Skip to main content

Key Product Details

Species Reactivity

Validated:

Human

Cited:

Human, Cynomolgus Monkey, Xenograft

Applications

Validated:

Immunohistochemistry, Western Blot, ELISA Capture (Matched Antibody Pair), Immunocytochemistry

Cited:

Immunohistochemistry, Western Blot, Antibody Array Development, ELISA Capture, ELISA Development

Label

Unconjugated

Antibody Source

Monoclonal Mouse IgG1 Clone # 24204

Product Specifications

Immunogen

S. frugiperda insect ovarian cell line Sf 21-derived recombinant human CD25/IL-2 R alpha
Glu22-Cys213
Accession # P01589

Specificity

Detects human CD25/IL-2 R alpha in ELISAs and Western blots. In Western blots, detects recombinant rat CD25/IL-2 R alpha but no cross-reactivity with recombinant mouse CD25/IL-2 R alpha. In sandwich immunoassays, this antibody does not cross-react or interfere with recombinant human (rh) IL-1 RI, rhIL-1 RII, rhIL-2 R beta, rhIL-3 R alpha, rhIL-4 R, rhIL-5 R alpha, rhIL-5 R beta, rhIL-6 R, or rhgp130.

Clonality

Monoclonal

Host

Mouse

Isotype

IgG1

Scientific Data Images for Human CD25/IL-2R alpha Antibody

Detection of Recombinant Human and Rat CD25/IL-2 R alpha antibody by Western Blot.

Detection of Recombinant Human and Rat CD25/IL-2 R alpha by Western Blot.

Western blot shows 25 ng of Recombinant Human CD25/IL-2 R alpha (Catalog # 223-2A), Recombinant Mouse CD25/IL-2 R alpha (Catalog # 2438-RM) and Recombinant Rat CD25/IL-2 R alpha Fc Chimera (Catalog # 5156-RM). PVDF Membrane was probed with 1 µg/mL of Mouse Anti-Human CD25/IL-2 R alpha Monoclonal Antibody (Catalog # MAB623) followed by HRP-conjugated Anti-Mouse IgG Secondary Antibody (Catalog # HAF018). Specific bands were detected for CD25/IL-2 R alpha at approximately 30-250 kDa (as indicated). This experiment was conducted under non-reducing conditions and using Immunoblot Buffer Group 3.
CD25/IL-2 Ra antibody in Human PBMCs by Immunocytochemistry (ICC).

CD25/IL‑2 R alpha in Human PBMCs.

CD25/IL-2 Ra was detected in immersion fixed human peripheral blood mononuclear cells (PBMCs) stimulated with PHA using Mouse Anti-Human CD25/IL-2 Ra Monoclonal Antibody (Catalog # MAB623) at 10 µg/mL for 3 hours at room temperature. Cells were stained using the NorthernLights™ 557-conjugated Anti-Mouse IgG Secondary Antibody (yellow; Catalog # NL007) and counterstained with DAPI (blue). Upper panel shows a lack of labeling if primary antibodies are omitted and tissue is stained only with secondary antibody followed by incubation with detection reagents. View our protocol for Fluorescent ICC Staining of Non-adherent Cells.
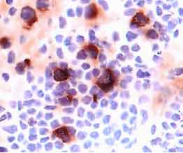
CD25/IL-2 Ra antibody in Human Lymph Node by Immunohistochemistry (IHC-Fr).

CD25/IL‑2 R alpha in Human Lymph Node.

CD25/IL‑2 R alpha was detected in immersion fixed frozen sections of human lymph node using 15 µg/mL Mouse Anti-Human CD25/IL‑2 R alpha Monoclonal Antibody (Catalog # MAB623) overnight at 4 °C. Tissue was stained (red) and counterstained with hematoxylin (blue). View our protocol for Chromogenic IHC Staining of Frozen Tissue Sections.

Applications for Human CD25/IL-2R alpha Antibody

Application
Recommended Usage

Immunocytochemistry

8-25 µg/mL
Sample: Immersion fixed human peripheral blood mononuclear cells stimulated with PHA

Immunohistochemistry

8-25 µg/mL
Sample: Immersion fixed frozen sections of human lymph node

Western Blot

1 µg/mL
Sample: Recombinant Human CD25/IL‑2 R alpha (Catalog # 223-2A) under non-reducing conditions only

Human CD25/IL-2 R alpha Sandwich Immunoassay

ELISA Capture (Matched Antibody Pair)
Recommended Concentration: 2-8 µg/mL
Use in combination with these reagents:
  • Detection Reagent: Human CD25/IL-2R alpha Biotinylated Antibody (Catalog # BAF223)
  • Standard: Recombinant Human CD25/IL-2R alpha Protein (Catalog # 223-2A)
Please Note: Optimal dilutions of this antibody should be experimentally determined.

Reviewed Applications

Read 2 reviews rated 5 using MAB623 in the following applications:

Formulation, Preparation, and Storage

Purification

Protein A or G purified from ascites

Reconstitution

Reconstitute at 0.5 mg/mL in sterile PBS. For liquid material, refer to CoA for concentration.

Reconstitution Buffer Available:
Size / Price
Qty
Loading...

Formulation

Lyophilized from a 0.2 μm filtered solution in PBS with Trehalose. *Small pack size (SP) is supplied either lyophilized or as a 0.2 µm filtered solution in PBS.

Shipping

Lyophilized product is shipped at ambient temperature. Liquid small pack size (-SP) is shipped with polar packs. Upon receipt, store immediately at the temperature recommended below.

Stability & Storage

Use a manual defrost freezer and avoid repeated freeze-thaw cycles.
  • 12 months from date of receipt, -20 to -70 °C as supplied.
  • 1 month, 2 to 8 °C under sterile conditions after reconstitution.
  • 6 months, -20 to -70 °C under sterile conditions after reconstitution.

Background: CD25/IL-2R alpha

IL-2 R alpha is a type I transmembrane protein that associates with IL-2 R beta and the common gamma chain to form a high affinity heterotrimeric receptor complex for IL-2. A soluble form of IL-2 R alpha has been detected in serum.

Long Name

Interleukin 2 Receptor alpha

Alternate Names

CD25, IL-2 R alpha, IL-2Ra, IL2R alpha, IL2RA

Entrez Gene IDs

3559 (Human); 16184 (Mouse); 25704 (Rat); 403870 (Canine); 102123605 (Cynomolgus Monkey)

Gene Symbol

IL2RA

UniProt

Additional CD25/IL-2R alpha Products

Product Documents for Human CD25/IL-2R alpha Antibody

Certificate of Analysis

To download a Certificate of Analysis, please enter a lot number in the search box below.

Note: Certificate of Analysis not available for kit components.

Product Specific Notices for Human CD25/IL-2R alpha Antibody

For research use only

Loading...
Loading...
Loading...
Loading...