Skip to main content

Human CXCR3 Antibody

R&D Systems, part of Bio-Techne | Catalog # MAB160R

Recombinant Monoclonal Antibody.
R&D Systems, part of Bio-Techne

Key Product Details

Species Reactivity

Human

Applications

Immunohistochemistry, Neutralization, Flow Cytometry, CyTOF-ready

Label

Unconjugated

Antibody Source

Recombinant Monoclonal Mouse IgG1 Clone # 49801R

Product Specifications

Immunogen

NS0 mouse myeloma cell line transfected with human CXCR3
Met1-Leu368
Accession # P49682

Specificity

Detects human CXCR3 in direct ELISAs.

Clonality

Monoclonal

Host

Mouse

Isotype

IgG1

Endotoxin Level

<0.10 EU per 1 μg of the antibody by the LAL method.

Scientific Data Images for Human CXCR3 Antibody

Detection of CXCR3 antibody in HEK293 Human Cell Line Transfected with human CXCR3 and eGFP antibody by Flow Cytometry.

Detection of CXCR3 in HEK293 Human Cell Line Transfected with human CXCR3 and eGFP by Flow Cytometry.

HEK293 human embryonic kidney cell line transfected with (A) human CXCR3 or (B) irrelevant transfectants and eGFP was stained with and either Mouse Anti-Human CXCR3 Monoclonal Antibody (Catalog # MAB160R) followed by APC-conjugated Anti-Mouse IgG Secondary Antibody (Catalog # F0101B). Quadrant markers were set based on Mouse IgG1 Flow Cytometry Isotype Control (Catalog # MAB002). View our protocol for Staining Membrane-associated Proteins.
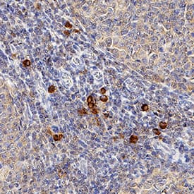
CXCR3 antibody in Human Tonsil by Immunohistochemistry (IHC-P).

CXCR3 in Human Tonsil.

CXCR3 was detected in perfusion fixed paraffin-embedded sections of human tonsil using Mouse Anti-Human CXCR3 Monoclonal Antibody (Catalog # MAB160R) at 0.5 µg/mL for 1 hour at room temperature followed by incubation with the Anti-Mouse IgG VisUCyte™ HRP Polymer Antibody (Catalog # VC001). Tissue was stained using DAB (brown) and counterstained with hematoxylin (blue). Specific staining was localized to infiltrating lymphocytes. View our protocol for IHC Staining with VisUCyte HRP Polymer Detection Reagents.
Chemotaxis Induced by CXCL11/I-TAC and Neutralization by Human CXCR3 Antibody.

Chemotaxis Induced by CXCL11/I-TAC and Neutralization by Human CXCR3 Antibody.

Recombinant Human CXCL11/I-TAC (Catalog # 672-IT) chemoattracts the BaF3 mouse pro-B cell line transfected with human CXCR3 in a dose-dependent manner (orange line). The amount of cells that migrated through to the lower chemotaxis chamber was measured by Resazurin (Catalog # AR002). Chemotaxis elicited by Recombinant Human CXCL11/I-TAC (7 ng/mL) is neutralized (green line) by increasing concentrations of Mouse Anti-Human CXCR3 Monoclonal Antibody (Catalog # MAB160R). The ND50 is typically 0.3-1.5 µg/mL.

Applications for Human CXCR3 Antibody

Application
Recommended Usage

CyTOF-ready

Ready to be labeled using established conjugation methods. No BSA or other carrier proteins that could interfere with conjugation.

Flow Cytometry

0.25 µg/106 cells
Sample: HEK293 Human Cell Line Transfected with human CXCR3 and eGFP

Immunohistochemistry

0.5-25 µg/mL
Sample:

Perfusion fixed paraffin-embedded sections of human tonsil

Neutralization

Measured by its ability to neutralize CXCL11/I‑TAC-induced chemotaxis in the BaF3 mouse pro‑B cell line transfected with human CXCR3. The Neutralization Dose (ND50) is typically 0.3-1.5 µg/mL in the presence of 7 ng/mL Recombinant Human CXCL11/I‑TAC.

Formulation, Preparation, and Storage

Purification

Protein A or G purified from cell culture supernatant

Reconstitution

Reconstitute at 0.5 mg/mL in sterile PBS. For liquid material, refer to CoA for concentration.

Reconstitution Buffer Available:
Size / Price
Qty
Loading...

Formulation

Lyophilized from a 0.2 μm filtered solution in PBS with Trehalose. *Small pack size (SP) is supplied either lyophilized or as a 0.2 µm filtered solution in PBS.

Shipping

Lyophilized product is shipped at ambient temperature. Liquid small pack size (-SP) is shipped with polar packs. Upon receipt, store immediately at the temperature recommended below.

Stability & Storage

Use a manual defrost freezer and avoid repeated freeze-thaw cycles.
  • 12 months from date of receipt, -20 to -70 °C as supplied.
  • 1 month, 2 to 8 °C under sterile conditions after reconstitution.
  • 6 months, -20 to -70 °C under sterile conditions after reconstitution.

Background: CXCR3

CXCR3 is a G protein-coupled chemokine receptor that binds the alpha chemokines MIG (CXCL9), IP-10 (CXCL10), and I-TAC (CXCL11). CXCR3 is expressed on activated T cells, B cells, and NK cells.

Alternate Names

CD183, CXCR3, GPR9

Entrez Gene IDs

2833 (Human); 12766 (Mouse); 84475 (Rat)

Gene Symbol

CXCR3

UniProt

Additional CXCR3 Products

Product Documents for Human CXCR3 Antibody

Certificate of Analysis

To download a Certificate of Analysis, please enter a lot number in the search box below.

Note: Certificate of Analysis not available for kit components.

Product Specific Notices for Human CXCR3 Antibody

For research use only

Loading...
Loading...
Loading...
Loading...
Loading...