mL in sterile PBS. For liquid material, refer to CoA for concentration.

Reconstitution Buffer Available:
Size / Price
Qty
Loading...

Formulation

Lyophilized from a 0.2 μm filtered solution in PBS with Trehalose. *Small pack size (SP) is supplied either lyophilized or as a 0.2 µm filtered solution in PBS.

Shipping

Lyophilized product is shipped at ambient temperature. Liquid small pack size (-SP) is shipped with polar packs. Upon receipt, store immediately at the temperature recommended below.

Stability & Storage

Use a manual defrost freezer and avoid repeated freeze-thaw cycles.
  • 12 months from date of receipt, -20 to -70 °C as supplied.
  • 1 month, 2 to 8 °C under sterile conditions after reconstitution.
  • 6 months, -20 to -70 °C under sterile conditions after reconstitution.

Background: CXCR7/RDC-1

The G protein-coupled receptor, RDC1, belongs to a subgroup of chemokine receptors and has been designated CXCR7. CXCR7 can bind with high-affinity to CXCL12/SDF-1 and CXCL11/I‑TAC. It is also a co-receptor for several HIV and SIV strains. In their N-termini and extracellular loops 1, 2, and 3, human and mouse CXCR7 share 84%, 100%, 96%, and 86% amino acid sequence identity, respectively. Reports of mRNA levels and/or protein expression (as assessed using anti-CXCR7, clone 9C4) (J. Biol. Chem. 2005, 280(42):35760, J. Immunol. 2006, 176(4):2197) indicate that CXCR7 occurs on a wide variety of tissues and cells including monocytes, B cells, T cells and mature dendritic cells. In contrast, based on ligand binding analysis and receptor level (as assessed using anti-CXCR7, clone 11G8), surface expression of CXCR7 was reported to be restricted to tumor cells, activated endothelial cells, fetal liver cells, and few other cell types (J. Exp. Med. 2006, 203(9):2201). The basis of these inconsistent observations is not known but may be attributed to cell context and the use of different antibodies that may recognize different epitopes.

Alternate Names

ACKR3, CMKOR1, CXCR7, GPR159, RDC-1

Entrez Gene IDs

57007 (Human); 12778 (Mouse); 84348 (Rat)

Gene Symbol

ACKR3

UniProt

Additional CXCR7/RDC-1 Products

Product Documents for Human CXCR7/RDC-1 Antibody

Certificate of Analysis

To download a Certificate of Analysis, please enter a lot number in the search box below.

Note: Certificate of Analysis not available for kit components.

Product Specific Notices for Human CXCR7/RDC-1 Antibody

For research use only

Loading...
Loading...
Loading...
Loading...
Loading...
Loading...