Skip to main content

Key Product Details

Validated by

Knockout/Knockdown

Species Reactivity

Validated:

Human

Cited:

Human

Applications

Validated:

Knockout Validated, Western Blot, Neutralization, Flow Cytometry, CyTOF-ready

Cited:

Western Blot, Flow Cytometry

Label

Unconjugated

Antibody Source

Polyclonal Goat IgG

Product Specifications

Immunogen

S. frugiperda insect ovarian cell line Sf 21-derived recombinant human CD25/IL-2 Ra 
Glu22-Cys213
Accession # P01589

Specificity

Detects human CD25/IL‑2 R alpha in direct ELISAs and Western blots.

Clonality

Polyclonal

Host

Goat

Isotype

IgG

Endotoxin Level

<0.10 EU per 1 µg of the antibody by the LAL method.

Scientific Data Images for Human CD25/IL-2R alpha Antibody

Detection of Human CD25/IL-2R alpha antibody by Western Blot.

Detection of Human CD25/IL-2R alpha by Western Blot.

Western blot shows lysates of HDLM-2 human Hodgkin's lymphoma cell line and PC-3 human prostate cancer cell line (negative control). PVDF membrane was probed with 1 µg/mL of Goat Anti-Human CD25/IL-2R alpha Antigen Affinity-purified Polyclonal Antibody (Catalog # AF-223-NA) followed by HRP-conjugated Anti-Goat IgG Secondary Antibody (Catalog # HAF017). A specific band was detected for CD25/IL-2R alpha at approximately 60 kDa (as indicated). GAPDH (AF5718) is shown as a loading control.This experiment was conducted under reducing conditions and using Immunoblot Buffer Group 1.

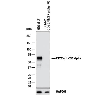
Western Blot Shows Human CD25/IL-2R alpha Specificity by Using Knockout Cell Line.

Western blot shows lysates of HDLM-2 human Hodgkin’s lymphoma cell line and human CD25/IL-2 R alpha knockout HDLM-2 human Hodgkin’s lymphoma cell line. PVDF membrane was probed with 1 µg/mL of Goat Anti-Human CD25/IL-2R alpha Antigen Affinity-purified Polyclonal Antibody (Catalog # AF-223-NA) followed by HRP-conjugated Anti-Goat IgG Secondary Antibody (HAF017). A specific band was detected for CD25/IL-2R alpha at approximately 60 kDa (as indicated) in the parental HDLM-2 human Hodgkin’s lymphoma cell line cell line, but is not detectable in knockout HDLM-2 human Hodgkin’s lymphoma cell line cell line. GAPDH (AF5718) is shown as a loading control. This experiment was conducted under reducing conditions and using Western Blot Buffer Group 1.
Cell Proliferation Induced by IL‑2 and Neutralization by Human CD25/IL‑2 R alpha Antibody.

Cell Proliferation Induced by IL‑2 and Neutralization by Human CD25/IL‑2 R alpha Antibody.

Recombinant Human IL-2 (202-IL) stimulates proliferation in the N1186 human T cell line in a dose-dependent manner (orange line). Proliferation elicited by Recombinant Human IL-2 (1 ng/mL) is neutralized (green line) by increasing concentrations of Goat Anti-Human CD25/IL-2 Ra Antigen Affinity-purified Polyclonal Antibody (Catalog # AF-223-NA). The ND50 is typically 0.2-1 µg/mL.

Applications for Human CD25/IL-2R alpha Antibody

Application
Recommended Usage

CyTOF-ready

Ready to be labeled using established conjugation methods. No BSA or other carrier proteins that could interfere with conjugation.

Flow Cytometry

2.5 µg/106 cells
Sample: Human whole blood lymphocytes

Knockout Validated

CD25/IL-2R alpha is specifically detected in HDLM‑2 human Hodgkin's lymphoma cell line parental cell line but is not detectable in CD25/IL-2R alpha knockout HDLM‑2 human Hodgkin's lymphoma cell line cell line.

Western Blot

1 µg/mL
Sample: HDLM‑2 human Hodgkin's lymphoma cell line

Neutralization

Measured by its ability to neutralize IL‑2-induced proliferation in the N1186 human T cell line. The Neutralization Dose (ND50) is typically 0.2-1 µg/mL in the presence of 1 ng/mL Recombinant Human IL‑2.

Reviewed Applications

Read 3 reviews rated 4.7 using AF-223-NA in the following applications:

Formulation, Preparation, and Storage

Purification

Antigen Affinity-purified

Reconstitution

Reconstitute at 0.2 mg/mL in sterile PBS. For liquid material, refer to CoA for concentration.

Reconstitution Buffer Available:
Size / Price
Qty
Loading...

Formulation

Lyophilized from a 0.2 μm filtered solution in PBS with Trehalose. *Small pack size (SP) is supplied either lyophilized or as a 0.2 µm filtered solution in PBS.

Shipping

Lyophilized product is shipped at ambient temperature. Liquid small pack size (-SP) is shipped with polar packs. Upon receipt, store immediately at the temperature recommended below.

Stability & Storage

Store the unopened product at -20 to -70 °C. Use a manual defrost freezer and avoid repeated freeze-thaw cycles. Do not use past expiration date.

Background: CD25/IL-2R alpha

Human CD25, also known as IL-2 receptor alpha (IL-2 R alpha) and asTac antigen, was initially identified as a 55 kDa membrane glycoprotein that is capable of binding IL-2. The IL-2 R alpha cDNA encodes a 272 amino acid residue precursor Type I membrane protein with a 21 residue signal peptide, a 219 residue extracellular region, a 19 residue transmembrane region and a 13 residue cytoplasmic domain. IL-2 R alpha lacks structural features characteristic of members of the cytokine receptor superfamily. By itself, IL-2 R alpha binds IL-2 with low affinity. However, when IL-2 R alpha is associated with the IL-2 receptor beta and gamma chains, a high affinity heterotrimeric receptor complex that transduces IL-2 signals is formed. Soluble forms of many cytokine receptors have been reported, and a soluble form of IL-2 R alpha (IL-2 sR alpha) appears in serum, concomitant with its increased expression on cells. The function of the soluble IL-2 R alpha is unclear. Increased levels of IL-2 sR alpha in biological fluids reportedly correlate with increased T and B cell activation and immune system activation. Increased serum concentration of IL-2 sR alpha has been observed in patients with a variety of inflammatory conditions and in the course of some leukemias and lymphomas.

Long Name

Interleukin 2 Receptor alpha

Alternate Names

CD25, IL-2 R alpha, IL-2Ra, IL2R alpha, IL2RA

Entrez Gene IDs

3559 (Human); 16184 (Mouse); 25704 (Rat); 403870 (Canine); 102123605 (Cynomolgus Monkey)

Gene Symbol

IL2RA

UniProt

Additional CD25/IL-2R alpha Products

Product Documents for Human CD25/IL-2R alpha Antibody

Certificate of Analysis

To download a Certificate of Analysis, please enter a lot number in the search box below.

Note: Certificate of Analysis not available for kit components.

Product Specific Notices for Human CD25/IL-2R alpha Antibody

For research use only

Loading...
Loading...
Loading...
Loading...
Loading...