Skip to main content

Key Product Details

Species Reactivity

Validated:

Human

Cited:

Human

Applications

Validated:

Multiplex Immunofluorescence, Immunohistochemistry

Cited:

Immunohistochemistry

Label

Unconjugated

Antibody Source

Monoclonal Mouse IgG1 Clone # 37020

Product Specifications

Immunogen

Mouse myeloma cell line NS0-derived recombinant human CD8 alpha
Ser22-Val198
Accession # NP_741696

Specificity

Detects human CD8 alpha in direct ELISAs.

Clonality

Monoclonal

Host

Mouse

Isotype

IgG1

Scientific Data Images for Human CD8 alpha Antibody

Detection of CD8 alpha in Hodgkins Lymphoma via Multiplex Immunofluorescence staining on COMET™

CD8 alpha was detected in immersion fixed paraffin-embedded sections of Hodgkins Lymphoma using Mouse Anti-Human CD8 alpha Monoclonal Antibody (MAB3801) at 15 µg/mL at 37 ° Celsius for 2 minutes. Before incubation with the primary antibody, tissue underwent an all-in-one dewaxing and antigen retrieval preprocessing using PreTreatment Module (PT Module) and Dewax and HIER Buffer H (pH 9). Tissue was stained using the Alexa Fluor™ 647 Goat anti-Mouse IgG Secondary Antibody at 1:200 at 37 ° Celsius for 2 minutes. (Yellow; Lunaphore Catalog # DR647MS) and counterstained with DAPI (blue; Lunaphore Catalog # DR100). Specific staining was localized to the membrane. Protocol available in COMET™ Panel Builder.
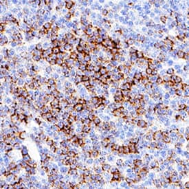
CD8a antibody in Human Tonsil by Immunohistochemistry (IHC-P).

CD8 alpha in Human Tonsil.

CD8a was detected in immersion fixed paraffin-embedded sections of human tonsil using Mouse Anti-Human CD8a Monoclonal Antibody (Catalog # MAB3801) at 5 µg/mL for 1 hour at room temperature followed by incubation with the Anti-Mouse IgG VisUCyte™ HRP Polymer Antibody (VC001). Before incubation with the primary antibody, tissue was subjected to heat-induced epitope retrieval using Antigen Retrieval Reagent-Basic (CTS013). Tissue was stained using DAB (brown) and counterstained with hematoxylin (blue). Specific staining was localized to cell surfaces in lymphocytes. View our protocol for IHC Staining with VisUCyte HRP Polymer Detection Reagents.

Applications for Human CD8 alpha Antibody

Application
Recommended Usage

Immunohistochemistry

5-25 µg/mL
Sample: Immersion fixed paraffin-embedded sections of human tonsil

Multiplex Immunofluorescence

15 µg/mL
Sample: Immersion fixed paraffin embedded sections of human hodkins lymphoma

Reviewed Applications

Read 2 reviews rated 4 using MAB3801 in the following applications:

Formulation, Preparation, and Storage

Purification

Protein A or G purified from hybridoma culture supernatant

Reconstitution

Reconstitute at 0.5 mg/mL in sterile PBS. For liquid material, refer to CoA for concentration.

Reconstitution Buffer Available:
Size / Price
Qty
Loading...

Formulation

Lyophilized from a 0.2 μm filtered solution in PBS with Trehalose. *Small pack size (SP) is supplied either lyophilized or as a 0.2 µm filtered solution in PBS.

Shipping

Lyophilized product is shipped at ambient temperature. Liquid small pack size (-SP) is shipped with polar packs. Upon receipt, store immediately at the temperature recommended below.

Stability & Storage

Use a manual defrost freezer and avoid repeated freeze-thaw cycles.
  • 12 months from date of receipt, -20 to -70 °C as supplied.
  • 1 month, 2 to 8 °C under sterile conditions after reconstitution.
  • 6 months, -20 to -70 °C under sterile conditions after reconstitution.

Background: CD8

CD8 is a heterodimeric glycoprotein consisting of an alpha and beta chain. It is expressed on cytolytic T cells and functions in conjunction with the T cell receptor in the recognition of MHC/peptide complexes.

Alternate Names

CD8, CD8A

Entrez Gene IDs

925 (Human); 12525 (Mouse); 24930 (Rat); 102124337 (Cynomolgus Monkey); 493799 (Feline)

Gene Symbol

CD8A

UniProt

Additional CD8 Products

Product Documents for Human CD8 alpha Antibody

Certificate of Analysis

To download a Certificate of Analysis, please enter a lot number in the search box below.

Note: Certificate of Analysis not available for kit components.

Product Specific Notices for Human CD8 alpha Antibody

For research use only

Loading...
Loading...
Loading...
Loading...